Как помочь своему питомцу
Четкое соблюдение всех рекомендаций ветеринарного врача снимет все вопросы на тему «Можно ли вылечить асцит кошки?». Только методичное следование выбранному курсу лечения помогут спасти животное от гибели.
Прежде всего, кошке необходима специальная диета. Пища должна быть натуральная и не содержать всяких копченостей и сухих кормов. Отваренное на пару мясо и рыбу можно только слегка присаливать. Также стоит соблюдать и водную диету. Чем меньше жидкости будет выпивать кошка, тем легче будет ее организму бороться с болезнью.
Травяные отвары, обладающие мочегонным эффектом, могут полностью заменить воду и помочь избавиться от лишней жидкости в организме.
Ни в коем случае нельзя использовать народные методы лечения, так как они могут убрать только симптомы, а причина заболевания останется. Такое самолечение никак не поможет животному, а только ускорит его гибель.
Если болезнь не запущена, то комплексное лечение может спасти кошку и продлить ей жизнь. Забота и внимательность хозяина, а также правильно выбранные лекарства помогут поставить животное на ноги.
Но даже после полного выздоровления режим диетического питания нужно соблюдать.
Лечебная диета
Избыток натрия в корме может привести к асциту у кошек. Поэтому больных животных в обязательном порядке переводят на диету с минимальным содержанием натрия.
Натуральное питание
Лечебно-профилактический рацион должен состоять из:
- Нежирных сортов мяса (50%). Субпродукты исключаются.
- Морской рыбы.
- Нежирной кисломолочной продукции.
- Овощей, фруктов.
- Круп. Бобовые культуры исключаются.
Важно: больным кошкам дают дистиллированную воду и контролируют ее потребление
Промышленный корм
В зависимости от первопричины заболевания назначается специальный лечебный корм.
Рекомендуемые марки:
- Hill’s Рrescriрtion Diet k/d – для уменьшения объемов натрия в организме;
- Hill’s Рrescriрtion Diet h/d – при патологиях сердца;
- Hill’s Prescription Diet l/d Feline Hepatic Health dry – при патологиях печени;
- Hill’s Рrescriрtion Diet a/d – при болезнях мочеполовой системы;
- Hill’s Рrescriрtion Diet a/d – для поднятия уровня белка в крови.
Что это такое?
Если перевести этот термин дословно, то получится что-то вроде «водянистого мозга». Нормальный перевод – водянка головного мозга
Разбухание этого жизненно важного органа сопровождается увеличением размеров черепа, различными припадками, прочими малоприятными явлениями. Чаще всего гидроцефалия является врожденной патологией
При этом заболевании цереброспинальная жидкость (CSF) накапливается в черепе и мозге. Врожденную форму называют первичной гидроцефалией. Вторичной заболевают уже взрослые животные, и часто это связано с опухолями, травмой или воспалением, при котором нарушается нормальный отток жидкости. Встречается это крайне редко. Как правило, при столь серьезных поражениях ЦНС кошка просто не доживает даже до ранних проявлений гидроцефалии, так что эту форму обсуждать не имеет особого смысла.

Врожденная форма патологии может быть вызвана многими факторами, включая плохую наследственность, внутриутробную инфекцию, реакцию на лекарственные препараты, а также травмы, полученные котенком в ходе тяжелых родов. В последнем случае уже после рождения могут быть заметны какие-то травмы или деформации черепа. Заметим, что у кошек эта патология сравнительно редка, но все сиамы считаются предрасположенными.
Диагностика и лечение
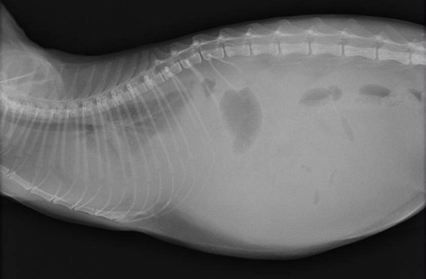
Лечебные методики, медикаментозную терапию назначит ветеринарный специалист после проведения комплексного осмотра четырехпалого пациента. Ветврач учитывает общие симптомы, данные анамнеза. Проводят рентгенографию, УЗИ брюшины. В обязательном порядке берут для лабораторных, микроскопических исследований транссудат из брюшины (пункцию). При исследованиях анализа мочи учитывают цвет, консистенцию, концентрацию белка.
 
 Снимок узи брюшины, диагноз – асцит
Больным кошкам, котам назначают симптоматическое лечение, направленное на нормализацию физиологического общего состояния животных, устранение первопричины, которая спровоцировала развитие данной патологии. Котикам прописывают мочегонные фармакологические лекарственные препараты, которые способствуют выведению лишней жидкости из организма, устраняют отеки: Триампур, Дихлортиазид, Верошпирон, настойку плодов можжевельника, Этамид, Фуросемид.
Для поддержания сердечной деятельности пушистым пациентам ветеринары назначают кардиотонические лекарственные препараты (Кардиовален, Дигипил, Олиторизид, настойку ландыша).
 
 Мочегонные препараты для лечения водянки брюшины
Для нормализации работы почек, печени, других внутренних органов назначают гепатопротекторы, ферментные препараты, витамины группы В (В1, В3, В6, В9, В12).
Ветеринар проводит корректировку рациона, подбирает лечебную диету. На время лечения необходимо уменьшить поступление жидкости в организм, снизить поступление солей натрия. Пища должна быть легкоусвояемой, питательной, содержать достаточное количество белков
Очень важно при диагностировании брюшной водянки у кошек, владельцы пушистых мурлык должны придерживаться распорядка дня, соблюдать все рекомендации лечащего ветврача
Если объем патологического транссудата в полости брюшины не уменьшается, продолжает накапливаться, проводят парацентез – откачку серозной жидкости из живота шприцом.
При своевременно проведенном адекватном, эффективном лечении асцита у кошек – прогноз благоприятный
При этом очень важно не затягивать визит в ветлечебницу, и тем более, чтобы не навредить любимцу, не стоит заниматься самолечением котика
Приглашаем вступить в наш и группу во Вконтакте или Одноклассниках, где публикуются новые статьи для владельцев домашних животных.
Лечение асцита
Врач ставит диагноз. Назначает лечение. Больше здесь поможет, конечно, симптоматическое лечение.
Главная особенность такого подхода в терапии целенаправленная поддержка сил организма животного.
Применяют для этого следующую схему:
- кардиотоники (Кардиовален, Коргликон, Гитален, Диланизид, Дигипид, траву горицвета, настойку ландыша, др.);
- мочегонные лекарственные препараты -диуретики (Верошпирон, Фуросемид, Лазикс, Дихлортиазид, Ацетат кальция, Уродан, Этамид, плоды можжевельника, листья брусники, листья толокнянки, др.). Их стоит применять, с учетом того, что мочегонные средства выводят вместе с жидкостью из организма еще и калий. Который крайне важен при этом заболевании. В случае его нехватки, состояние кошки может резко ухудшиться;
- во время терапевтического лечения киску следует ограничивать от пития воды и поедания соленой пищи. Кормить высокобелковой пищей;
- снизить повышенную проницаемость кровеносных сосудов возможно внутривенным введением 10%-ного раствора хлористого калия;
- последующий курс антибиотика внутримышечно просто необходим, чтобы предотвратить развитие вторичной патофлоры. Применяют антибиотические препараты пенициллинового ряда (пенициллин).
Необходимо отсасывать жидкость из брюшины, так как она жмет на диафрагму, из-за чего питомцу тяжело дышать. Для этого ветврач делает прокол и откачивает ее из полости. При этом, нельзя удалять жидкость полностью, это может привести к дисбалансу гомеостаза и шоку. Поэтому, как только коту, станет легче дышать, процесс откачки стоит прекратить.
Терапия асцита
Правильное выявление причины образования брюшной водянки, дает возможность его устранить. Конечно не в тех случаях, когда причиной является почечная недостаточность, печеночная, проблемы сердечно-сосудистой системы, онкология и еще целый ряд неизлечимых болезней. Но даже при них облегчить состояние кошки возможно на какое – то время. Если постоянно держать ее состояние под контролем и проводить соответствующее своевременное лечение, животное может еще пожить. В случае обострения, скорее всего, не обойдется без оперативного вмешательства.
Профилактика
Профилактика была и остается самым надежным способом лечения. В данном случае, своевременное выявление и устранение первопричины – стопроцентная гарантия, что ни кошка, ни ее хозяин никогда не познакомятся с этим неприятным и, в большинстве случаев, опасным для ее жизни заболеванием.
- Не стоит заставлять животное нервничать. Оберегайте его от стрессов и волнений.
- Тепло и всегда свежая вода должны быть обязательно.
- Важен в профилактике, также рацион, богатый витаминами, белками, углеводами, минеральными веществами.
Асцит у кошек имеет воспалительный характер и вызывается скоплением жидкости в теле животного. Заболевание, называемое еще брюшной водянкой, не является первичным, поскольку оно – результат затянувшихся болезней. Зачастую его вызывают проблемы с белковым и водно-солевым обменом, гиподинамия, различные болезни печени и нарушенное кровообращение. Если не начать лечение асцита вовремя, велика вероятность возникновения сердечно-сосудистой недостаточности. Отсутствие терапии приводит к летальному исходу.
Признаки асцита у кошки
Даже по многочисленным фото в Интернете видно изменение в «фигуре» питомца. Характерно, что симптомы проявляются не сразу. Патологические признаки проявляются постепенно, в зависимости от общего состояния здоровья кота, его возраста и породы, фактора заболевания.
Самым первым признаком такого заболевания, как асцит у кошек, является очень большой, вздутый, шарообразный живот. Если кота поднять за передние лапы, чтобы он стоял на задних, то можно заметить, что транссудат переместился в нижнюю часть брюшины. Из-за этого «фигура» питомца больше напоминает симметричную грушу.
Какие еще симптомы характерны для данного заболевания?
- кошка при асците не ест;
- появление поверхностного, учащенного дыхания (увеличенная брюшина начинает давить на грудную клетку, из-за чего нарушается кровообращение);
- малоподвижный образ жизни, вялость и утомляемость;
- сбои в сердечном ритме;
- тошнота и последующая рвота;
- расстройство пищеварения (чередующиеся запоры и диарея, метеоризм);
- частое мочеиспускание;
- появление болей в конечностях;
- признаки отравления.
Важно знать! Если у кошек диагностирован сахарный диабет, то за 24-28 часов объем транссудата может достигать порядка 2 л. Такое положение дел может быть и у истощенных животных, ослабленных возрастом или недугом
В домашних условиях поведение питомца также меняется. Он старается лечь на холодный кафель своим животом. Для кошек взобраться на диван или подобную возвышенность – приложение немалых усилий. Не всегда питомцы на поздних стадиях асцита могут запрыгнуть
Если учесть, что питомец перестает ухаживать за своей шубкой, передвигается крайне осторожно без резких движений, мяукает от сильной боли в брюшине, это указывает на дополнительные признаки заболевания асцитом
Асцит сопровождается также:
- отеком промежности;
- отеком нижней части грудины;
- неухоженной, взъерошенной шерсткой;
- синюшностью или желтушностью слизистых оболочек.
Если хозяин слегка надавит на брюшину, то в случае водянки под рукой будет чувствоваться пустота. Некоторые думают, что их кошки беременны, поэтому у них такой большой живот. Взгляните на фото беременной и заболевшей кошки и сравните их. У питомицы на сносях живот растет гораздо медленнее.
Лечение в домашних условиях

Самолечением асцита в домашних условиях заниматься рискованно и очень опасно: даже травы, которые заваривают кошке, чтобы облегчить ее состояние, в неправильно взятой пропорции могут ей навредить. Что уж говорить об аптечных препаратах! Тот же фуросемид, которым потчуют заболевших кошек, унес немало жизней – не только кошачьих. Поэтому, если есть малейшая возможность попасть на прием к квалифицированному ветеринару, постарайтесь это сделать. Врач не только поможет сохранить жизнь вашего питомца, но и даст совет, как и чем кормить животное, подскажет, как не допустить асцита вновь.
Лечение содой
Но бывают ситуации, когда нет возможности попасть в клинику, а питомцу становится все хуже. На этот случай существуют рецепты народной медицины.
Кошке может оказаться полезным такое народное средство от асцита:
берутся сухие березовые листья и из отношения один к десяти завариваются в крутом кипятке. Далее добавляется два грамма соды на стакан воды. Отвар настаивается в течение шести часов. Давать его кошке полагается дважды в сутки: утром и вечером.
Это средство помогает устранить или облегчить симптомы асцита, но отнюдь не основного заболевания, причиной которого оно могло стать. Поэтому при первой же возможности посетите ветеринара.
Что такое асцит
Это опасный диагноз, который характеризуется повышенным скоплением жидкости в брюшной полости. Пострадать от асцита могут другие важные органы организма, например, легкие и сердце. Проблема имеет не воспалительный характер. Скопившаяся в области брюшины жидкость по объему может достигать 15-20 литров. В народе такое заболевание называется «лягушачий живот», склонно к злокачественному течению. Для 75% всех клинических картин это осложнение прогрессирующего цирроза, а основная цель лечения – подавить тревожную симптоматику, продлить период ремиссии.
Почему скапливается жидкость в брюшной полости
Брюшина, выстилающая стенки брюшной полости, выделяет небольшое количество жидкости, которая по химическому составу сходна с плазмой крови. Она необходима для нормальной работы внутренних органов, иначе они бы склеивались между собой. Жидкость всасывается и выделяется на протяжении суток, но под воздействием патологических факторов этот естественный процесс может быть нарушен. При дисбалансе повышается внутрибрюшное давление, живот увеличивается в размерах. Необходима срочная диагностика с последующей комплексной терапией.
Указанное заболевание является осложнением цирроза печени и не только. В организме прогрессирует постепенно, первое время никак себя не проявляет. Асцит брюшной полости сложно поддается успешному лечению. Однако исцеление наступает, если устранить основной патогенный фактор. Причины асцитической болезни имеют неожиданный характер, самые распространенные среди них представлены ниже. Это:
- сердечная недостаточность;
- злокачественные новообразования;
- нарушенное давление воротной вены печени;
- туберкулез брюшной полости;
- развитие мезотелиомы, псевдомиксомы;
- нарушения работы эндокринной системы;
- заболевания по-женски (из области гинекологии).
Почему возникает водянка живота у новорожденных
Асцит брюшной полости может прогрессировать в любом возрасте, и больные характерным недугом младенцы – не исключение. Патологический процесс обостряется еще во внутриутробном периоде, характеризуется врожденным нарушением печеночной функции. Вызывают такое заболевание в столь юном возрасте инфекционные заболевания беременной женщины. Среди таковых следующие диагнозы:
- краснуха беременных;
- сифилис;
- токсоплазмоз;
- листериоз;
- гепатит;
- герпес;
- корь.
В группу риска попали новорожденные, чьи матери при беременности злоупотребляли наркотическими веществами, лекарственными препаратами, алкогольными напитками, химическими реагентами. Кроме того, асцит прогрессирует в случае переливания крови беременных, при ожирении, сахарном диабете 2 типа. Чтобы с первых дней жизни ребенок не заболел асцитом брюшной полости, беременной женщине не рекомендуется делать перманентный макияж, татуировки.
Симптоматика и диагностика
Симптомы могут значительно варьировать в зависимости от первоначальной причины, из-за которой и возник асцит/гидроторакс. Он может развиваться как внезапно (при серозном разлитом воспалении), так и на протяжении многих месяцев и даже лет (при опухолях). Основные клинические признаки следующие:
Уродливо раздутый живот.
Боль в животе и/или дискомфорт, кошка не находит себе места, постоянно беспокоится.
Затрудненное дыхание.
Увеличение массы тела (особенно заметно, если наблюдается водянка у котят).
Летаргия.
Слабость, апатия.
Рвота.
Кашель.
При прощупывании брюшной или грудной полости может проявляться сильная болевая реакция, но бывает это далеко не всегда. Прогноз при водянке сомнительный. Чтобы поставить правильный диагноз и отличить водянку от иных заболеваний, ветеринару потребуется сделать немало анализов (чтобы узнать, как лечить животное). Основные мероприятия включают:
Обязательно проведение биохимического исследования крови. Это делается для проверки ферментов печени, так выявляют гипоальбуминемию и прочие патологии, связанные с железами внутренней секреции.
Забор выпота при помощи пункционной иглы. Делается это для определения типа жидкости в брюшной или грудной полости (транссудаты, выпоты, кровь, моча, лимфа). Это может помочь вашему ветеринару сузить «круг подозреваемых», то есть быстрее отыскать первопричину.
Анализ мочи. Этот анализ делается ради проверки почечной функции.
Рентген грудной клетки. Нужен, чтобы определить состояние легких и сердца.
ЭКГ для выявления скрытых сердечных патологий.
Ультразвук брюшной полости, проводимый для оценки состояния органов.
Биопсия. Нужна в случае, когда причиной водянки является опухоль (чтобы выявить ее природу).
Особенности асцита у котов
Асцит не относится к категории самостоятельных заболеваний. Этот тревожный симптом сигнализирует об избытке жидкости в абдоминальной зоне.
При здоровом функционировании организма жидкость в брюшине присутствует, но в минимальном количестве. Основное ее назначение — борьба с инфекциями и поддержание стерильности брюшинного пространства.
Превышение нормы чревато сбоями в работе органов и систем, возникающими вследствие передавливания. В большинстве случаев асциту не свойственны внезапные проявления. За исключением перитонита, субстанция аккумулируется в организме постепенно.
Хронический перитонит часто становится причиной асцита
Патогенез синдрома
Асцит появляется вследствие многих болезней. На молекулярном уровне основной причиной его возникновения считается низкое содержание в крови альбуминов. Если рассматривать патологию с симптоматической точки зрения, то она сопровождает следующие заболевания:
- гепатит;
- диабет;
- цирроз;
- перитонит;
- недостаточность правого желудочка сердца;
- злокачественные новообразования;
- гипоальбуминемия;
- разрыв мочевого пузыря.
Цирроз печени у кошек
Инфекционные процессы, кровотечения, сбои в работе лимфатической системы, болезни органов ЖКТ, усиленная выработка почками белков также могут спровоцировать водянку.
Таблица 1. Основные виновники патологии
| Заболевание | Описание | 
|---|---|
| Гипоальбуминемия | Низкий уровень содержания альбумина — одной из белковых фракций, чреват нарушением коллоидно-осмотического давления. Этот сбой запускает процесс накопления жидкости, содержащейся в кровеносных сосудах, в брюшине | 
| Недостаточность правого желудочка сердца | Ввиду того, что уменьшается пропускная проводимость сердца, отток крови от внутренних органов затрудняется. Нагрузка на сосуды, в которых застаивается плазма, увеличивается, и жидкость выходит в брюшину | 
| Перитонит | Оболочка, устилающая брюшную полость, иногда воспаляется. Это вызвано как воздействием вирусных инфекций, так и заболеваниями органов брюшины. Вследствие патологического процесса возникает водянка | 
| Доброкачественные и злокачественные опухоли | В процессе роста новообразований происходит сдавливание внутренних органов. Нарушается целостность сосудов и движение кровотока. Как следствие — выброс жидкости в брюшинное пространство | 
| Травмы | При сильных повреждениях кровь попадает в брюшину. Особо опасными считаются травмы селезенки, являющейся кровяным резервуаром, и больших кровеносных сосудов | 
Корановирус FIPY приводит к стремительному накоплению жидкости в брюшине.
Симптоматика асцита
Наиболее типичный признак синдрома — увеличение живота в объеме. Симптомы раскрываются постепенно, в зависимости от скорости накопления вещества. При чрезмерном количестве транссудата брюшина становится большой и тугой.
Домашним тестом для определения асцита служит одна простая манипуляция. Кота следует поставить на задние лапы. Если живот стал похожим на грушу, с характерным для этого фрукта расширением в нижней части, нужно немедленно показать питомца ветеринару.
Главным проявлением асцита считается грушевидная форма живота животного в стоячем положении
По возвращении животного в исходное положение через несколько минут брюшко приобретает прежние очертания. Подобный эффект происходит в результате стекания жидкости вниз. У кошек с длинным подшерстком присущее асциту увеличение брюшины будет малозаметно. Симптоматика обусловлена степенью тяжести недуга и скоростью накопления транссудата.
У питомцев наблюдаются следующие проявления:
- уменьшение активности;
- метеоризм;
- изменение цвета урины или фекалий;
- затрудненное дыхание;
- лихорадка;
- снижение аппетита;
- кашель;
- расстройства стула;
- рвота.
Потеря интереса к внешней деятельности является одним из симптомов асцита
Иногда животное дышит ртом, напоминая собаку. Это вызвано сдавливанием диафрагмы брюшной полостью. Как следствие, появляется одышка. Возможна даже потеря сознания.
Прогноз лечения
Ветеринары во многих случаях огорчают владельцев котов неутешительной статистикой. Однако при своевременном выявлении спровоцировавшего асцит заболевания возможно полное излечение.
Несмотря на печальные прогнозы, этот синдром поддается купированию
Выздоровление животного зависит от следующих факторов:
- степени запущенности недуга;
- продолжительности периода накопления жидкости в организме;
- точностидиагноза;
- правильности подобранной схемы лечения.
Если болезнь находится в стадии обострения, возможен летальный исход.
Самостоятельное лечение асцита противопоказано
Симптомы
Если кот находится в остром состоянии, то все симптомы будут ярко выражены, и не заметить их невозможно. Но нередко, животное испытывает только лёгкое недомогание, и то что у кота болит живот становится понятно только через определённое время, когда животное худеет, перестаёт ластиться и играть. Именно поэтому, даже малейшие отклонения от нормы поведения питомца должны настораживать.
К признакам боли в животе и нарушений органов пищеварения относятся:
- Кот горбится, или не может спокойно лежать, избегая давления на живот.
- Животное меньше двигается, не играет, сидит на одном месте.
- Повышенная температура – более 39°, у котят – более 39,5°.
- При попытке погладить живот кота, он сопротивляется.
- При пальпации ощущается вздутие, живот кота плотный, бурлит.
- Кот меньше ест, или вообще отказывается от еды, что свидетельствует о тяжелом состоянии.
- Жидкий стул, диарея, может быть с примесью крови, стул со слизью.
- Рвота, тоже может быть с кровью.
- Когда кот ходит в туалет, он может стонать или издавать звуки, свидетельствующие о болезненной дефекации или мочеиспускании.
- Кот теряет в весе.
- Шерсть выглядит хуже, теряет блеск.
- При серьёзных отравлениях наблюдаются судороги и пена у рта.
- Симптомы гастрита: кот не ест или ест мало, не двигается, его часто тошнит, из пасти идёт плохой запах, понос, вздувшийся и урчащий живот.
- Симптомы энтерита: понос, стул с частицами непереваренной пищи, со слизью или кровью, апатия, болезненный живот, вздутие, понижение аппетита, плохая шерсть, болезненная дефекация.
- Симптомы отравления: отказ от еды и питья, из пасти идёт пена, судороги, животное мало двигается.
- Симптомы панлейкопении: рвота, иногда с кровью, понос, слезотечение, лихорадка до 41°, из-за боли в животе кот сидит сгорбившись или лежит на боку, часто, сидят рядом с ёмкостью с водой, но не пьют; животное резко теряет в весе.
- Симптомы глистной инвазии: болезненный живот, потеря аппетита, жажда, кот менее активен, стул со слизью, иногда ещё и с кровью, рвота, иногда, рвота с глистами, запоры, сменяющиеся поносом, выпадение шерсти, потеря веса.
- Симптомы панкреатита: вялость, повышение температуры, сильная рвота и понос, отсутствие стула при рвоте, обезвоживание, нарушение дыхания, очень болезненный живот.
- Симптомы пищевой аллергии: зуд кожи, высыпания на коже, заложенность носа и выделения из него, рвота и понос.
Все вышеперечисленные заболевания сопровождаются болью в животе разной степени интенсивности, и это неполный их список. Многие болезни имеют схожие признаки, помимо боли в животе, и их диагностика должна проводиться только специалистом.
Как лечить асцит у кошек
Лечение проводят медикаментозными препаратами, народными средствами, диетой. Скопившуюся жидкость ветеринар удаляет через прокол брюшины шприцем в стерильных условиях.

 Лечение асцита проводят медикаментозными препаратами, народными средствами, диетой
Кошка находится под наркозом. Процедура откачивания проводится под контролем УЗИ. Назначается способ лечения, когда требуется срочно снять давление с внутренних органов. После удаления скопления жидкости животное наблюдают с целью оценки скорости её повторного накопления.
Выраженные нарушения дыхания требуют кислородотерапии. Она проводится в условиях ветеринарной клиники до момента улучшения состояния кошки. Тяжёлое состояние животного, выраженная дыхательная и сердечная недостаточность в большинстве случаев заканчиваются летально.

 Обязательно почитайте:
Параанальные железы у кошек: что это, воспаление, методы лечения, возможные осложнения
Асцит по причине внутреннего кровотечения часто требует переливания донорской крови. Услуга предоставляется не во всех ветеринарных клиниках. Развивается состояние преимущественно на фоне травмы живота или онкологического процесса.
Медикаментозная терапия
Лечение медикаментозными препаратами проводится для общего укрепления организма животного и устранения основного заболевания.
Лекарства, необходимые для устранения патологии, приведшей к скоплению жидкости, подбираются каждому животному индивидуально в зависимости от поставленного диагноза.

 При асците живот у кошки увеличивается в размерах
Дополнительно животному с целью облегчения состояния показано давать следующие средства:
- мочегонные препараты – ускоряют процесс выведения из организма кошки жидкости, предупреждая её скопление;
- витаминно-минеральные комплексы – показаны для улучшения работы иммунной системы и обменных процессов;
- антибиотики – назначаются в случаях, когда основное заболевание бактериальной природы;
- хлористый кальций – средство дается, когда необходимо укрепление сосудистой стенки;
- препараты, улучшающие состояние почек.
Обезболивающие средства прописываются в случае выраженного болевого синдрома у животного на фоне воспаления или онкологии. Симптоматически назначают жаропонижающие и успокоительные.
Самостоятельно хозяин не должен назначать животному лекарства и изменять предписанные ветеринаром дозировки. Это может привести к ухудшению состояния питомца и его гибели.
Народные средства
Средства народной терапии назначаются в качестве дополнительных. Использовать их допускается, только если на это даст согласие ветеринарный врач. Пытаться избавить питомца от нарушения своими силами недопустимо.
Домашняя терапия также допускается, если нет возможности показать животное специалисту:
- Чистый березовый настой. Листья березы (сухие) завариваются кипятком в пропорции 1:10. Настой выдерживают 6 часов и отцеживают. Животное поится лекарством 2 раза в день.
- Березовый настой + сода. Готовится аналогично первому рецепту, затем в него добавляется 2 г пищевой соды на стакан. Применение аналогично чистому препарату.
Иные средства народной медицины использовать при нарушении не следует. Они могут значительно ухудшить состояние животного, так как не каждый медикаментозный препарат совмещается с ними и не все составы разрешены к применению при различных патологиях.

 Обязательно почитайте:
Геморрой у кошек или котов: причины, симптомы, с чем можно спутать, как лечить в домашних условиях
Лечебное питание, диета
Диета сводится к контролю количества воды, которая поступает в организм питомца. Требуется пища, богатая белками, – это мясо, рыба, кисломолочные продукты. Количество соли сводится к минимуму. Рацион составляется сбалансированный, чтобы с ним поступало достаточно витаминов, минералов, белка и углеводов.
Продукты дают только свежие. Сухие корма полностью исключаются из рациона питомца, так как они нагружают почки, ухудшая их работу. В ветеринарных аптеках продают лечебный корм, который содержит всё необходимое.
Натуральные продукты следует покупать в проверенном месте. Сомнительные мясо и рыба легко приводят к отравлению питомца и резкому ухудшению его состояния, вплоть до летального исхода.
Симптомы гидроторакса: как распознать заболевание у своего питомца?
Первое, на что необходимо обратить внимание – это поведение питомца. При гидротораксе постепенно развивается одышка, температура тела остается нормальной, но из-за внутренних изменений слизистые оболочки становятся синюшного оттенка (цианоз)
При прощупывании грудной области болевые ощущения отсутствуют, но имеются отеки.
Одна из особенностей гидроторакса – это стадийность. Периоды обострения могут сменяться временным облегчением. Однако не принимайте это за выздоровление! Запомните, что гидроторакс у кошек требует профессионального ветеринарного лечения.
Признаки гидроторакса (водянки) у кошек:
- общая слабость,
- быстрая утомляемость,
- нарастающая одышка,
- расстройства аппетита,
- синюшность слизистых оболочек (при надавливании восстанавливается естественный цвет),
- отеки в промежности, грудной клетке, в области глаз и на лапах.
У кошки, болеющей водянкой, пропадает желание играть. Она больше проводит времени в уединении, практически не контактирует с человеком, не идет на руки. При гидротораксе животные ложатся, широко расставляя лапки вперед, а голову вытягивая вверх. Дыхание становится более тяжелым (длинный вдох и короткий выдох).
Типы крипторхизма и причины развития
Чаще всего у котов диагностируется односторонняя форма заболевания, когда в мошонку не опущено только одно яичко. Среди всех животных с патологией двусторонняя форма крипторхизма встречается только у 2%, что говорит о том, что этот недуг крайне редкий.
Крипторхизм классифицируется на несколько видов с учетом симптоматики и этиологии:
- Абдоминальный. Семенник локализуется в брюшной полости и не прощупывается во время пальпации. Обнаружить его можно только при помощи ультразвукового исследования. При этом виде недуга один семенник часто недоразвит и отличается слишком маленьким размером.
- Паховый. Неопущеннный семенник располагается в области паха, за жировой прослойкой. Он легко обнаруживается во время пальпации, а у взрослых крупных котов с короткой шерстью будет виден и невооруженным глазом – внешне такой невышедший семенник выглядит как небольшое новообразование, находящееся чуть выше мошонки. Хозяева котов часто путают паховый крипторхизм с раковыми патологиями.
- Ложный. Второе название– блуждающий семенник. Недуг характеризуется втягиванием нормального развитого яичка вследствие слишком низкой температуры или из-за испуга.
- Вторичный. Осложнение ложной формы патологии, при которой втянутое внутрь яичко не возвращается обратно из-за избыточной жировой прослойки или спаек внутри тканей брюшной полости.

 Болезнь может появится в результате травмы Также в международной медицине выделяют приобретенную форму заболевания, при которой недуг развивается под негативным действием внешних факторов, например, из-за травмирования мошонки.
Что касается причин развития заболевания, то спровоцировать его могут:
- нарушения генетического характера: слишком узкий паховый канал, предрасположенность к формированию спаек, короткий канал семенников;
- перенесение кошкой инфекционного заболевания во время беременности;
- послеродовые травмы у питомца;
- гормональный сбой;
- патологии нервного и мышечного аппарата паховой области;
- лечение кошки сильнодействующими медикаментами в период беременности.
Самый редкий фактор, провоцирующий развитие заболевания – слишком крупные семенники, которые из-за размера не могут пройти в область мошонки даже при нормальном размере паховых каналов.
























































