Симптомы цирроза печени
Цирроз печени развивается очень медленно и в первое время может протекать без симптомов. На более поздних стадиях появляются следующие симптомы:- Усталость, слабость, снижение работоспособности, сонливость- Потеря аппетита, снижение массы тела- Желтуха – пожелтение кожи тела, склер глаз, слизистой оболочки рта- Покраснение ладоней – ладонные поверхности кистей имеют розовый цвет вследствие повышенного притока крови к коже этой области- Зуд кожи – часто невыносим, усиливается по ночам- Сосудистые звёздочки – на коже появляются участки просвечивающихся сосудов в виде звёзд или лапок паука, которые бледнеют при нажатии и вновь наполняются кровью после окончания давления- Склонность к кровотечениям – при травмах кровь долго не останавливается, часто появляются синякиОдним из главных признаков цирроза печени является синдром портальной гипертензии. Синдром портальной гипертензии возникает из-за повышения давления в воротной вене (вена, приносящая кровь от органов брюшной полости к печени). В результате повышенного давления в воротной вене, кровь не может оттекать от органов брюшной полости и возникает застой крови в этих органах. Основными симптомами синдрома портальной гипертензии являются:- Асцит – увеличение в объёме живота. Асцит возникает как следствие скопления в брюшной полости жидкости.- Появление геморроя – расширение и выпячивание геморроидальных узлов из анального отверстия.- Отёки на ногах- Варикозное расширение вен на ногах- Расширение вен на передней и боковых поверхностях живота- Дискомфорт в левом подреберье – возникает из-за увеличения в объёме селезёнки.Все эти симптомы, как правило, развиваются постепенно и незаметны для человека, длительное время болеющего хроническими заболеваниями печени или других органов.
Осложнения цирроза печени• Печёночная энцефалопатия – обратимое повреждение головного мозга токсическими продуктами, которые не обезвреживаются печенью в результате её повреждения. Для неё характерны различные нарушения сознания, интеллекта, поведения, нервно-мышечные расстройства. Она бывает скрытой (незаметной для пациента и окружающих), и тогда её может выявить лишь врач при проведении специальных тестов. Крайняя степень печеночной энцефалопатии – кома (бессознательное состояние), в её основе лежит острая или хроническая печёночная недостаточность.
• Кровотечение из желудочно-кишечного тракта вследствие портальной гипертензии – проявляется рвотой, которая выглядит как “кофейная гуща” и стулом, который выглядит как “малиновое желе”; появляется или резко усиливается слабость вплоть до потери сознания. Возможно кровотечение из геморроидальных вен прямой кишки.
• Инфекционные осложнения цирроза печени. Чаще всего у таких пациентов встречаются инфекции дыхательных путей и мочевой системы. Иногда бывает так, что температура тела может подняться без определённой причины. Это связано с повышенной всасываемостью из кишечника “вредных” (токсических) микроорганизмов. Такое состояние называется эндотоксемией.
Цирроз печени развивается медленно и протекает в несколько стадий:Стадия компенсации – симптомы цирроза печени отсутствуют, т.к. сохранившиеся клетки печени работают в усиленном режиме.Стадия субкомпенсации – появляются первые признаки цирроза печени (слабость, похудание, дискомфорт в правом подреберье, снижение аппетита). Ресурсы оставшихся клеток печени иссякают, функции печени выполняются не в полном объёме.Стадия декомпенсации – проявляется в виде печёночной недостаточности (синдром портальной гипертензии, желтуха, печёночная кома). Декомпенсированный цирроз печени крайне опасен для жизни и нуждается в немедленном лечении под наблюдением врачей.
Трансъюгулярный внутрипеченочный портосистемный шунт (TIPS)
Это лечение второй линии при рефрактерном асците. TIPS рекомендуется, когда функция печени все еще сохраняется (общий билирубин >50 мкмоль/л, Na +> 130 ммоль/л, ДЕТЯМ > 12 баллов, MELD> 18 баллов), пациентам в возрасте до 70 лет, без печеночной энцефалопатии, гепатоцеллюлярной карциномы или сердечно-легочных заболеваний.
Внутрипеченочный портосистемный шунт
TIPS разгружает портальную систему, соединяя внутрипеченочную портальную ветвь с печеночной веной. Эффект наступает через 4-6 недель. TIPS помогает контролировать накопление асцита более эффективно, чем парацентез, снижает количество рецидивов, улучшает состояние питания и выживаемость, но способствует развитию печеночной энцефалопатии в 30-50% случаев. Хороший эффект достигается примерно у 70% пациентов.
Для предотвращения дисфункции TIPS (в основном из-за тромбоза) и снижения риска печеночной энцефалопатии рекомендуется использование стентов с покрытием из политетрафторэтилена (ПТФЭ) небольшого диаметра (8 мм). После TIPS можно продолжать диуретики и ограничение соли. TIPS выполняется только очень тщательно отобранным пациентам.
Критерии исключения для TIPS:
- Возраст старше 70 лет, печеночная энцефалопатия II-III степени.
- Гипербилирубинемия >51,3-85,5 микромоль/литр (3-5 мг/дл).
- Тяжелое внепеченочное заболевание.
- Гепатоцеллюлярная карцинома.
- Тромбоцитопения.
- Кровотечение из варикозно расширенных вен в течение последних 15 дней.
- Легочная гипертензия.
- Бактериальная инфекция.
- Тяжелая алкогольная инфекция гепатит.
- Тромбоз воротной или печеночной вены.
- ADR (креатинин> 150,8 мкмоль / л).
- Обструкция желчных путей.
- Асцит, сохраняющийся после парацентеза в большом объеме, необходимость в парацентезе> 1 мт / нед.
- Тяжелая печеночная недостаточность.
- Сердечная недостаточность (тяжелая систолическая или диастолическая дисфункция).
- Тяжелые сопутствующие заболевания, неизлечимая онкология, выживаемость менее 1 года.
Гипоальбуминемия
Альбумины являются основой для обеспечения коллоидного осмотического давления в плазме, поэтому очень низкая концентрация альбуминов сыворотки крови приводит к появлению чистого транссудата в межклеточном пространстве. Этот процесс может начаться в любой момент после падения концентрации ниже 15 г/л. Жидкость может накапливаться в плевральной полости (гидроторакс), в тканях (отек) и в брюшной полости (асцит).
Чистый транссудат может образовываться в одной или нескольких указанных областях, но точную локализацию предугадать невозможно.
Снижение концентрации альбуминов в сыворотке крови, достаточное для начала образования асцита, наиболее вероятно связано с потерей белка, либо вследствие экскреции белка с фекалиями через слизистую оболочку желудочно-кишечного тракта (ЖКТ) (энтеропатия с потерей белка, ЭПБ), либо через гломерулы с мочой (нефропатия с потерей белка, НПБ). Недостаточный синтез альбуминов в печени также может привести к асциту. Иногда это наблюдается при врожденных портосистемных шунтах, но чаще хронические заболевания печени приводят к асциту на фоне сочетания снижения концентрации альбуминов сыворотки крови и развития портальной гипертензии.
Портальная гипертензия как причина скопления жидкости в брюшной полости у собак и кошек Повышение венозного гидростатического давления в портальной сосудистой сети приводит к появлению асцита; эти нарушения часто сопровождаются отеком стенки толстого кишечника и диареей. Область возникновения портальной гипертензии определяет природу асцитической жидкости, поскольку проницаемость кровеносных сосудов различна.
Подпеченочная обструкция портального кровотока (участка сосуда перед его впадением в печень) приводит к появлению жидкости, бедной белком (транссудат), поскольку стенка капилляров, идущих от внутренних органов, сравнительно непроницаема для белков.
Наоборот, надпеченочная обструкция портального кровотока является причиной скопления жидкости, богатой белком, поскольку синусоиды и лимфатические протоки печени выстланы фенестрированным эндотелием и проницаемы для альбуминов. Накапливающаяся жидкость обычно классифицируется как модифицированный транссудат из-за присутствия в нем белка, хотя может быть установлено, что это на самом деле транссудат с высоким содержанием белка, не модифицированный после образования.
Содержащийся в нем белок указывает на наличие высокой проницаемости сосудистой стенки.
Следовательно, в случае внутрипеченочной обструкции портального кровотока содержание белка в асцитической жидкости будет варьироваться в зависимости от локализации обструкции внутри печени. Перипортальный фиброз, вероятнее всего, станет причиной накопления жидкости с низким содержанием белка, в то время как фиброз центральной вены или обструкция печеночной вены приведет к накоплению жидкости, более насыщенной белком.
Способы диагностики
Так как причинами асцита у кошек являются многочисленные патологии органов и систем, для избавления от его основных симптомов требуется лечение основного заболевания. Чтобы начать «правильные» процедуры, требуется качественная диагностика функций организма животного.
При первичном посещении ветклиники, специалисты проводят осмотр животного, в ходе которого оценивают его общее состояние, выявляют характерные изменения. Хозяин кота обязан сообщить врачу о его хронических заболеваниях, их обострениях.
Для подтверждения основного диагноза коту назначаются и проводятся:
- клинические анализы мочи (оценивается содержание в ней белка), крови (общий, биохимический);
- отслеживается температура тела;
- снимается и анализируется электрокардиограмма животного;
- рентгенография грудной области, брюшины;
- исследование жидкости из отечных тканей;
- эндоскопическое исследование желудка;
- ультразвуковое исследование органов брюшной полости.

shutterstock
Если у животного развивается опухолевый процесс, проводится биопсия измененных тканей.
Только после того, когда достоверно определена причина развития водянки живота у кошек, с хозяином животного обсуждается последующая терапия, её особенности и предполагаемая эффективность, затем питомца начинают лечить.
Диагностика асцита
Обнаружение асцита не представляет трудностей
Однако важно установить причину его возникновения, так как он является лишь следствием патологического состояния организма
Проводится комплексное исследование животного: собираются общие данные о животном и конкретные жалобы владельцев на изменение общего состояния их питомца.
Необходимо сдать анализы крови: биохимический для оценки функции внутренних органов и подтверждения низкого содержания белка в сыворотке крови и общий клинический анализ, по которому определяют наличие и степень анемии, воспаления и т.д.
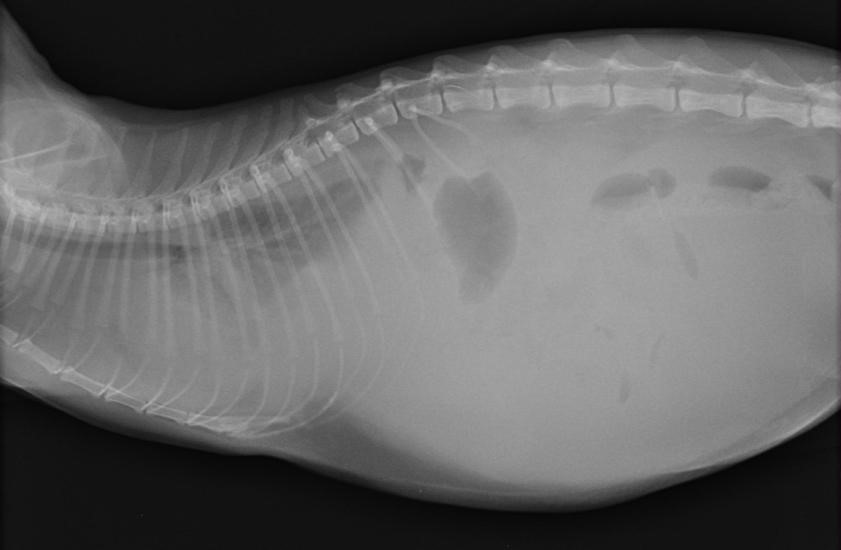
По анализу мочи судят о фильтрационной способности почек, особое внимание обращают на количество белка в моче (оно повышается). Для визуализации жидкости в брюшной полости используют такие методы диагностики, как рентгенография и ультразвуковое исследование
Для визуализации жидкости в брюшной полости используют такие методы диагностики, как рентгенография и ультразвуковое исследование.
На рентгенологическом снимке при небольшом количестве асцитной жидкости оценивают размеры печени, почек, лёгких, сердца, обращают внимание на наличие или отсутствие новообразований. Если же количество жидкости велико, то рисунок органов брюшной полости становится нечётким
Обзорное ультразвуковое исследование позволяет оценить количество жидкости, а поскольку она является анэхогенной средой (хорошо проводящей через себя волны датчика), то органы лучше визуализируются.
Эхокардиографическое исследование сердца, в том числе допплерография, позволяет оценить наличие и степень кардиологических отклонений.
Определить вид жидкости можно только путём абдоминоцентеза, то есть прокола брюшной стенки и взятия материала для лабораторного исследования.
Встречаются следующие виды асцитной жидкости:
- транссудат – жидкость с низким содержанием белка и малым количеством клеток
- экссудат – жидкость с высоким содержанием белка и большим количеством клеток
- кровь, вышедшая за пределы сосудов при их разрыве (травма, хрупкость сосудов и др.)
- содержимое мочевого или желчного пузырей при их разрыве
- содержимое новообразований в случае их вскрытия
- лимфа при поражении лимфатической системы
Примечание! Кроме того, различают стерильную (неинфекционную) и инфекционную жидкость, что важно учитывать при проведении терапии.
Профилактика заболеваниz
Лучший метод борьбы с любым заболеванием — это его профилактика. Профилактические меры против водянки доступны любому котоводу, главное — не забывать об этом:
- Соблюдение режима питания (при составлении рациона можно обратиться к ветеринару).
- Прогулки на свежем воздухе.
- Витаминизация (можно подобрать хорошие витамины при помощи ветеринара).
- Избежание стрессовых ситуаций (у кошек в состоянии стресса снижается иммунитет).
- Профилактические прививки, а также обработка от глистов, блох и прочих паразитов.
- Профилактические осмотры у ветеринара.
Асцит (брюшная водянка) — это скопление свободной жидкости в брюшной полости, но нельзя назвать это явление самостоятельной болезнью. Обычно асцит возникает на фоне другого заболевания как симптом. Это заболевание и есть причина водянки. Поэтому лечение должно быть комплексным. Ветеринары назначают группы препаратов, направленных на борьбу с симптомами, а основное заболевание лечится отдельно.
Видео
Источники
- http://kot-i-koshka.ru/ascit-u-koshek/https://kotmurka.ru/bolezni/astsit-koshek.htmlhttp://fb.ru/article/263632/astsit-u-koshek-opisanie-vozmojnyie-prichinyi-i-osobennosti-lecheniya
Диагностика и лечение
Лечебные методики, медикаментозную терапию назначит ветеринарный специалист после проведения комплексного осмотра четырехпалого пациента. Ветврач учитывает общие симптомы, данные анамнеза. Проводят рентгенографию, УЗИ брюшины. В обязательном порядке берут для лабораторных, микроскопических исследований транссудат из брюшины (пункцию). При исследованиях анализа мочи учитывают цвет, консистенцию, концентрацию белка.

Снимок узи брюшины, диагноз – асцит
Больным кошкам, котам назначают симптоматическое лечение, направленное на нормализацию физиологического общего состояния животных, устранение первопричины, которая спровоцировала развитие данной патологии. Котикам прописывают мочегонные фармакологические лекарственные препараты, которые способствуют выведению лишней жидкости из организма, устраняют отеки: Триампур, Дихлортиазид, Верошпирон, настойку плодов можжевельника, Этамид, Фуросемид.
Для поддержания сердечной деятельности пушистым пациентам ветеринары назначают кардиотонические лекарственные препараты (Кардиовален, Дигипил, Олиторизид, настойку ландыша).

Мочегонные препараты для лечения водянки брюшины
Для нормализации работы почек, печени, других внутренних органов назначают гепатопротекторы, ферментные препараты, витамины группы В (В1, В3, В6, В9, В12).
Ветеринар проводит корректировку рациона, подбирает лечебную диету. На время лечения необходимо уменьшить поступление жидкости в организм, снизить поступление солей натрия. Пища должна быть легкоусвояемой, питательной, содержать достаточное количество белков
Очень важно при диагностировании брюшной водянки у кошек, владельцы пушистых мурлык должны придерживаться распорядка дня, соблюдать все рекомендации лечащего ветврача
Если объем патологического транссудата в полости брюшины не уменьшается, продолжает накапливаться, проводят парацентез – откачку серозной жидкости из живота шприцом.
При своевременно проведенном адекватном, эффективном лечении асцита у кошек – прогноз благоприятный
При этом очень важно не затягивать визит в ветлечебницу, и тем более, чтобы не навредить любимцу, не стоит заниматься самолечением котика
Приглашаем вступить в наш и группу во Вконтакте или Одноклассниках, где публикуются новые статьи для владельцев домашних животных.
Как лечить асцит у кошек
Лечение проводят медикаментозными препаратами, народными средствами, диетой. Скопившуюся жидкость ветеринар удаляет через прокол брюшины шприцем в стерильных условиях.
Лечение асцита проводят медикаментозными препаратами, народными средствами, диетой
Кошка находится под наркозом. Процедура откачивания проводится под контролем УЗИ. Назначается способ лечения, когда требуется срочно снять давление с внутренних органов. После удаления скопления жидкости животное наблюдают с целью оценки скорости её повторного накопления.
Важно! Хозяевам недопустимо проводить откачивание жидкости из брюшной полости кошки самостоятельно. Процедура проводится исключительно ветеринарным врачом. Выраженные нарушения дыхания требуют кислородотерапии
Она проводится в условиях ветеринарной клиники до момента улучшения состояния кошки. Тяжёлое состояние животного, выраженная дыхательная и сердечная недостаточность в большинстве случаев заканчиваются летально
Выраженные нарушения дыхания требуют кислородотерапии. Она проводится в условиях ветеринарной клиники до момента улучшения состояния кошки. Тяжёлое состояние животного, выраженная дыхательная и сердечная недостаточность в большинстве случаев заканчиваются летально.
Асцит по причине внутреннего кровотечения часто требует переливания донорской крови. Услуга предоставляется не во всех ветеринарных клиниках. Развивается состояние преимущественно на фоне травмы живота или онкологического процесса.
Медикаментозная терапия
Лечение медикаментозными препаратами проводится для общего укрепления организма животного и устранения основного заболевания.
Лекарства, необходимые для устранения патологии, приведшей к скоплению жидкости, подбираются каждому животному индивидуально в зависимости от поставленного диагноза.

При асците живот у кошки увеличивается в размерах
Дополнительно животному с целью облегчения состояния показано давать следующие средства:
- мочегонные препараты – ускоряют процесс выведения из организма кошки жидкости, предупреждая её скопление;
- витаминно-минеральные комплексы – показаны для улучшения работы иммунной системы и обменных процессов;
- антибиотики – назначаются в случаях, когда основное заболевание бактериальной природы;
- хлористый кальций – средство дается, когда необходимо укрепление сосудистой стенки;
- препараты, улучшающие состояние почек.
Обезболивающие средства прописываются в случае выраженного болевого синдрома у животного на фоне воспаления или онкологии. Симптоматически назначают жаропонижающие и успокоительные.
Самостоятельно хозяин не должен назначать животному лекарства и изменять предписанные ветеринаром дозировки. Это может привести к ухудшению состояния питомца и его гибели.
Народные средства
Средства народной терапии назначаются в качестве дополнительных. Использовать их допускается, только если на это даст согласие ветеринарный врач. Пытаться избавить питомца от нарушения своими силами недопустимо.
Домашняя терапия также допускается, если нет возможности показать животное специалисту:
- Чистый березовый настой. Листья березы (сухие) завариваются кипятком в пропорции 1:10. Настой выдерживают 6 часов и отцеживают. Животное поится лекарством 2 раза в день.
- Березовый настой + сода. Готовится аналогично первому рецепту, затем в него добавляется 2 г пищевой соды на стакан. Применение аналогично чистому препарату.
Иные средства народной медицины использовать при нарушении не следует. Они могут значительно ухудшить состояние животного, так как не каждый медикаментозный препарат совмещается с ними и не все составы разрешены к применению при различных патологиях.
Лечебное питание, диета
Диета сводится к контролю количества воды, которая поступает в организм питомца. Требуется пища, богатая белками, – это мясо, рыба, кисломолочные продукты. Количество соли сводится к минимуму. Рацион составляется сбалансированный, чтобы с ним поступало достаточно витаминов, минералов, белка и углеводов.
Продукты дают только свежие. Сухие корма полностью исключаются из рациона питомца, так как они нагружают почки, ухудшая их работу. В ветеринарных аптеках продают лечебный корм, который содержит всё необходимое.
Натуральные продукты следует покупать в проверенном месте. Сомнительные мясо и рыба легко приводят к отравлению питомца и резкому ухудшению его состояния, вплоть до летального исхода.
Лечение заболевания
Поскольку вовремя не вылеченный асцит представляет прямую угрозу здоровью и жизни четвероногого пациента, запускать болезнь и надеяться на самоизлечение нельзя. Чем раньше выявлено заболевание и назначена терапия, тем больше шансов на успех. Ветеринар назначает комплексное лечение: медикаментозные и гомеопатические препараты и удаление скопившегося транссудата. Самостоятельное лечение асцита у котенка или взрослой кошки опасно, поскольку неверные действия хозяина и неправильное определение дозировки того или иного препарата могут стоить питомцу жизни.
Ветпрепараты и гомеопатические средства
В зависимости от стадии заболевания, причины возникновения асцита и общего состояния организма ветеринар прописывает следующие лекарственные препараты:
- Кардиовален, Дигоксин, Коргликон, Олиторизид – сосудоукрепляющие средства, выпускаются в виде таблеток, внутримышечных инъекций или капель;
- Цефалексин, Лизолин – антибиотики широкого спектра, назначаются пациенту в случае бактериальной инфекции;
- Фуросемид, Темисал, Новурит – диуретики, применяются в запущенных случаях для выведения продуктов жизнедеятельности из организма;
- инфузии Альбумина с целью восполнения потерь белка;
- препараты интерферона для укрепления иммунитета;
- витамин К внутримышечно.
Наряду с медикаментами пациенту назначаются гомеопатические средства, например Траумель и Энгистол в виде инъекций. Лечить кота гомеопатическими препаратами можно только по рекомендации ветеринара.
Народные способы терапии
Народные рецепты приготовления средств для лечения асцита можно использовать, если отвезти животное в ветклинику в ближайшее время нет возможности или же по согласованию со специалистом. В одних случаях фитотерапия может принести лишь временное облегчение, в других способствует выздоровлению, а в третьих может ухудшить состояние больного.
Для лечения асцита используют отвары и настои следующих трав:
- княжик сибирский;
- березовых почек (с пищевой содой);
- корень аира;
- копытень европейский.
Диета и принципы питания при асците
Помочь питомцу справиться с патологией может диетическое питание на основе нежирного мяса, витаминов и микроэлементов
Ветеринары обращают внимание владельцев больных питомцев на линейку кормов «Hill’s Prescription Diet» с повышенным содержанием белка. В этой серии есть корма для животных, страдающих сердечной недостаточностью, заболеваниями печени и почек
Хорошо отзываются специалисты о продукции марки «Purina», а именно линейках лечебных кормов для кошек разных пород и возрастов.
Если питомца кормят натуральной пищей, до полного выздоровления ему назначается лечебное питание:
- нежирное мясо (курица, индейка, говядина);
- морская рыба – не чаще 1 раза в 3–4 дня;
- кисломолочные продукты – ряженка, творог, натуральный йогурт;
- крупы (гречка, рис);
- немного овощей и фруктов.
Более 50% рациона питомца в период лечения должна составлять белковая пища. Продукты с содержанием соли необходимо полностью исключить. Острая, жареная, копченая еда для животных, страдающих брюшной водянкой, под строгим запретом (как и для совершенно здоровых). На время лечения и реабилитации надо уменьшить объем поступающей в организм кошки жидкости, но полностью отказываться от воды не стоит.
Откачивание жидкости
Когда лечение не приносит результата, транссудат из абдоминальной полости удаляют механическим путем – с помощью откачивания. Манипуляцию выполняет ветеринар в условиях клиники, пациента перед пункцией вводят в общий наркоз.
Пункция – хирургическое вмешательство, которое применяется лишь в тяжелых случаях либо если в забрюшинном пространстве скопилось много транссудата. На ранних стадиях брюшную водянку удается вылечить консервативными методами.
Можно ли вылечить заболевание?
Асцит излечим
Однако очень важно своевременно выявить первые симптомы патологии, незамедлительно обратиться к специалисту и точно диагностировать причину заболевания. Главной особенностью асцита у кошек является его быстрое развитие: объем жидкости может увеличиваться до двух литров жидкости за одни сутки
Для любого живого организма наличие в нем внутрибрюшной жидкости — это норма, но при водянке ее накапливается слишком много. Такое состояние влечет за собой лишние проблемы, связанные с сильным сдавливанием внутренних органов и нарушением их деятельности.
Таким образом, быстрое увеличение брюшной полости кота является свидетельством развивающегося асцита.
Симптомы и методы лечения липидоза печени у кошек
Диагностика асцита у кота
При пальпации брюшной полости можно обнаружить, что ее содержимое перемещается. Если хозяин приподнимет кота за верхнюю часть туловища, то живот сместится вниз и будет напоминать грушу. Единственный «приятный» момент, что асцит кошек — процесс безболезненный. Но диагноз, который поставит сам хозяин, может быть ложным, так как большинство вышеперечисленных симптомов сходны с проявлениями перитонита.
Правильную диагностику сможет провести лишь специалист. Для этого он не только прощупает брюшину, но также измерит температуру тела и сделает прокол. Жидкость возьмут для лабораторного исследования, в ходе которого будет установлен химический состав транссудата и поставлен точный диагноз.
Неверно думать, что асцит у кошек (фото) может со временем пройти. Хронические заболевания, которые привели к брюшной водянке, возможно, длились много месяцев и связаны с поражениями внутренних органов. Вот почему приступить к лечению нужно как можно быстрее.
Причины брюшной водянки:
- Заболевания печени (гепатит, цирроз).
- Болезни почек.
- Патологии сердца.
- Новообразования (доброкачественные и злокачественные опухоли).
- Нарушения обмена веществ.
- Ожирение.
- Непроходимость кишечника.
Чем чревато для кошек заболевание водянкой при отсутствии своевременного лечения? Во-первых, сердечно-сосудистой недостаточностью. «Растущий» живот давит на грудную клетку и легкие, нарушается кровообращение, и животное может погибнуть от остановки сердца. Асцит обычно развивается у домашних кошек в пожилом возрасте, так как они двигаются меньше, чем в природных условиях. Следовательно, они более подвержены гиподинамии и всем вытекающим последствиям в виде нарушений работы внутренних органов. Во-вторых, накопленная в брюшине жидкость может быть инфицирована, и тогда шансы спасти любимого питомца резко сокращаются.
Клиническая картина
Начальная стадия патологического состояния протекает фактически бессимптомно, так как накопление жидкости в брюшной полости — постепенный процесс. Характерные признаки можно будет заметить только тогда, когда объем жидкости превысит нормальные показатели. Заподозрить асцит можно по заметно вздувшемуся животу и вытягиванию боков при активности животного.
Симптомы:
- брюшная полость вздутая, твердая на ощупь;
- флюктуация — при надавливании на живот можно почувствовать, как жидкость внутри него колышется;
- живот приобретает форму груши, когда кот встает на задние лапы, и надувается и округляется при принятии положения сидя;
- тусклость и взъерошенность шерстяного покрова;
- желтоватый оттенок слизистых;
- лапы, уши, промежность, грудина отекают;
- рвота, тошнота;
- отсутствие аппетита;
- запор или диарея;
- нарушение дыхание, охриплость, одышка;
- слабость, апатия.
При этом очень важно отличить асцит от обычного переедания
Что представляет собой асцит у кошек
Асцит (водянка живота или брюшины) — это скопление большого количества экссудата в брюшной полости животного. В обычных условиях внутрибрюшная жидкость присутствует в гораздо меньшем объёме: она обеспечивает нормальную жизнедеятельность органов и свободное движение петель кишечника, удаляет болезнетворные микроорганизмы и выводит токсины. Всасывание этого экссудата осуществляется самой брюшиной. При развитии острых или хронических патологий и под влиянием некоторых вредных факторов нарушается секреторная и барьерная функция брюшины, что приводит к формированию водянки.

Брюшная полость кошки содержит множество органов: желудок, кишечник, печень, селезёнку и почки
Причины и условия развития асцита:
- неправильно организованное питание животного (с дефицитом белков и полезных микроэлементов);
- длительное голодание;
- наличие заболеваний или травм внутренних органов;
- бактериальные или паразитарные инфекционные патологии.
Таблица: болезни, при которых у кошек появляется асцит
| Название группы заболеваний | Патогенетический механизм | Какие патологии входят | Другие симптоматические проявления | Время появления водянки брюшной полости |
| Травмы органов брюшной полости | Повреждение внутренних органов, брюшины и сосудов, сопровождающееся нарушением их целостности |
|
| В течение нескольких часов после травмы |
| Злокачественные и доброкачественные новообразования | Клетки опухоли поражают брюшину, что сопровождается увеличением объёма жидкости и развитием асцита |
|
| На протяжении нескольких недель |
| Поражение сердечно-сосудистой системы | Сердцу не хватает силы для перемещения крови по сосудам, в результате чего нарастает давление в артериях и венах брюшной полости: их стенки начинают пропускать жидкость |
|
| В течение месяца |
| Перитонит | Воспаление листков брюшины, сопровождающееся образованием избыточного количества жидкости |
|
| Около 2-х часов от начала воспалительного процесса |
| Заболевания печени и почек | Нарушение способности печени и почек к выведению воды и токсинов, а также сдавление венозных сосудов становится причиной развития асцита |
|
| На протяжении нескольких недель |
| Инфекции | Токсины бактерий, вирусов и гельминтов вызывают раздражение рецепторов брюшной полости, что сопровождается выработкой экссудата |
|
|




































