Профилактика астмы
Основные профилактические правила для того, чтобы не провоцировать приступы:
- соблюдение гигиены в квартире, где живет питомец;
- ежедневная влажная уборка помещения;
- применение очистителя воздуха;
- летом в период вегетации растений реже открывать окна для предотвращения попадания в воздух аллергенов;
- правильное питание питомца, сбалансированность, гиппоаллергенность. Нельзя применять продукты, вызывающие пищевую аллергию: молочнокислые, курица, баранина, кукуруза;
- гигиена и уход за самим питомцем, применение гиппоаллергенной косметики, обработка от паразитов.
Таким образом, стопроцентного эффективного лечения кошачьей астмы не существует. Проявление самих приступов можно значительно облегчить или купировать с применением специальных лекарств. В любом случае без консультации ветеринара не обойтись. Подход к лечению всегда должен быть индивидуальным. Применение мер профилактики помогает сократить количество приступов или существенно облегчить их протекание.
Диагностика в ветклинике
Сахарный диабет у кошек: симптомы и лечение
Для диагностики заболевания у кошки необходимо подробно описать ветеринару все признаки и характерные особенности приступа. Далее врач назначает исследования:
- анализ крови на выявление аллергенов, исследование общего состояния здоровья;
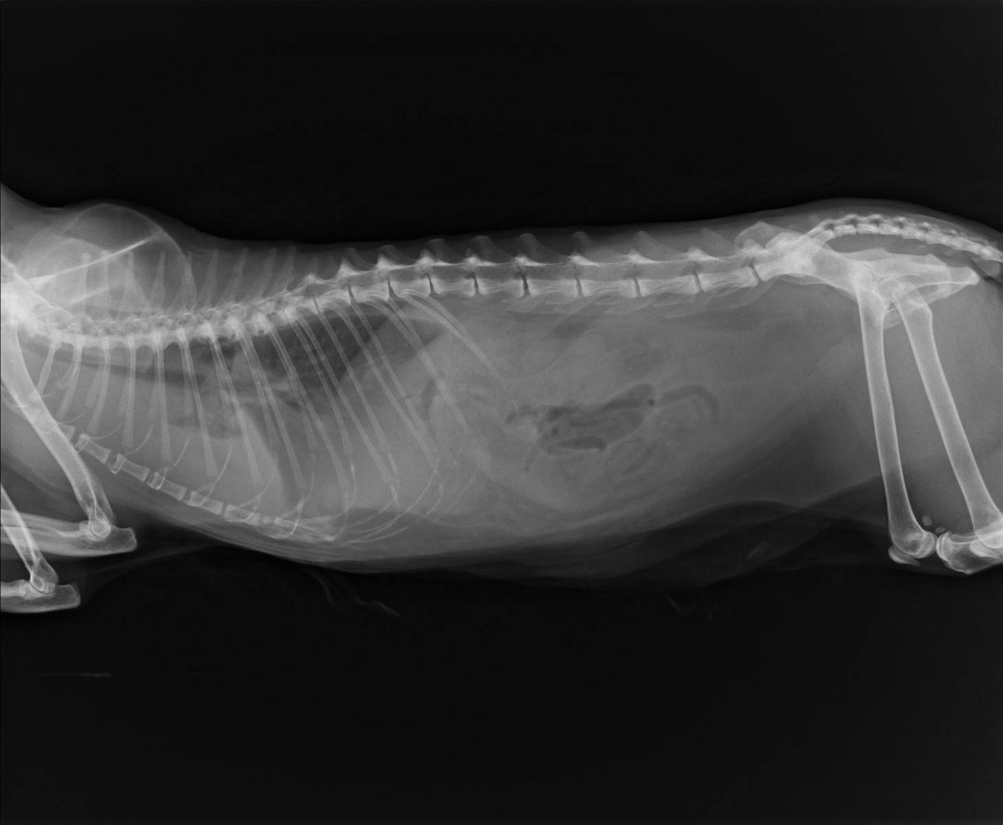
- рентген грудной клетки: позволяет выявить утолщение стенок бронхов, диафрагмальное растяжение, выявить образования в легких, исключить бронхит;
- тест на заболевания вирусного и инфекционного происхождения.
Дальнейшая диагностика подразумевает:
- осмотр животного;
- применение стетоскопа для прослушивания легких;
- проведение индивидуальных анализов: все зависит от состояния животного.
При диагностике исключают такие заболевания:
- микоплазмоз;
- легочные гельминты;
- новообразования;
- бордетеллез;
- вирусный ринотрахеит;
- пневмония;
- сердечные патологии.

Диагностика астмы у кошек проводится путем рентген-исследования
Факторы риска бронхиальной астмы
Бронхиальная астма развивается, как правило, на фоне генетической предрасположенности. Иммунная система питомца способна к усиленной ответной реакции на аллерген.
При этом к возможным аллергенам относят следующие вещества:
- Пыльца растений.
- Некоторые виды трав.
- Синтетические или натуральные ткани. Приступ астматического кашля может развиться, например, при замене лежанки из другой ткани.
- Один из наиболее актуальных аллергенов – это пища. Именно по этой причине, из специализированных кормов для кошек исключают продукты питания с высоким аллергическим индексом.
- Домашняя пыль, мелкие насекомые, клещи, блохи – могут привести к формированию бронхиальной астмы.
К чрезмерно сильному иммунному ответу организма могут привести паразиты (в кишечнике, в печеночных и желчных протоках, в тканях печени, в головном мозге, в мышцах). Причиной подобной реакции становится увеличенный выброс гистамина в кровь питомца.
Способствовать более раннему проявлению болезни могут частые инфекционные заболевания, нерациональное питание, содержание в неподходящих условиях для питомца (холодное сырое помещение). Выявление факторов риска позволяет ветеринару определить, чем лечить астму у кошки.
Симптомы и диагностика
Зная, как это заболевание проявляется у людей, не составит труда распознать его у кота. Клинические симптомы болезни разнообразны и зависят от тяжести патологического процесса и частоты астматических приступов. Для них характерна внезапность появления. Активный питомец останавливается, открывает рот, пытается вдохнуть воздух, начинает кашлять и часто дышать. Симптоматика в зависимости от формы заболевания:

- Непродолжительный кашель при легком течении болезни.
- Острая стадия астмы сопровождается выгибанием спины, присаживанием, вытягиванием шеи, кашлем, хрипами, частым и поверхностным дыханием. У животного происходит резкое сокращение гладкой мускулатуры вокруг бронхов, становится подвижным живот и грудная клетка. При этом дыхание учащается, а кашель усиливается. Иногда такое состояние напоминает попытку питомца срыгнуть попавшую в желудок шерсть. Между приступами кошка вялая, сонливая, отказывается от пищи.
- При тяжелом приступе болезни четвероногий любимец ложится на живот, открывает рот и тяжело дышит. Из-за нехватки кислорода его слизистые оболочки приобретают синюшный оттенок.

При появлении перечисленных симптомов надо показать кота ветврачу. Визуальный осмотр и прослушивание стетоскопом не всегда позволяют диагностировать это заболевание, т. к. схожие признаки бывают при инфекционных поражениях респираторных органов, сердечной недостаточности, отеке легких, опухолях, попадании инородного тела в дыхательные пути. Чтобы поставить точный диагноз, требуются дополнительные обследования. Информация о них представлена в таблице:

| Методы диагностики | Цель проведения | |
| Лабораторные | Клинический анализ крови | Определение уровня эозинофилов. Концентрация свыше 6% указывает на бронхиальную астму. |
| Инструментальные | Рентгенография грудной клетки | Оценка толщины стенок бронхов, состояния диафрагмы. При данном заболевании на рентгеновском снимке легкие прозрачные с выраженным рисунком. |
| Дополнительные (используются по показаниям) | Посевы культур из трахеобронхиальных смывов | |
| Исследование кала на наличие паразитов | ||
| Обследование плевры | ||
| Осмотр на предмет обнаружения инородного тела в гортани |
Диагностика
При наличии симптомов грамотный специалист при осмотре сразу определит наличие болезни кошки и отправит на диагностическое обследование. Чтобы достичь четкой постановки диагноза, необходимо пройти:
- рентгенографию грудной клетки;
- общий и биохимический анализ крови;
- копрологический анализ для выявления наличия паразитов;
- бронхоскопию для уточнения степени поражения бронхов.

Рентгенография покажет наличие воспаления в органах дыхания
Острый бронхит
Характеристика:
- подъем температуры;
- сухой кашель;
- животное становится вялым;
- снижается аппетит;
- появляется густой секрет из носовых пазух.

При остром бронхите у кошки может быть выделение густого секрета из носовых пазух
Увлажнение кашля происходит через некоторое время, иногда кашель сопровождается рвотным позывом. Если рвота произошла, то в ее содержании возможны кровянистые выделения. У питомца появляется учащенное дыхание с характерными хриплыми звуками, а в грудной клетке отчетливо слышно бульканье.
Симптоматика при развитии после вирусной или бактериальной инфекции:
- подъем высокой температуры;
- нарушение пищеварения (понос, рвота);
- потеря аппетита;
- животное становится ослабленным, апатичным;
- возможно выделение слизи, гноя из глаз.
При данных симптомах скорейший осмотр ветеринарного врача спасет жизнь питомцу.
Хронический бронхит
Хронический бронхит проявляет себя не сразу. Течение болезни имеет скрытый характер.
Симптоматика:
- редкий сухой кашель, особенно, если животное употребило холодную воду или испытало стресс;
- нарушение аппетита;
- животное ведет себя апатично, вяло;
- небольшая температура либо ее отсутствие.
Аллергический бронхит (астма)
Аллергический бронхит зачастую появляется как реакция на аллерген (спреи, дезодоранты, дым, пыль).
Симптоматика:
- при смене климата происходит ухудшение состояния питомца;
- появление реакции на глюкокортикоидные препараты;
- объем грудной клетки увеличивается;
- появление одышки.
Применение лекарств:
при остром приступе принимаются бронхолитические («Эуфиллин» по 3-5 мг/кг 1-2 раза в сутки), кортикостероидные лекарства («Дексафорт» 0,05 мг/кг однократно, внутримышечно);
при кашле – «Гамавит» (0,3-0,5 мг/кг 1-2 раза в сутки внутримышечно);
при бронхоспазмах — «Атропин» (0,001-0,003 г подкожно), «Преднизолон» (0,3-0,5 мг/кг 2 раза в сутки).
Побочные эффекты
Поскольку бета-рецепторы обнаруживаются не только в бронхиальной стенке, но и в других органах — сердце и системе кровеносных сосудов — возникают различные побочные эффекты бронхолитиков. К ним относятся дрожь, потливость, внутреннее беспокойство, проблемы со сном и учащение сердцебиения до аритмии.
Антихолинергические бронхолитики считаются хорошо переносимыми и имеют мало побочных эффектов. Наиболее распространенный нежелательный эффект — сухость во рту.
При системном применении существует ряд возможных побочных эффектов — от аритмии сердца, повышения артериального давления до проблем со стулом и психикой.
При длительной терапии больных астмой и ХОБЛ теофиллин не должен использоваться, если бета-симпатомиметики или антихолинергические бронхолитики действуют. Даже при слегка высокой дозировке существует риск серьезных побочных эффектов. Кроме того, возможны многочисленные взаимодействия теофиллина с другими лекарственными средствами.
Спектр возможных побочных эффектов теофиллина варьируется от желудочно-кишечных жалоб — тошнота, рвота и диарея — до сердечных аритмий, головных болей, бессонницы, спутанности сознания и судорог. Передозировка бронхолитика имеет смертельные последствия.
Профилактика приступов кошачьей астмы
При появлении симптомов как можно раньше обратитесь за медицинской помощью. Это поможет избежать более серьезных проблем. Однако лучший способ предотвратить приступ астмы у вашей кошки — это использовать прописанные лекарства для лечения болезни.
Некоторые методы домашнего ухода также могут предотвратить симптомы астмы, в том числе:
- Использование наполнителей для кошачьих туалетов с низким содержанием пыли
- Избегайте аэрозольных очистителей и дезодорантов
- Избегайте бытовых чистящих средств с сильным запахом
- Отказ от курения рядом с кошкой или сокращение использования свечей или камина, поскольку дым может вызывать раздражение.
Если у вашей кошки приступ астмы, примите любое лекарство для неотложной помощи, прописанное ветеринаром, и немедленно обратитесь за медицинской помощью.
Причины бронхиальной астмы
Факторы, способствующие развитию бронхиальной астмы
Чаще всего таким стимулом является аллерген, то есть астма имеет аллергическую природу. В этом случае говорят об атопической бронхиальной астме. Приступы астмы могут быть вызваны аллергией:
- на пыльцу растений;
- на лекарства;
- на пыль;
- на шерсть и продукты жизнедеятельности животных.

Однако астма может возникнуть и без участия аллергенов, например, как чрезмерная реакция на присутствие в организме инфекции. То есть, иммунная система правильно опознала врага, но борьба с ним сама оказывается опасной для нашего здоровья. Приступы астматического удушья также могут наблюдаться как реакция на холод или на физические нагрузки (например, бег).
Если с факторами, провоцирующими астму, более-менее всё понятно, то причина этого заболевания пока ещё неизвестна. В одних и тех же условиях у одного человека развивается астма, а у другого нет. Несомненно, существует пока ещё не выявленный фактор, определяющий предрасположенность к астме. Есть основания считать, что эта предрасположенность передаётся по наследству. В 3/5 всех случаев бронхиальной астмы наследственный фактор точно присутствует.
Кто относится к группе риска по формированию бронхиальной астмы
Вероятность развития бронхиальной астмы выше, если:
- у вас кто-то из родителей страдает бронхиальной астмой (если астматик только один родитель, риск составляет 25%, а если оба – то 75%);
- вы аллергик. Особенно высок риск при таких проявлениях аллергии, как ринит (насморк) и конъюнктивит. Но и при кожных проявлениях вы также находитесь в группе риска.
- вы работаете в экологически небезопасных условиях: в воздухе, которым приходится дышать, присутствует пыль, диоксид серы (элемент смога), оксид азота (образуется в результате сжигания газа, например, в кухонной плите), озон;
- вы курите или много времени проводите там, где курят. У детей, находящихся среди курящих взрослых, увеличивается риск раннего развития заболевания;
- вы страдаете хроническими заболеваниями дыхательных путей (прежде всего, хроническим бронхитом);
- у вас избыточный вес (ожирение). В этом случае возрастает риск возникновения астмы неаллергического происхождения.
Почему случаются приступы бронхиальной астмы?
Приступ вызывает воздействие провоцирующего фактора. Если астма имеет аллергическую природу, то это контакт с аллергеном. Провоцирующим фактором также могут быть:
- холод (воздействие холода приводит к сужению бронхов);
- влажный или загрязненный воздух;
- физические нагрузки;
- стресс.
Действие провоцирующего фактора вызывает три взаимосвязанных процесса:
- бронхоспазм. Это внезапное сокращение мышц, в результате которого резко суживается просвет бронхов;
- образование вязкой мокроты, которая в свою очередь также затрудняет дыхание. Эта мокрота становится благоприятной средой для развития патогенных микроорганизмов;
- воспаление слизистой оболочки бронхов. В результате развивается отёк слизистой. При хроническом воспалении происходит так называемая «необратимая обструкция» – утолщение стенок бронхов.
Развитию бронхиальной астмы (усугублению симптомов) способствуют неблагоприятная экологическая обстановка, курение, нездоровый образ жизни, стрессы.
Лечение бронхиальной астмы
Лечение заболевания предполагает исключение контакта с веществом-аллергеном. Рекомендуется соблюдать специальную диету.
- Если выявить причину недуга удалось, необходима терапия, которая поможет снизить чувствительность к конкретному аллергену.
- Чтобы купировать приступы, больным астмой назначают аэрозоли, действующие на просвет бронхов. Подбирается индивидуальная дозировка.
- Для купирования приступа допустимо использование лекарственных препаратов группы м-холинолитиков (специальные аэрозоли с фенотеролом и ипратропием бромида).
- Справиться с астмой помогает назначение ксантиновых препаратов. Они борются с удушьем.
- Нередко при лечении осложнений и тяжелых форм назначают гормоны. Их рекомендуется принимать вместе с антацидами, защищающими желудок.
Долгое время бронхиальная астма была скорее противопоказанием для приема антигистаминным препаратов. Это было связано с некоторыми побочными эффектами антигистаминов 1 поколения: например, они очень часто вызывали сухость слизистых оболочек, что могло затруднить отхождение вязкой мокроты и значительно ухудшить состояние больного.
При появлении противоаллергических препаратов 2 поколения, интерес к ним в разрезе этой проблемы резко возрос. Ведь роль гистамина, как важнейшего посредника аллергических проявлений при астме, уже была доказана. Известно, что у больных бронхиальной астмой в той или иной степени проявляется аллергический ринит. Встречаются также проявления аллергии со стороны кожных покровов, желудочно-кишечного тракта. Они и могут быть целью приема гистамин-блокаторов
Целенаправленность воздействия новых препаратов позволяет говорить о снижении риска побочных эффектов, поэтому многие из них могут с осторожностью применяться при бронхиальной астме для купирования сопутствующих проявлений аллергии
К новейшим препаратам против аллергии относится Цетрин. У антигистаминных препаратов данного типа длительный лечебный эффект. Взрослым можно принимать по 10 мг (1 таб.) 1 раз в день или по 5 мг (1/2 таб.) 2 раза в день. Детям старше 6 лет – по 5 мг (1/2 таб.) 2 раза в день или по 10 мг (1 таб.) 1 раз в день.
Профилактика
Чтобы любимая кошка с астмой испытывала меньше болезненных симптомов, хозяин питомца должен выполнять некоторые правила содержания животного.
Соблюдение чистоты – главное условие. На поверхностях не должна накапливаться пыль. Убираться в доме следует с использованием гипоаллергенных моющих веществ. Бытовую химию следует хранить в плотно закрытых ПЭТ бутылках. Все комнаты нужно тщательно проветривать, увлажнять воздух, стараться не курить в квартире.
Из рациона животного необходимо убрать вредные продукты. Вместо этого питание кошки должно быть максимально разнообразным, питательным и полезным. Корм лучше покупать по рекомендациям ветеринара.
Профилактика обострений астмы у кошек поможет поддержать здоровье любимицы и избежать печальных последствий.
Диагностика и лечение
Клинические признаки кошачьей астмы могут напоминать симптомы других недугов. Например, болезней сердца, бронхита и респираторных инфекций. К сожалению, ни один тест не может диагностировать кошачью астму самостоятельно. Постановка диагноза часто начинается с изучения истории болезни кошки, где указаны эпизоды случайного кашля, свистящее дыхание или нарушение дыхания
Поэтому так важно вовремя обращаться за помощью в ветеринарную клинику при появлении каких-либо подозрений и тщательно документировать эти визиты
Рентген легких кошки с астмой может показать отклонения, которые являются типичными для этого заболевания. Но данная процедура подходит не для всех. Да и чаще всего рентгеновское обследование назначается врачом только в том случае, если на его глазах повторились симптомы кашля, удушья, хрипов или других возможных проявлений астмы. А так как на первых порах заболевание может вызывать лишь эпизодические приступы, врач может просто их не дождаться, из-за чего порой упускается ценное для лечения время.
В качестве лечения используются меры устранения симптоматики. Например, существуют специальные препараты для инъекций, которые помогают расширить дыхательные проходы, что облегчает состояние животного. Лечение зависит от тяжести каждого конкретного эпизода. В легких случаях возможна помощь питомцу на дому, в других же желательно незамедлительно отправиться в лечебное заведение. Там квалифицированные специалисты предпримут меры, чтобы расширить суженные пути, уменьшить воспаление, стресс, чтобы помочь дышать пациенту более легко. Кислородная терапия также часто является необходимой
О важности госпитализации для дальнейшего лечения и наблюдения оповестит лечащий ветеринар исходя из состояния животного и потенциального уровня опасности для здоровья
Большинство кошек «лечатся» на дому. По медицинским показаниям с помощью простых ежедневных процедур, которые могут снизить частоту острых кризисов астмы, можно держать больную кошку дома. Для купирования симптоматики используются оральные препараты и ингаляционная терапия. Они могут применяться как ежедневно, так и по мере ухудшения здоровья при острых кризисных ситуациях, в зависимости от тяжести болезни. Не каждая кошка поддается ингаляционной терапии (маска должна быть размещена четко над носом и ртом). Но большинство могут приспособиться к таким манипуляциям, тем самым облегчая управление собственным недугом.
Контроль над астматическими проявлениями осуществляется следующими препаратами. Кортикостероиды применяют для уменьшения воспаления легких. Эти препараты могут быть введены путем инъекции (депо-медрол) или перорально (преднизолон). Проблема с этим методом состоит в том, что лекарство распределяется по всему организму, вызывая ряд побочных эффектов и долговременные проблемы со здоровьем.
Лучшим вариантом является использование Дозированных Ингаляторов (МДИ) в сочетании с аэрозольной камерой, сделанной специально для кошек. Таким образом лекарство попадает непосредственно в легкие. Также используются бронходилататоры для противодействия жестокому приступу для открытия дыхательных путей. Препарат может вводиться путем инъекций или перорально. Опять же, этот метод воздействует на весь организм, что может негативно сказаться на здоровье кошки. К счастью, бронходилататоры можно вводить с помощью ингалятора и аэрозольной камере.
Оба стероиды и бронхолитики могут быть доставлены с помощью ингалятора в соответствующей аэрозольной камере. На самом деле, это самый эффективный вариант, так как он доставляет лекарство прямо в легкие. Как правило, используются 2 типа препаратов: кортикостероид и альбутерола бронходилататор.
Домашняя кислородная терапия – это лечение, используемое как дополнение к медикаментозному. Этот вид требует наличия оборудования для администрирования кислорода для кошки. Иглоукалывание – хороший вспомогательный метод, который может использоваться вместе с другими лекарствами и методами лечения. Он широко применяется в лечении астмы у человека.
Диагностика и лечение
Клинические признаки кошачьей астмы могут напоминать симптомы других недугов. Например, болезней сердца, бронхита и респираторных инфекций. К сожалению, ни один тест не может диагностировать кошачью астму самостоятельно. Постановка диагноза часто начинается с изучения истории болезни кошки, где указаны эпизоды случайного кашля, свистящее дыхание или нарушение дыхания
Поэтому так важно вовремя обращаться за помощью в ветеринарную клинику при появлении каких-либо подозрений и тщательно документировать эти визиты
Рентген легких кошки с астмой может показать отклонения, которые являются типичными для этого заболевания. Но данная процедура подходит не для всех. Да и чаще всего рентгеновское обследование назначается врачом только в том случае, если на его глазах повторились симптомы кашля, удушья, хрипов или других возможных проявлений астмы. А так как на первых порах заболевание может вызывать лишь эпизодические приступы, врач может просто их не дождаться, из-за чего порой упускается ценное для лечения время.
В качестве лечения используются меры устранения симптоматики. Например, существуют специальные препараты для инъекций, которые помогают расширить дыхательные проходы, что облегчает состояние животного. Лечение зависит от тяжести каждого конкретного эпизода. В легких случаях возможна помощь питомцу на дому, в других же желательно незамедлительно отправиться в лечебное заведение. Там квалифицированные специалисты предпримут меры, чтобы расширить суженные пути, уменьшить воспаление, стресс, чтобы помочь дышать пациенту более легко. Кислородная терапия также часто является необходимой
О важности госпитализации для дальнейшего лечения и наблюдения оповестит лечащий ветеринар исходя из состояния животного и потенциального уровня опасности для здоровья
Большинство кошек «лечатся» на дому. По медицинским показаниям с помощью простых ежедневных процедур, которые могут снизить частоту острых кризисов астмы, можно держать больную кошку дома. Для купирования симптоматики используются оральные препараты и ингаляционная терапия. Они могут применяться как ежедневно, так и по мере ухудшения здоровья при острых кризисных ситуациях, в зависимости от тяжести болезни. Не каждая кошка поддается ингаляционной терапии (маска должна быть размещена четко над носом и ртом). Но большинство могут приспособиться к таким манипуляциям, тем самым облегчая управление собственным недугом.
Контроль над астматическими проявлениями осуществляется следующими препаратами. Кортикостероиды применяют для уменьшения воспаления легких. Эти препараты могут быть введены путем инъекции (депо-медрол) или перорально (преднизолон). Проблема с этим методом состоит в том, что лекарство распределяется по всему организму, вызывая ряд побочных эффектов и долговременные проблемы со здоровьем.
Лучшим вариантом является использование Дозированных Ингаляторов (МДИ) в сочетании с аэрозольной камерой, сделанной специально для кошек. Таким образом лекарство попадает непосредственно в легкие. Также используются бронходилататоры для противодействия жестокому приступу для открытия дыхательных путей. Препарат может вводиться путем инъекций или перорально. Опять же, этот метод воздействует на весь организм, что может негативно сказаться на здоровье кошки. К счастью, бронходилататоры можно вводить с помощью ингалятора и аэрозольной камере.
Оба стероиды и бронхолитики могут быть доставлены с помощью ингалятора в соответствующей аэрозольной камере. На самом деле, это самый эффективный вариант, так как он доставляет лекарство прямо в легкие. Как правило, используются 2 типа препаратов: кортикостероид и альбутерола бронходилататор.
Домашняя кислородная терапия – это лечение, используемое как дополнение к медикаментозному. Этот вид требует наличия оборудования для администрирования кислорода для кошки. Иглоукалывание – хороший вспомогательный метод, который может использоваться вместе с другими лекарствами и методами лечения. Он широко применяется в лечении астмы у человека.
Симптомы
Самым частым симптомом астмы является кашель. Он может появляться несколько раз в течении дня, имеет глухой звук и различное время по продолжительности приступа.
Затем, при ухудшении состояния начинаются астматические приступы, которые являются основным клиническим признаком заболевания.
Как проявляется приступ удушья у кошек
Он наступает на фоне полного благополучия. Кошка вдруг резко останавливается, вне зависимости играла она, или шла в туалет. Затем начинает учащается дыхание, оно становится шумным, хриплым и свистящим. Животное стоит с открытым ртом, пытаясь более активно дышать.
Становится заметна активная работа груди и живота – они резко взымаются, двигаясь вниз и вверх. Дыхание поверхностное, выдох затруднен – при его совершении можно четко услышать хрип или свист.
Приступы делятся по тяжести:
- Редкие случаи удушья, не влияющие на жизнь кошки и не вызывающие нарушений дыхательной системы.
- Приступы могут появляться раз в неделю, проходят в тяжелой форме. После них у кошки отмечается утомление и сонливость.
- Частые, практически ежедневные приступы, которые постепенно истощают животное.
- Угрожающие жизни состояние – когда приступы могут приводить к острой дыхательной недостаточности.
Кошки с частыми эпизодами удушья имеют сниженную активность и частые летаргии из-за кислородной недостаточности. Слизистые становятся с синюшным оттенком, питомец теряет аппетит и сильно худеет. Становятся заметны признаки одышки – кошка часто сидит с открытым ртом издавая хриплые или хрюкающие звуки. Часто появляется чихание.
Длительное течение болезни приводит к нарушению сердечной деятельности, развивается так называемое «легочное» сердце – правожелудочковая гипертрофия, с последующим присоединением сердечной недостаточности.
Гормональная терапия
Гормональные средства применяют в разных формах. Схему лечения и подходящий препарат определяет врач-ветеринар.
Инъекции имеют свойство накапливаться в организме и производить максимальный лечебный эффект. Среди недостатков уколов выделяют риск развития побочных реакций.

shutterstock
Аэрозоли доставляют лекарственные компоненты сразу в бронхи. Они воздействуют местно, и не влияют на прочие системы. Аэрозольные препараты начинают действовать спустя несколько недель. Для большей эффективности ингалятор для кошки при астме комбинируют с приемом таблетированных средств.
Причины кошачьей астмы
Могут быть и другие факторы, но аллергия считается основной причиной кошачьей астмы. Это воспалительная реакция на аллергены.
Если кошка или котёнок чувствительны к определенным аллергенам, иммунная система может выделять химические вещества, вызывающие воспаление в дыхательных путях. Дыхательные пути раздражаются, сужаются и затрудняется дыхание.
Аллергены также могут раздражать слизистую оболочку дыхательных путей кошек, что вызывает бронхит и образование слизи. Это может привести к кашлю, а иногда и к обструкции дыхательных путей.
Некоторые аллергены, которые считаются триггерами астмы у кошек, включают:
- Табачный дым
- Аэрозоли
- Бытовые чистящие средства
- Цветочная пыльца
- Пылевые клещи
- Форма
- Плесень
- Дым от камина
- Свеча дым
- Определенные продукты
Другие состояния могут способствовать развитию симптомов астмы у кошек, в том числе:
- Паразиты
- Экстремальный стресс
- Сердечные заболевания
- Пневмония
- Ожирение
Есть ли у некоторых кошек более высокая вероятность астмы? У любой кошки может развиться астма. Генетика также может сыграть свою роль, но пока недостаточно исследований, чтобы быть уверенным.
Некоторые исследования показывают, что астма чаще встречается у сиамских кошек. Но мы не знаем наверняка, есть ли у некоторых пород кошек более высокая вероятность астмы.
Кошки, которые проводят часть или все свое время на открытом воздухе, чаще, чем домашние кошки, заболевают астмой. Поскольку они находятся снаружи, они подвергаются воздействию потенциальных аллергенов.
Что такое бронхиальная астма?
Этот термин переводится с древнегреческого как «тяжелое дыхание», «одышка». Под ним подразумевается инфекционно-аллергическое поражение дыхательных путей, сопровождающееся периодическими приступами одышки (бронхоспазмами), которые появляются в результате резкого сужения просвета бронхов из-за воспалительного отека, спазма мышц и выделения вязкой мокроты.

Это явление обусловлено специфическими иммунологическими (сенсибилизация и аллергическая реакция) или неспецифическими механизмами и сопровождается типичными симптомами (свистящим и хрипящим дыханием, приступами удушья, чувством стеснения в груди, кашлем). Бронхиальная обструкция частично или полностью обратима. Ее обратимость происходит спонтанно или в результате лечения.
Эта болезнь не эпизодическая, а хроническая, протекающая и в бессимптомные периоды. Она достаточно часто встречается в ветеринарной практике. Астматические явления наблюдаются у животных-астматиков сезонно, преимущественно весной и осенью, реже зимой, летом – как исключение.
Лечение и купирование приступов астмы
Симптомы и лечение астмы у кота зависят от типа и тяжести заболевания.
Лечение предполагает медикаментозный вариант применения таблеток и препаратов. Оперативное вмешательство в данном случае не применимо.
Основы лечения астмы у кошек:
схема лечения и прописываемые лекарства зависят от стадии заболевания и симптоматики;
лечение носит комплексный характер;
основой терапии являются расширяющие препараты в форме аэрозоля и имеющие предназначение купировать приступ;
возможно применение гормональных препаратов для лечения воспалительных процессов в дыхательных путях;
иногда назначаются препараты-антибиотики;
важно применение витаминных комплексов для поддержания иммунитета.
Возможные варианты гормональных препаратов, предназначенные для того, чтобы лечить больное животное:
- таблетки;
- инъекции;
- аэрозоль.
Важно! Возможно использование всех трех видов лекарств одновременно по рекомендации врача. Все зависит от стадии и тяжести заболевания
В таблице ниже отражены преимущества и недостатки применения разных форм лечения:
| Форма | Преимущества | Недостатки |
|---|---|---|
| Таблетки | Проще применять в домашних условиях. Терапевтический эффект продолжителен. | Терапевтический эффект только через час. |
| Инъекции | Быстро попадают в организм и мгновенно действуют. Можно поставить сразу же. | Сложно применять в домашних условиях. |
| Аэрозоли | Удобны в применении. Местное действие, то есть не задевает другие органы. | Медленный накопительный эффект. Действие проявляется через две-три недели. |

Лечение астмы у кошек должно проводиться в условиях клиники
Диагностика астмы у кошек
Если животное самостоятельно оправилось от приступа, запланировать визит к врачу лучше в тот же день. Подробно расскажите специалисту, как проходил приступ (длительность, интенсивность, поведение животного до и после). Выслушав жалобы, ветеринарный врач назначит ряд исследований, в которые входит:
- Анализ образца крови, в том числе, выявляющий наличие аллергенов в организме.
- Рентген грудной клетки, помогающий не только диагностировать астму (увеличение и утолщение стенок бронхов, диафрагмальное растяжение), но и исключить бронхит, образования в лёгких и прочие недуги системы дыхания.
- Тесты на заболевания вирусной и инфекционной этиологии.
Также ветеринар осмотрит и ощупает животное, послушает лёгкие кошки стетоскопом. В некоторых случаях будут назначены индивидуальные анализы и обследования — это зависит от общей картины состояния животного.
Диагноз не ставят без определённых диагностических исследований




































