Прогноз и профилактические рекомендации
Уже после нескольких внутривенных вливаний животному станет лучше.
Чем раньше будет начато лечение гастроэнтерита у кошек, тем выше шансы на скорейшее выздоровление и предупреждение неприятных последствий. Облегчение наступает через 1—2 процедуры после вливания буферных растворов внутрь вены. В запущенном случае возможно обезвоживание организма, из-за которых страдают многие внутренние органы кота.
Чтобы гастроэнтерит у домашнего любимца не проявлялся, рекомендуется следить за его питанием, давая качественные продукты. Не стоит кормить кота исключительно сухими кормами, особенного некачественными. Давать пищу требуется до 4 раз в сутки, избегая переедания питомца
Не менее важно поступление в организм животного витаминов и полезных микроэлементов в нужном количестве. Предупредить развитие гастроэнтерита удается при регулярном проведении дегельминтизации домашнего любимца
Если кошка или кот гуляют на улице, то процедура проводится дважды в год.
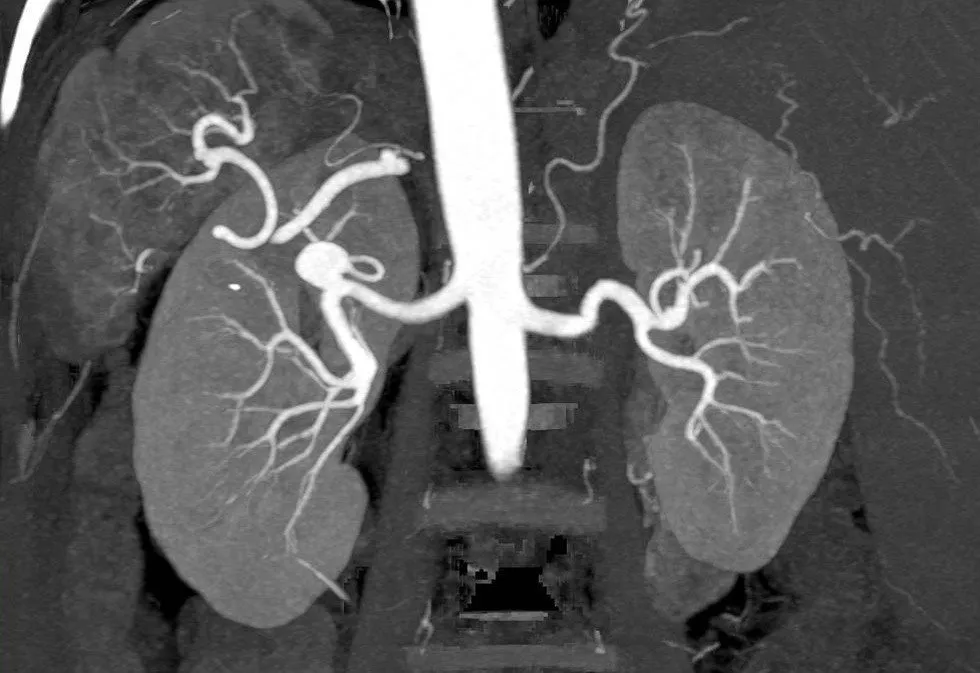
Какие сосудистые осложнения наиболее опасны после коронавируса?
Наиболее распространенным и тяжелым осложнением после коронавируса являются тромбозы, особенно при стенозе — сужении сосудов, и разрывы аневризм (выпячивание стенки сосуда с ее истончением). Необходимо учитывать, что поврежденный вирусом эндотелий сосудов восстанавливается медленно, а процессы, происходящие в организме, дают повышенную нагрузку на всю систему кровообращения.
Тромбы, желеобразные сгустки крови, клеточных компонентов и белков, формируются в связи с повреждением сосудов, да еще и на фоне сгущения (нарушения свертываемости) крови. Они растут со временем и циркулируют в крови, при этом пациент не подозревает и не чувствует, что у него формируется тромб.
Такие тромбы могут блокировать артерии сердца и головного мозга. Поэтому осложнением коронавируса может быть инфаркт или инсульт. Не меньшую угрозу для жизни представляет и тромбоэмболия легочной артерии (ТЭЛА). Причем часто тромбы, блокирующие сосуды легких, изначально образуются в глубоких венах ног, после чего они отрываются и перемещаются. Поэтому при наличии таких симптомов как:
- внезапная беспричинная одышка,
- боль в груди,
- кровь в отделяемом при кашле,
- грудные хрипы,
- обморочное состояние, холодный пот, и головокружение,
- резкое учащение пульса в покое.
Речь может идти именно о ТЭЛА. Пациенту в срочном порядке рекомендуется сделать КТ легочной артерии с контрастом. К сожалению в большинстве случаев такая диагностика носит пост симптоматический характер, как и диагностика инсульта. Компьютерная томография в таких случаях является предпочтительным методом визуальной оценки сосудов.

Понятие болезни
Возбудитель, вызывающий коронавирусный гастроэнтерит у кошек – это особенный микроорганизм, способный вызывать сразу несколько заболеваний. Попав в ЖКТ кота вирус может провоцировать легкую степень болезни, ничем не угрожая жизни пушистого любимца. Но в некоторых случаях возбудитель коронавируса начинает мутировать, вызывая серьезное воспаление брюшной полости, которое в 100% случаев заканчивается гибелью животного.
Если рассмотреть вирус под увеличительным стеклом микроскопа, форма его головки будет иметь подобие короны, отсюда и пошло название – коронавирус. Микроорганизм относительно устойчив во внешней среде и при благоприятных условиях может быть жизнеспособным более 1 месяца. Возбудителем заболевания считаются инфицированные животные, выделяющие вирус вместе с фекалиями. Некоторые кошки могут быть вирусоносителями, но при этом сами никогда не будут болеть инфекцией.
Анатомия и физиология
Желудок – это участок ЖКТ между пищеводом и тонким кишечником, который выполняет функции накопительного резервуара для пищи, а также здесь происходит измельчение и перемешивание пищи, поступающей затем в тонкий кишечник. Желудок состоит из мышечных слоев, участков с железистой тканью и слизистой. С помощью движений мышц желудок измельчает пищу и продвигает ее через пилорический сфинктер в тонкий кишечник. Железистые участки не менее важны: пристеночные клетки секретируют соляную кислоту, основные клетки секретируют пепсиноген, слизеобразующие клетки также секретируют бикарбонат. Благодаря барьерной функции слизистой желудка соляная кислота и пищеварительные ферменты удерживаются в просвете желудка, что препятствует потере компонентов плазмы в желудок. Как только пища в желудке достаточно измельчилась, она через пилорический сфинктер продвигается в тонкий кишечник, начало которого называется двенадцатиперстной кишкой.
Тонкий кишечник кошек и собак подразделяют на двенадцатиперстную, тощую и подвздошную кишки. Слизистая тонкого кишечника выполняет и секреторную, и всасывающую функции и состоит из монослоя клеток – энтероцитов. Слизистая тонкого кишечника на всем своем протяжении формирует похожие на пальцы ворсинки, выдающиеся в просвет кишечника и увеличивающие его рабочую поверхность. Микроворсинки формируют «щеточную кайму», которая еще увеличивает поверхность для лучшего переваривания и всасывания питательных веществ.
Энзимы щеточной каймы разрушают более крупные молекулы до более мелких, которые легче всасываются. Абсорбция обычно происходит с помощью специальных транспортных механизмов или пиноцитоза. Эпителиальные клетки также вовлекаются в процессы абсорбции и секреции воды и электролитов. Энтероциты плотно связаны между собой, чтобы ограничить всасывание между клетками и препятствовать обратному току питательных веществ – из интерстиция в просвет кишечника. Продолжительность жизни энтероцитов колеблется от 2ух до 5и дней; они стартуют от крипт (основа ворсинок) и мигрируют по направлению к просвету кишечника. Здоровая, неповрежденная слизистая оболочка играет большую роль в сохранении целостности кишечника. Любое воспаление, нарушающее целостность слизистой, может привести к серьезному заболеванию кишечника
Немаловажно помнить, что ЖКТ всасывает 99% воды, поступающей в него, следовательно, любые нарушения в работе ЖКТ могут приводить к серьезным расстройствам водного и электролитного баланса организма
Методы диагностики и лечение опасного заболевания
Наиболее эффективный метод выявления коронавирусной инфекции – последний и новый тест, который называется VetExpert. С его помощью можно выявить не только заболевших животных, но и латентных носителей.
Второй метод – ПЦР, расшифровывается как полимеразная цепная реакция. Для этого способа, как и для теста VetExpert, нужны свежие фекалии питомца.
Наиболее точным способом диагностики считается исследование крови методом ИФА.
Коронавирусная инфекция, вызванная штаммом группы ВИПК, лечению не поддается и всегда заканчивается летальным исходом. Все действия направлены на облегчение состояния питомца. При влажной форме из брюшной полости откачивают скопившуюся жидкость. Также для подавления симптомов применяют и кортикостероиды.

Кто в группе повышенного риска?
При наличии следующих неблагоприятных факторов в анамнезе пациента тяжелые сосудистые осложнения коронавируса наиболее вероятны, особенно в сочетании с пневмонией:
- Хронические заболевания сердечно-сосудистой системы (миокардит, гипертония, атеросклеротические бляшки);
- Сопутствующие заболевания свертываемости крови;
- Перенесенные инсульты, инфаркты и др. сосудистые катастрофы в анамнезе;
- Перенесенный цитокиновый шторм;
- Генетическая тромбофилия, скрытая предрасположенность к тромбозам;
- Наследственная предрасположенность к гипергомоцистеинемии, повышенный уровень гомоцистеина в крови;
- Перенесенный острый респираторный дистресс-синдром (ОРДС);
- Лечение в реанимационном отделении;
- Хронические заболевания эндокринной системы, влияющие на свертываемость крови;
- Антифосфолипидный синдром;
- Избыточный вес;
- Повышенный холестерин;
- Повышенный гемоглобин;
- Хронические ревматические заболевания;
- Панкреатит;
- Лейкоз;
- Гепатит;
- Сахарный диабет;
- Почечная, сердечная, дыхательная недостаточность.
Даже после выздоровления, особенно если пациент болел тяжело, такие пациенты не застрахованы от скрытых проблем с сосудами, которые могут проявиться в будущем.

Как происходит заражение собак
Вероятность инфицирования респираторной формой коронавируса собак повышается, когда много собак расположены в одном тесном помещении. Потому болезнь часто встречается в питомниках и приютах, а также после выставок. Респираторный коронавирус поражает собак обоих полов, всех пород и возрастов. Другие животные и люди болезнью болеть не могут. Известен человеческий вид коронавируса, вызывающий простудные симптомы.
Аналогично другим респираторным инфекциям, вирус передаётся посредством прямого контакта одной собаки с другой воздушно-капельным путём, а также через контакт со средой, загрязнённой возбудителем. Самая эффективная передача инфекции имеет место при непосредственном контакте с заболевшими псами, у которых появляются чихание и кашель, так как коронавирус выделяется при этом в обильном количестве. Форма заболевания не представляет опасности для людей, однако смывы с рук нередко содержат респираторный коронавирус собак, передающийся здоровыми животными при их попытке облизать руки человека.

Как протекает заболевание?
Группу риска составляют молодые особи в возрасте до 2-х лет и животные старше 11 лет. Особенно опасно это заболевание для новорожденных котят, которые могут заразиться от матери. В большинстве случаев проникновение в организм котенка любого из штаммов коронавируса приводит к смерти животного. Также развитию болезни подвержены коты, содержащиеся в антисанитарных условиях и имеющие наследственную предрасположенность к заболеванию.
https://youtube.com/watch?v=lSZ27sBu7tQ
Источники заражения и инкубационный период
Заражение коронавирусом обычно происходит через фекалии, реже возбудитель проникает в организм со слюной. Вирус FIPV не передается посредством кала, т. к. этот штамм размножается в клетках крови. Таким образом, посредством фекалий можно заразиться лишь кишечной формой коронавируса (энтеритом). Стоит заметить, что даже домашний кот способен «подхватить» эту болезнь, т. к. следы зараженных фекалий могут быть принесены в дом с обувью, велосипедом, детской коляской.
Инкубационный период, во время которого чаще всего отсутствуют симптомы, длится до 3-х недель. У животного с ослабленным иммунитетом или слишком молодого либо пожилого возраста проявления болезни могут наблюдаться уже через несколько суток. Карантин при подозрении на данный тип коронавирусной болезни длится 3 месяца, после чего животное вновь тестируют на концентрацию коронавируса.

Первые симптомы инфекции
Симптомы многочисленны, но у конкретного животного заболевание может иметь как 1–2, так и гораздо большее количество внешних признаков
При возникновении любых симптомов важно вовремя обратиться к ветеринару, т. к
лечение болезни на ранних стадиях более эффективно. Первыми признаками проникновения в организм кошки коронавируса являются:
- понос (иногда с примесью слизи или крови) длительностью более 2–4 суток;
- снижение аппетита;
- вялость, быстрая утомляемость;
- рвота;
- нарушение координации движений;
- избегание освещенных мест, стремление находиться в темноте;
- покраснение глаз;
- воспаление десен (или, наоборот, их побледнение);
- вздутие живота.

Кроме того, коронавирус у кошек сопровождается скачками температуры – лихорадка сменяется ознобом. Биохимия крови показывает нормальный результат, а ОАК выявляет повышение СОЭ, лимфоцитов и низкое соотношение а:g. Снижение клеточного иммунитета может вызывать также развитие грибковых и бактериальных заболеваний. На фоне болезни животное ведет себя не так, как обычно: может проявлять агрессию или не проявлять никакого интереса к окружающему миру.
Болезнь иногда вызывает офтальмологические заболевания, которые развиваются по мере ухудшения состояния кошки. Вначале недуг проявляется в виде воспаления и слезотечения, после чего может появиться боль, изъязвление роговицы глаза. Иногда наблюдается прорастание сосудов в глазном яблоке.

Варианты течения болезни и ее длительность
В зависимости от того, какой штамм коронавируса проник в организм, течение болезни может отличаться. При заражении кишечным вирусом, вызывающим энтерит, заболевание проявляется диареей, повышенной температурой тела, слезотечением, насморком, иногда рвотой. Живот вздут, при его пальпации кошка чувствует дискомфорт, боль. Возможен неприятный запах изо рта, белый налет на языке. Коронаровирусный энтерит сочетает в себе признаки отравления и простудного заболевания.
Инфекционный перитонит начинается с ухудшения самочувствия кота, снижения аппетита, иногда – рвоты. Постепенно животное теряет вес, слизистые оболочки становятся бледнее. Влажная форма перитонита сопровождается развитием асцита (скопление жидкости в брюшной полости), поражением кровеносных сосудов, нарушением печени и почек. Мышцы теряют эластичность, возникают судороги, поражается ЦНС.
Коронавирусный перитонит может иметь и так называемую сухую форму, при которой во внутренних органах появляются гранулемные образования. Тяжесть такого заболевания зависит от того, на каких органах сформировались «узелки» и насколько сильно они поразили ткани. Сухая форма перитонита проявляется значительным снижением веса, а на более поздних стадиях – нарушением функций внутренних органов, иногда нервной системы и глаз. В организме могут присутствовать сразу две формы заболевания, или одна может перейти в другую.
Влажный перитонит длится около 6 месяцев, после чего перетекает в сухую форму или заканчивается гибелью животного. Сухой перитонит носит хронический характер, длится гораздо дольше и медленно разрушает организм. Коронавирусную инфекцию необходимо своевременно диагностировать и лечить.

Симптоматика гастроэнтерита
Типичный признак гастроэнтерита – снижение либо полное отсутствие аппетита у кошки. На фоне недостаточного поступления питательных веществ, животное сильно слабеет.
Для заболевания характерна следующая симптоматика, указывающая на развитие проблем с пищеварением:
- Рвота – в составе желудочного содержимого могут присутствовать примеси желчи и крови.
- Расстройство кишечника – кал включает примеси крови (он становится темным), вкрапления слизи и непереваренного корма. Фекалии кошки, что также подтверждает диагноз, становятся жирными.
- Болезненность в животе. Животное становится беспокойным, во время приступа боли горбит спину. При пальпации живота он болезненный и напряженный.
Особенно тяжело протекает гнойный формат заболевания.
При гастроэнтерите кошка становится вялой, у нее сильно болит живот.
Для него типична следующая симптоматика:
- повышение температуры;
- ухудшение общего состояния – кошка становится вялой, депрессивной;
- содержание крови и гноя в составе фекалий;
- внешне кал выглядит как желе малинового цвета.
Развивающаяся у животного частая рвота становится причиной обезвоживания организма.
Его признаки:
- западение глазных яблок;
- значительная потеря веса;
- снижение тургора кожи – при захвате кожной складки она расправляется достаточно долгое время.
Для патологии характерно изменение цвета слизистых поверхностей: они бледнеют. Если у кошки возникают проблемы с эвакуацией желчи, то появляется желтый оттенок.
Лечение при короновирусном гастроэнтерите?
Если у кошки обнаружен короновирусный гастроэнтерит, его нужно лечить как можно раньше. При заболевании используются разные медикаменты, действующие на вирус и помогающие питомцу быстрее восстановиться.
Лекарства:
- Иммуномодуляторы;
- Капельницы с лекарственными растворами;
- Антибактериальные средства, прекрасно помогает цефазолин;
- При необходимости можно использовать анальгетики;
Особое внимание уделяется питанию кошки. Из рациона исключают жирные продукты, используют диетическую пищу
Животное кормят небольшими порциями до семи раз в день. (чем кормить кота после отравления)
Внимательно наблюдают за реакцией питомца на еду, при необходимости сменить корм. В тяжелых случаях заболевания лечение короновирусного гастроэнтерита у кошек проводят в клинике.
Методы диагностики и лечение опасного заболевания
Наиболее эффективный метод выявления коронавирусной инфекции – последний и новый тест, который называется VetExpert. С его помощью можно выявить не только заболевших животных, но и латентных носителей.
Второй метод – ПЦР, расшифровывается как полимеразная цепная реакция. Для этого способа, как и для теста VetExpert, нужны свежие фекалии питомца.
Наиболее точным способом диагностики считается исследование крови методом ИФА.
Коронавирусная инфекция, вызванная штаммом группы ВИПК, лечению не поддается и всегда заканчивается летальным исходом. Все действия направлены на облегчение состояния питомца. При влажной форме из брюшной полости откачивают скопившуюся жидкость. Также для подавления симптомов применяют антибиотики и кортикостероиды.
Не все штаммы короновируса можно вылечить
Штаммы вируса
Коронавирус у кошеквызывается одним видом возбудителя, однако в организме пушистого питомца он может мутировать. Ветеринарным специалистам известно 2 штамма вируса:
- FECV – кишечный коронавирусный энтерит. Заболевание высоко контагиозное (крайне заразное), но перейти в более опасную форму оно не может (из-за низкой патогенности микроорганизма). Если иммунная система кошки в порядке, макрофаги (защитные клетки) полностью ликвидируют вирус и выводят его из организма домашнего любимца, в противном случае кошка становится вирусоносителем.
- FIPV – инфекционный перитонит. Этот штамм образуется в результате мутации микроорганизма, вызывающего кишечный энтерит. В отличие от FECV, локализующегося только в стенках кишечника, вирус инфекционного перитонита способен разноситься по всему организму кошки и разрушать все органы и системы. FIPV протекает в 2 клинических формах: сухой и выпотной. Первая – развивается медленно, вторая – имеет более быстрое и тяжелое течение.
Что может спровоцировать заболевание?
Гастроэнтерит часто развивается на фоне других заболеваний у кошки. Внешние факторы также способны спровоцировать развития неприятной болезни. Что приводит к гастроэнтериту у кошки?
Патологии:
- Болезни легких;
- Инфекции, вирусы;
- Отравления разными соединениями;
- Болезни поджелудочной железы;
- Кишечные палочки;
- Бактерии сальмонеллы;
- Патологии работы органов желудка и кишечника;
- Проблемы с обменом веществ;
- Болезни печени;
- Геморрагический гастроэнтерит;
- Нарушение работы сердечной системы;
- Заражение глистами;
- Повышенное количество холестерина в крови;
- Гипертиреоз;
Понравится статья: «Что делать при отравлении кошки крысиным ядом – методы лечения«.
Внешние факторы:
- Нарушенное питание;
- Неправильное кормление, отсутствие режима;
- Постоянное переедание;
- Аллергия;
- Попадание в желудок инородных предметов;
- Нервные потрясения;
- Постоянное вылизывание, в результате которого в желудке у кошки появляются комки шерсти.
Внимательный хозяин следит за состоянием своего питомца
Особое внимание уделяют питанию кота
В каких случаях нужно обратиться к врачу
Учитывая схожесть клинической картины
коронавирусной инфекции и других вариантов ОРВИ, постановка диагноза только по
наличию симптоматики невозможна.
Различие симптомов коронавируса от гриппа и ОРВИ
При появлении характерных признаков следует
связаться с терапевтом, который определит дальнейшую тактику.
При наличии проявлений ОРВИ обратиться к врачу
в кратчайшие сроки обязаны такие категории людей:
- туристы, которые недавно были за
границей; - сотрудники международных компаний,
контактирующие с иностранцами; - люди, у которых есть друзья или
родственники из Азии; - люди, работающие в аэропортах, на
вокзалах и в других местах, предполагающих контакты с большим количеством
людей.
Врачи настоятельно рекомендуют обращаться к специалистам при появлении первых признаков простуды. Нельзя заниматься самолечением, поскольку это повышает риск развития осложненных вариантов заболевания.
Симптомы COVID-19 в легкой форме
Длительность инкубационного периода во многом зависит от полученной вирусной нагрузки. Чем выше концентрация вирусов, тем быстрее они преодолевают иммунную защиту. На течение болезни влияют возраст, иммунный статус, преморбидный фон (состояние здоровья до инфицирования).
Если заболевание протекает в легкой форме, характерными симптомами будут:
- незначительная гипертермия: показатели не превышают 37,5℃;
- першение в горле;
- слабость;
- головная боль;
- учащенное сердцебиение;
- снижение аппетита;
- поверхностное покашливание;
- заложенность носа (не всегда).
Вскоре после появления первых признаков пропадает обоняние. Сатурация (уровень кислорода в крови) при легком течении инфекции обычно не выходит за рамки нормы или снижается незначительно.
Слабость, головная боль (цефалгия) обусловлены интоксикацией, которая сопровождает любое инфекционное заболевание. Проникший в организм вирус встречают Т-лимфоциты и нейтрофилы — клетки-защитники иммунной системы. В «сражении» с коронавирусом часть клеток погибает, из-за чего образуются токсичные продукты распада. С кровотоком они распространяются по организму, отравляя головной мозг и центральную нервную систему (ЦНС).
К редким проявлениям легкой формы болезни относят диарею, тошноту, мышечные и суставные боли. В случае занесения инфекции через слизистую глаз развиваются симптомы конъюнктивита — покраснение, зуд, гнойное отделяемое.
Симптомы COVID-19 в среднетяжелой и тяжелой формах
Для среднетяжелой формы болезни характерно развитие коронавирусной пневмонии. Возбудитель инфекции обладает высокой вирулентностью — способностью быстро распространяться по организму. Добравшись до нижних дыхательных путей, вирус повреждает стенки альвеол (воздухоносных мешочков легких). Из-за этого падают уровень сатурации, давление кровотока, нарушается кровообращение.
Типичные симптомы среднетяжелой формы:
- субфебрильная температура (37-38℃);
- цефалгия, сильная слабость, костно-мышечные боли;
- сухой кашель, диспноэ (одышка), тяжесть в груди;
- дисфункция вкусовых и обонятельных рецепторов;
- отсутствие аппетита, тошнота (редко — рвота);
- тахикардия — учащение сердечного ритма;
- нарушение сна;
- показатели сатурации ≤95%.
Падение уровня кислорода до 90-92% свидетельствует о развитии дыхательной недостаточности, переходе болезни в тяжелую форму.
Из-за пневмонии, вместо нормального кровоснабжения легких, стенки альвеол пропитываются плазмой. Аккумуляция жидкости вызывает интерстициальный отек легких. Когда плазма проникает в просвет альвеол, развивается альвеолярный отек. Легкие теряют способность поглощать кислород, развивается гипоксия и ОДН. Клинически состояние характеризуют катарально-респираторный синдром (КРС), специфические симптомы.
Общие проявления тяжелой формы:
- субфебрильная или фебрильная температура (38-39℃);
- бледность кожи, цианоз (синюшность) носогубного треугольника;
- интенсивная цефалгия, экстремальная слабость;
- нарушение координации, спутанность сознания;
- потеря вкуса;
- аносмия — утрата обоняния;
- сильный кашель, заложенность и боль в грудной клетке, выраженное диспноэ;
- тахикардия, потливость;
- ломота в мышцах, костях.
По проведенному ВОЗ анализу данных о пациентах с КОВИД-19, 80% людей болеют в легкой форме, 15% приходится на среднетяжелое и тяжелое течение инфекции. В 5% случаев развивается ОРДС, где требуется подключение пациента к аппарату ИВЛ.

Дифференциальная диагностика перитонита
При обнаружении признаков инфекционного коронавирусного гастроэнтерита необходимо провести дифференциальную диагностику от таких заболеваний, как вирусный иммунодефицит, токсоплазмоз, гастроэнтероколит и вирусный лейкоз
Выпотную форму важно дифференцировать от опухолевого процесса, лимфоцитарного холангита, цирроза печени, сердечной недостаточности, бактериального асцита и пиоторакса
Показаны следующие диагностические методы:
- анализ крови и свободной жидкости методом ПЦР;
- рентгенологическое исследование;
- УЗИ;
- анализ асцитной жидкости из брюшной полости;
- патологоанатомическое вскрытие умершего питомца.
Симптомы и признаки
Зачастую кишечный коронавирус кошек проходит без симптомов, не требуя лечения, лишь иногда вызывая расстройство стула. Бывает, что животное является носителем этой инфекции всю свою жизнь, а его хозяин даже не догадывается об этом.
Энтерит является легким вариантом течения болезни. Его симптоматика:
- диарея с примесями крови, слизи и непереваренных кусочков пищи;
- рвота (чаще всего однократная);
- отсутствие аппетита;
- увеличение температуры тела;
- болезненная пальпация живота;
- беловатый налет на языке;
- насморк и слезотечение.
Энтерит возникает вследствие ослабления иммунитета после вторжения инфекционного агента. Организм утрачивает способность бороться с лямблиями и кокцидиями, до той поры живущих в «спящем» режиме в кишечнике. Результат активной жизнедеятельности этих одноклеточных и дает симптоматику в виде поноса с кровью и слизью.
Как проявляется инфекционный перитонит, вызванный коронавирусом кошек:
- вялостью и апатией, питомец ложится на живот и практически не встает;
- потускнением и сваливанием шерстки;
- снижением аппетита, вплоть до анорексии;
- малоподвижностью;
- нарушением координации;
- неестественным поведением (агрессия, паника)
- стремлением спрятаться в темное место, вызванное светобоязнью;
- повышением или скачками температуры;
- поражением десен (они либо воспаляются, либо становятся неестественно бледными);
- дефицитом массы тела;
- обезвоживанием;
- желтушным окрашиванием склер при поражении печени;
- затрудненным дыханием;
- сердечной недостаточностью, спровоцированной выпотом в грудную полость;
- увеличением размера живота из-за скопления жидкости (асцитом);
- почечной недостаточностью, вплоть до отказа почек;
- параличом конечностей.
При сухом перитоните у больного наблюдаются вся перечисленная симптоматика, кроме скопления жидкости. Но дополнительно появляются спазмы, недержание мочи, поражение тканей глаз.
Из приведенного перечня можно сделать вывод, что относительно специфичным проявлением является лишь скопление жидкости в животе или в грудной клетке. Все остальные признаки коронавируса у кошек встречаются и при десятке иных заболеваний. Это затрудняет диагностику и возможность раннего начала лечения.
Лечение патологии
Лечение заболевания предполагает комплексный подход. Прежде всего, кошке назначается диета. Необходимо наладить дачу кормов.
Чем кормить при заболевании животное? Схема будет следующей:
- В течение первых двух суток рекомендуется полный пищевой покой. Затем в рацион вводят снятой говяжий бульон. Также кошке необходимо выпаивать отвары лекарственных трав – ромашка, шалфей, дубовой коры, зверобоя.
- С четвертого дня болезни разрешается дача вареного яйца. Вводятся каши на воде – овсянка и рис – с добавлением небольшого количества куриного или говяжьего фарша.
- Затем можно дополнить рацион молочными кашами, кисломолочной продукцией и овощными супами.
С десятых суток, если позволяет состояние животного, его можно переводить на привычный тип питания.
Медикаментозная терапия
При диагностировании обезвоживания кошке назначается капельное введение физрастворов, а также глюкозы. Разрешены подкожные уколы препаратов в области холки – не больше 100 мл за одну инъекцию.
С целью налаживания пищеварительных процессов животному назначается прием ферментов:
- пепсин;
- трипсин;
- панкреатит;
- мезим форте.
Хороший терапевтический эффект показывают Фестал, Панзинорм и Эссенциале.
Если причиной гастроэнтерита стало отравление, то кошке назначается слабительные средства – касторовое масло или сульфат магния.
Для устранения болевого эффекта возможен прием обезболивающих препаратов.

Для лечения гастроэнтерита применяют Мезим форте.
Когда причиной гастроэнтерита становится вирусная инфекция, то животному назначается курс иммуностимуляторов. Здесь могут применяться интерфероны, иммуноглобулины и т.д. В обязательном порядке кошке назначается длительный прием витаминов.
Одновременно с назначенными медикаментозными средствами животному выписываются противоаллергические препараты. Они позволяют минимизировать риск развития аллергической реакции. Это могут такие средства как Димедрол, Тавегил, Супрастин или Диазолин.
Опасен ли кошачий коронавирус для человека
На фоне пандемии вопрос об опасности для человека кошачьего коронавируса звучит очень серьезно. Тем не менее беспокоиться нет смысла. По данным вирусологов и биологов, FcoV не представляет собой опасности для человека.
Хозяин не может заразиться от больного питомца коронавирусом семейства альфа. Но в то же время известно, что эпителий человеческого тела может послужить средой для временного проживания коронавируса кошек. Таким образом, человек невольно становится переносчиком вируса от животного к животному.
Теперь что касается COVID-19. Исследователи сходятся во мнении, что, скорее всего, животные заражались этой болезнью от инфицированного человека. При этом случаев реверсного заражения от больного животного обратно к человеку на сегодня не фиксировалось.
Однако в нынешних условиях дополнительная бдительность и осторожность никому не помешает. Тем более, что человечество уже сталкивалось с ситуациями, когда ранее безопасный для людей вирус мутировал и становился причиной эпидемий
- Источники
- Wikipedia.org. – Feline coronavirus.
- Агентство социальной информации. – Кошачий коронавирус: владельцы начали усыплять домашних животных из-за неопасной болезни.
- Arjan Stegeman, The Conversation, August 19, 2020. – Pets, livestock and wildlife can all catch coronavirus – does that make them dangerous?
- ФГБОУ ВО «Башкирский государственный аграрный университет». – Новая коронавирусная инфекция (COVID-19) у животных. / А.В. Андреева, О.Н. Николаева // Журнал «Ветеринарный врач». – 2021 г. – С. 4-11.
- Centers for Disease Control and Prevention. – COVID-19 and Animals.
Больше свежей и актуальной информации о здоровье на нашем канале в Telegram. Подписывайтесь: https://t.me/foodandhealthru
Автор статьи:
Извозчикова Нина Владиславовна
Специальность: инфекционист, гастроэнтеролог, пульмонолог.
Общий стаж: 35 лет.
Образование: 1975-1982, 1ММИ, сан-гиг, высшая квалификация, врач-инфекционист.
Другие статьи автора
Будем признательны, если воспользуетесь кнопочками:
Лечение парвовирусного энтерита
Инкубационный период у взрослых собак длится от четырех до десяти дней, а у щенков он может растянуться до двух месяцев. Все это время болезнь будет протекать бессимптомно. И чтобы не пропустить первые признаки заболевания, при малейших подозрениях на парвовирусный энтерит следует обратиться к ветеринару.
Лечение парвовирусного энтерита у собак комплексное. Оно состоит из введения иммуномодуляторов, противовирусных, антибиотиков, капельниц для устранения дегидратации и прочих препаратов по состоянию животного.

Основной задачей на первом этапе лечения является повышение защитных сил организма и купирование инфекции. Зачастую животному начинают колоть противовирусный препарат «Фоспренил» и иммуномодулятор «Иммунофан». Также врач выясняет, был ли вакцинирован пес. Если не был, ему дополнительно вводят сыворотку «Гискан». После выявления парвовируса у собаки и введения ему необходимых препаратов, следует следить за состоянием его здоровья. При появлении поноса с кровянистыми включениями питомцу назначают антибиотикотерапию. А при рвоте и быстром обезвоживании животного, его выпаивают «Регидроном» и капают специальные препараты, купирующие дегидратацию.
В качестве поддерживающей терапии используют противорвотное, глюкозу и аминокислоты, подпитывающие истощенный болезнью организм. Чтобы снять болевые ощущения, собаке колют спазмолитики. А для улучшения сердечной деятельности животному вводят стимулирующие препараты. Если в кале или рвотных массах присутствует большое количество крови, то для купирования кровотечения назначается «Викасол».
Схема лечения парвовирусного энтерита у собак формируется в зависимости от симптоматики. Терапия направлена не только на уничтожение вирусных агентов, но и на поддержание правильной работы сердечно-сосудистой и лимфатической системы, а также заживление слизистых ЖКТ, которые пострадали от вируса.
Диетический рацион собаки во время заболевания и после него
На начальной стадии заболевания кормить питомца не стоит. Ему нужно понемногу давать аскорбинку и глюкозу. Эти препараты помогут поддерживать жизненные силы. Также ветеринар может назначить витамины и пробиотики.
Голодная диета должна соблюдаться не менее трех суток. Воду можно давать в небольших количествах, но только после того, как пройдет рвота. Через сутки после ее перекрещения собаке можно начинать давать пищу, перетертую до кашицеобразного состояния. Давать еду нужно дробными дозами и часто, каждые три часа.
Давать собаке можно рисовый или льняной отвар, а также куриный бульон. Если животное отказывается есть самостоятельно, пищу следует давать со шприца без иглы. Через время можно постепенно начинать вводить в рацион измельченные яйца и вермишель с куриным бульоном. Также нужно давать отварную морскую рыбу без костей, которая поможет быстро наладить углеводный обмен.

Для того чтобы нормализовать кишечную микрофлору, животному можно давать йогурт или кефир без добавок. До полного выздоровления собаке нельзя давать мясо, молоко, а также жирную, сладкую или соленую пищу.
После выздоровления питомцу нужно обеспечить полноценный рацион, который поможет быстро восстановить силы и улучшить иммунитет.




































