Что делать, если собаку укусил клещ
Конечно, всех хозяев интересует вопрос, а можно ли самостоятельно удалить паразита? Ответ отрицательный, и даже не стоит пытаться это сделать. Клещи проникают в волосяные фолликулы и железы, а их на теле у животного великое множество.
Каждый владелец собаки должен знать, что делать, и как себя правильно вести в этом случае:
- Во-первых, не стоит пытаться самостоятельно лечить питомца, так как даже опытному ветеринару не так легко диагностировать подкожного клеща. Поэтому, как только были обнаружены очаги поражения, необходимо сразу доставить животное в клинику.
- Во-вторых, необходимо облегчить специалисту задачу, подготовив подробный анамнез – пол, возраст питомца, от чего и когда прививался, какие недуги перенес, есть ли аллергические реакции.
- В-третьих, перед посещением клиники не стоит применять какие-либо наружные средства, пытаясь устранить симптомы болезни – зуд, боль и др. Так как врач, прежде всего, берет анализ – соскоб с пораженных участков.
Пусть владельцев это не пугает, процедура не доставит неприятных ощущений питомцу. Ветеринар зажимает участок кожи между большим и указательным пальцем, надавливает, чтобы извлечь паразита из фолликула волоса. После полученный материал тщательно изучается.
Нередко клещи находятся и у здоровых собак. Если анализ соскоба выявил одного-двух паразитов, анализ забирается повторно. Для выявления сопутствующих заболеваний у животного берутся на анализ и другие биоматериалы – кровь и моча для общего анализа, кал. Обязательно назначается ультразвуковое исследование.
Полезные советы
Главное правило эффективного лечения демодекоза — своевременное обращение к специалисту, строгое соблюдение предписаний врача.
Облегчают состояние собаки и ускоряют процесс выздоровления:
- тщательное соблюдение гигиены собаки, инструментария, лежанки, собачьей посуды;
- использование гипоаллергенных кормов для больных и ослабленных собак (Акана, Эукануба лечебный, Дерматозис, Канин Ультра, Канин противоаллергенный, 1st Choice), кормление натуральной пищей без соли;
- прием поливитаминов и микроэлементов (Пушновит, Гендевит).
Важно! Для проверки результативности терапии на 25, 30 и 45 день берут соскобы кожи и делают акарограмму
Коротко о главном
- Демодекоз собак — распространенное заболевание, вызываемое клещом Demodex canis, которые проникают в волосянной фолликул и разрушают его. Болезнь характеризуется сильными поражениями кожи, осложняется другими дерматитами, приводит к истощению собаки и даже к летальному исходу.
- Заражаются собаки от больных особей, чаще всего в молодом возрасте. Есть предположение, что демодексы в норме обитают практически на всех собаках, но никак не проявляют себя до тех пор, пока иммунитет животного в норме.
- Существуют следующие формы заболевания: ювенильный демодекоз, д. взрослых животных, локализованный, генерализованный, чешуйчатый, пустулезный и смешанный.
- Лечение должно быть назначено исключительно врачом, так как специфическая терапия токсична для собак и требуется четкий расчет дозы для каждого отдельного случая.
Диагностика
Лечение не проводится без диагностики. Для этого животное осматривают и берут для анализа глубокий соскоб с пораженного участка кожи либо содержимое гнойника. Иногда проводится трихоскопия (исследование волоса). У шарпеев и некоторых других пород проводят биопсию для гистологического исследования. Впоследствии соскоб берется для контроля за ходом лечения, вплоть до выздоровления.
Если диагностирован демодекоз у взрослой собаки, проводится полное обследование на предмет выявления других проблем со здоровьем, которые могли спровоцировать размножение клещей. Тогда назначается комплексное лечение.
Для постановки правильной схемы лечения проводится дифференциация заболеваний с похожими симптомами. К ним относятся: экзема, саркоптоз, грибковые инфекции, фурункулез, алопеции эндокринного характера и др.
Как проявляется демодекоз
Клинические проявления демодекоза возникают при массовом размножении клеща.
При этом симптомы зависят от формы заболевания:
- Локализованный проявляется в виде облысения некоторых участков тела. Кожа в зонах воспаления утолщается, сморщивается, покрывается чешуйками. По мере развития болезни на облысевших участках появляются высыпания розового цвета, наполненные гноем.
- При генерализованном демодекозе поражения кожи обширные. Воспаление проникает глубоко в кожу и затрагивает внутренние органы. Общая интоксикация организма проявляется в виде слабости, судорог, тремора конечностей. У собаки появляется тошнота, рвота, пена из пасти.
При отодемодекозе собака трясёт головой, трётся о различные предметы.
Фото. Демодекоз у собаки
Демодекоз у собаки на фото
Заболевание может протекать бессимптомно, без видимых изменений кожи. Наличие клещей в этом случае обнаруживается при обследовании собаки.
Что такое демодекоз?
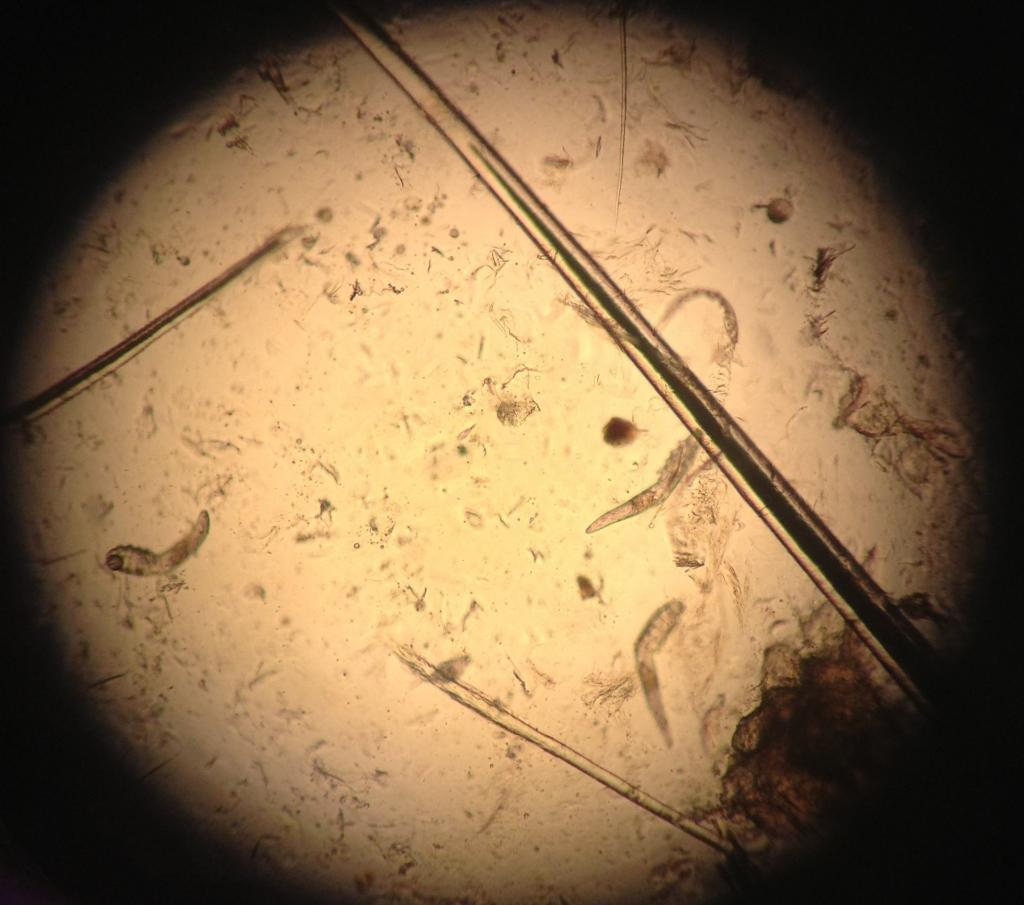
Демодекоз — это хроническое заболевание, которое вызывается микроскопическим подкожным клещом. Этот клещ обитает на теле всех собак и соседствует с другими представителями нормальной микрофлоры. На фото изображен крупным планом Demodex в поле микроскопа.

Подкожный клещ питается отмершими чешуйками, проходит циклы роста, размножается, не затрагивая здоровый эпидермис, поэтому его присутствие не мешает собаке. Количество паукообразных регулируется иммунной системой и естественными защитными механизмами.
Проблема возникает в случаях, если по каким-либо причинам нарушается природный баланс между невидимыми обитателями кожи собаки и ее организмом. Наступает момент, когда клещи плодятся слишком активно, и их количество превышает допустимый предел.
Они начинают поедать не только отмершие чешуйки эпидермиса, но и повреждают его поверхностные слои. Самки клещей прогрызают ходы, откладывая в них яйца, а продукты жизнедеятельности этих мелких паразитов приводят к раздражению. Организм собаки перестает справляться с бесконтрольным размножением клещей, и у животного начинается демодекоз.
Лечение

При местном демодекозе можно обойтись мазями. Наиболее популярен аверсектиновый гель 0,05%. Его наносят на пораженные участки несколько раз до полного исчезновения воспалений. Попутно животное купают с шампунем, содержащим бензоил-пероксид. Через месяц после начала лечения проводится контрольный осмотр у ветеринара и сдача анализа. Всю терапию пса лучше держать в доме, не давать общаться с другими животными, а выгуливать только немного и отдельно от людей и собак. Демодекоз у собак лечение в домашних условиях хорошо поддается на начальном этапе. При генерализованной форме ветеринар подберет более сильное средство, и назначит индивидуальную схему лечения.
Амитраз
Рекомендуется использовать 0,025% водный раствор. Его наносят на пораженные и здоровые участки кожи. Перед этим животное коротко стригут, удаляют струпья. Непосредственно перед самой процедурой песика купают с лечебным шампунем. Потом распределяют Амитраз по всей поверхности. Процедуру повторяют через 1-2 недели по рекомендации врача.
Адвокат
Пипетки Адвокат Байер требуют длительного применения. Чаще всего их наносят на холку животного раз в месяц, а курс терапии длится до 4 месяцев. При позднем обнаружении болезни ветеринар может по началу назначить еженедельное использование препарата. По данным исследований результат при такой схеме достигается быстрее.
Ивермектин
Этот препарат лучше всего работает в форме уколов. 1% раствор Ивермектина вызывает мгновенный паралич всех клещей вне зависимости от стадии их развития. Инъекцию вводят единоразово из расчета 0,1 мл на 5 кг веса. Если случай запущенный, то повторный прием возможен только через 7-10 дней. Назначает препарат строго ветеринар, так как для некоторых пород собак он токсичен и может вызвать тяжелые нарушения в работе печени и других органов.
Есть также таблетки Ивермектин, которые дают только взрослым собакам из расчета 200 мг на кг веса. Длительность терапии выбирается врачом в зависимости от степени поражения.
Прочие препараты
Чтобы вылечиться, животному придется пройти длительный курс терапии. Попутно хозяин должен не забывать о гигиене – обрабатывать пораженные участки раствором Хлоргексидина или мыть пса с прописанным врачом шампунем (Доктор, Фитоэлита и т.д.). Они будут убивать бактерии на поверхности, а также облегчат зуд.
Демодекоз у собак симптомы и лечение могут потребовать дополнительного использования мазей:
- Серная – работает не только против половозрелых особей, но и их личинок. Наносить мазь нужно дважды в сутки на повреждения и прилегающие зоны.
- Ветабиол – помогает избавиться от бактерий, обладает противовоспалительным и ранозаживляющим действием. Длительность терапии 14 дней, используют 2-3 раза в день на местах расчесов и струпьях.
- Ихтиоловая мазь поможет унять боль и зуд, снимает воспаление, плюс будет работать в качестве антисептика. Раны животного смазывают ею каждые 8-10 часов.
Помимо мазей хорошо себя зарекомендовали инъекции Аверсект К&С (0,2% или 0,5%). На 10 кг веса животного берут 0,4 мл 0,5% раствора, если песик крупный. Если же его вес даже не доходит отметки в 10 кг, то тогда выбирают дозировку 0,2% – 1 мл/кг веса.
Из таблеток неплохо себя зарекомендовал Мильбемицин. Он эффективен в борьбе с разными видами глистов, в том числе и с демодексным клещом. Еще один препарат – Бравекто. Таблетки выпускаются в пяти дозировках, выбор зависит от массы собаки, назначает только врач. Они работают быстро, и в течение суток все паразиты будут уничтожены. Если песик весит меньше 2 кг или это щенок, то давать таблетки противопоказано.
Их дают собаке разжевать до еды. Крошить или делить таблетку нельзя, так как в разных ее частях находятся разные компоненты
Внутри организма они должны работать одновременно и важно, чтобы любимец съел всю таблетку сразу
Способы лечения демодекоза у собак
Методика лечения заболевания зависит от его формы, точнее от масштабов поражения тела животного. Без постороннего вмешательства происходит излечение ювенильного демодекоза. По мере роста иммунитет щенков стабилизируется, и они самостоятельно справляются с клещом.
При демодекозе собаке показаны прием иммуномодуляторов и обработка кожи противопаразитарными препаратами
Развитие заболевание у взрослых собак связано со снижением защитных сил организма, поэтому в первую очередь необходимо пролечить её иммуностимулирующими препаратами (Иммунофан, Гемобаланс, Риботан, Фоспренил). Дополнительно необходимы мероприятия по уничтожению паразита, восстановлению кожного покрова, выведение из организма токсинов.
Локализованные формы демодекоза лечатся местными препаратами. Ветеринары советуют вымыть собаку шампунем с антибактериальными компонентами (Доктор, Фитоэлита), а затем нанести на кожу в участках воспаления нанести специальный лечебный лосьон или мазь (Ветабиол, Аверсектин). Эффективно также нанесение на холку потивопаразитарных капель: Адвокат, Дектомакс.
С целью предупреждения развития генерализованной формы проводится диагностика соскобов. Контрольные анализы сдаются каждую третью неделю, вплоть до полного излечения. При подозрении на прогресс количества клеща, начинают комплексную терапию.
Лечение генерализованной формы
Лечение демодекоза направлено на уничтожение клеща, укрепление иммунитета, восстановление кожи и выведение токсинов.
Развитие демодекоза у взрослых собак требует применения комплекса мер.
Уничтожение клеща. Назначается приём противопаразитарных препаратов внутрь и наружное применение мазей или растворов.
Восстановление иммунитета. Для восстановления защитных сил организма применяют витаминные комплексы:
- Ветэнзим – препарат на основе пивных дрожжей, содержит витамины группы В и Е.
- Мидивет – адаптоген, содержащий повышенные дозы аминокислот, жирных кислот, микро- и макроэлементов. Способствует выведению токсинов, стимулирует работу печени, активирует регенерационные процессы в коже, повышает иммунитет.
Восстановление кожи. Повреждённый эпидермис восстанавливают при помощи мазей Пантенол, Ихтиоловая, Левомеколь. При тяжёлых поражениях кожи внутрь назначаются препараты на основе АТФ, которые восстанавливают защитные силы организма и ускоряют заживление тканей.
Выведение токсинов. Размножение в организме собаки клеща приводит к отравлению токсинами различных органов. Больше всего страдают печень и почки. Назначаются Карсил, Гепатовет, укрепляющие клетки печени. Для лечения почек применяется препарат Здоровые почки.
Кто из собак находится в группе риска по демодекозу
Демедокоз чаще возникает в пик активности различных паразитов – весенне-летний период. В группе риска по развитию демодекоза, находятся:
- животные пожилого возраста;
- собаки, имеющие генетическую предрасположенность (например, шарпеи);
- питомцы, испытывающие сильный стресс (смена хозяина или же переезд на кардинально новое место);
- любимцы, получающие не качественный или несбалансированный корм;
- животные, имеющие проблемы в работе иммунной системы.
Подавляющее большинство клинических случаев зарегистрированного демодекоза, связано с нарушениями условий содержания животного. Сюда входит не только нарушение гигиенических норм, но и отсутствие своевременных противопаразитарных обработок, вакцинаций, нарушение питания и как следствие, снижение иммунитета, основной задачей которого и является приостановка роста и развития патогенов.
Специалисты отмечают, что в группе риска по заболеваемости демодекозом, находятся чистопородные питомцы. В их случае, количество заболевших составляет более 80%. Наиболее восприимчивыми породами собак к демодекозу, являются короткошерстные животные, а также те, которые имеют складки на коже – шарпеи, английские и французские бульдоги, мопсы, некоторые виды терьеров.
Пугающие недомогания у пса…
Генерализованная форма недуга весьма опасна для питомца. Даже если собака выглядит бодрой и хорошо ест, вам не следует надеяться, что заболевание «само рассосётся». Известно много случаев, когда колонии паразитов проникали в глубокие слои тканей, повреждали желудок и поджелудочную железу животного
Хозяину важно не допустить, чтобы состояние пёсика стало крайне удручающим
Напомним, какие признаки указывают, что демодекоз у собак затронул важные органы:
- Рвота с пеной.
- Судороги и мелкая дрожь в конечностях.
- Состояние полуобморока.
- Проблемы с координацией.
Вышеперечисленные состояния у питомца являются сигналом, что помощь специалиста требуется незамедлительно.
Иногда подкожный клещ у собак вызывает воспаление уха. Хозяин заметит, что ушные раковины пёсика «пылают» от жара и выглядят распухшими.
Демодекс
вызывает заболевание только при снижении иммунитетаот лат. brevis, «короткий»основной белок, который входит в состав волос, ресниц и ногтейрастительное маслосильнодействующий антисептик широкого действиярастворитель в фармакологической промышленностиDemodex folliculorumгнатосомаподосомаопистосомаЦикл развития угревого клеща (Demodex folliculorum) включает следующие стадии:
- яйцо;
- личинка;
- протонимфа;
- нимфа;
- взрослая особь.
Взрослая особь
имагоПройдя все стадии развития, яйцо угревого клеща дифференцируется во взрослую особь:
- Самка клеща по размерам несколько крупнее, чем самец. В среднем, размер самки варьируются от 0,3 мм до 0,44 мм. Ротовой аппарат развит лучше, чем у самца. Членики ног практически такого же размера, что и у самца. После того как самка угревого клеща откладывает яйца, в скором времени она погибает.
- Самец клеща имеет в длину 0,3 мм. Примерно две трети из всей длины приходится на брюшко. Гнатосома у взрослых особей Demodex folliculorum имеет форму трапеции. После оплодотворения самки самец клеща погибает.
Демодекс может поражать кожу в следующих местах:
- веки;
- надбровные дуги;
- лоб;
- подбородок;
- наружный слуховой проход;
- носогубные складки;
- грудь;
- спина.
Способы лечения демодекоза у собак
Методика лечения заболевания зависит от его формы, точнее от масштабов поражения тела животного. Без постороннего вмешательства происходит излечение ювенильного демодекоза. По мере роста иммунитет щенков стабилизируется, и они самостоятельно справляются с клещом.
При демодекозе собаке показаны прием иммуномодуляторов и обработка кожи противопаразитарными препаратами
Развитие заболевание у взрослых собак связано со снижением защитных сил организма, поэтому в первую очередь необходимо пролечить её иммуностимулирующими препаратами (Иммунофан, Гемобаланс, Риботан, Фоспренил). Дополнительно необходимы мероприятия по уничтожению паразита, восстановлению кожного покрова, выведение из организма токсинов.
Локализованные формы демодекоза лечатся местными препаратами. Ветеринары советуют вымыть собаку шампунем с антибактериальными компонентами (Доктор, Фитоэлита), а затем нанести на кожу в участках воспаления нанести специальный лечебный лосьон или мазь (Ветабиол, Аверсектин). Эффективно также нанесение на холку потивопаразитарных капель: Адвокат, Дектомакс.
С целью предупреждения развития генерализованной формы проводится диагностика соскобов. Контрольные анализы сдаются каждую третью неделю, вплоть до полного излечения. При подозрении на прогресс количества клеща, начинают комплексную терапию.
Лечение генерализованной формы
Лечение демодекоза направлено на уничтожение клеща, укрепление иммунитета, восстановление кожи и выведение токсинов.
Развитие демодекоза у взрослых собак требует применения комплекса мер.
Уничтожение клеща. Назначается приём противопаразитарных препаратов внутрь и наружное применение мазей или растворов.
Восстановление иммунитета. Для восстановления защитных сил организма применяют витаминные комплексы:
- Ветэнзим – препарат на основе пивных дрожжей, содержит витамины группы В и Е.
- Мидивет – адаптоген, содержащий повышенные дозы аминокислот, жирных кислот, микро- и макроэлементов. Способствует выведению токсинов, стимулирует работу печени, активирует регенерационные процессы в коже, повышает иммунитет.
Восстановление кожи. Повреждённый эпидермис восстанавливают при помощи мазей Пантенол, Ихтиоловая, Левомеколь. При тяжёлых поражениях кожи внутрь назначаются препараты на основе АТФ, которые восстанавливают защитные силы организма и ускоряют заживление тканей.
Выведение токсинов. Размножение в организме собаки клеща приводит к отравлению токсинами различных органов. Больше всего страдают печень и почки. Назначаются Карсил, Гепатовет, укрепляющие клетки печени. Для лечения почек применяется препарат Здоровые почки.
Патогенез и формы болезни
Патогенез заболевания ветеринарами на сегодняшний день полностью не изучен. Обнаружена индивидуальная предрасположенность к заболеванию, связанная со строением волосяного фолликула.
Существует несколько форм демодекоза: ювенильная, очаговая, генерализованная, пододемодекоз, отодемодекоз.
Другим предрасполагающим фактором является подавление иммунологических реакций в коже и наличием гормональных нарушений. Собаки в этом случае становятся восприимчивыми к контактам с половозрелыми формами клеща. Расселение клеща по телу собаки может также происходить под воздействием окситоцина, вырабатывающегося у кормящих сук.
Заболевание протекает в нескольких формах:
Одной из форм болезни является отодемодекоз, при котором поражаются уши собаки.
- Ювенильный. Проявляется у щенков до 12 месяцев после заражения от больной матери. Причиной развития болезни является слабый иммунитет животного. Лечение ювенильного демодекоза начинают после взросления щенка. В большинстве случаев болезнь устраняется самостоятельно или под воздействием местных средств.
- Очаговый. Во время болезни на груди, голове или лапах собаки в хаотичном порядке появляется несколько пятен с шелушащейся кожей и выпадающими волосами. В 90% случаев очаговый демодекоза вылечивается самостоятельно под воздействием защитных сил организма.
- Генерализованный. Пятнами, постепенно увеличивающимися в размерах, покрывается всё тело собаки. Кожа становится серой или красной, утолщается, начинает неприятно пахнуть от развивающегося воспаления.
- Пододемодекоз. Демодекоз лап, которым чаще всего страдают английские и американские кокер-спаниели. На лапах выпадают волосы, образуются фурункулы, гнойные флебиты.
- Отодемодекоз. Воспаляется наружное ухо. В ухе образуются чёрные корочки, начинается зуд.
Лечение демодекоза у собак Ивермеком, Бравекто, Мирамистином, Ивермектином, каплями Адвокат: инструкция по применению
Теперь несколько слов об еще одних популярных препаратах для лечения демодекоза:
«Ивермек» — препарат этот заслуженно считается одним из лучших, и при небольшой дозировке внутримышечно производит удивительный эффект. Расчет должен быть следующим – на 5 кг веса собаки нужно ввести 0,1 мл лекарства. Можно развести его стерильным растворителем.
Инвермек ветеринары советуют часто для лечения демодекоза
«Бравекто» — исследования показывают, что подавляющее количество паразитов погибает буквально в первые 12 часов после того, как животное примет таблетку. Съесть ее животное должно либо во время приема пищи, либо в скором времени после этого. На килограмм веса должно приходиться примерно 25-56 г препарата
Знать это важно, так как фасовка таблеток различна, поэтому произвести расчет следует до похода в ветеринарную аптеку. «Мирамистин» — считается эффективным средством-антисептиком при обработке ранок
Наносится марлевым тампоном дважды или даже трижды в день на протяжении 4-5 дней
«Мирамистин» — считается эффективным средством-антисептиком при обработке ранок. Наносится марлевым тампоном дважды или даже трижды в день на протяжении 4-5 дней.
«Адвокат» — на 1 кг веса должно прийтись примерно по 0,1 мл капель
Нужно их наносить строго на неповрежденное тело, предпочтительно в качестве начальной точки стоит выбрать область лопаток. Далее нужно двигаться к хвосту – всего должны получиться 3-4 обработанные зоны. В среднем должно быть 2-4 сеанса лечения. Интервал нужно соблюдать примерно в месяц.
Капли Адвокат для лечения демодекоза
«Ивермектин» — его допустимо как вводить в виде инъекции, так и давать в виде таблетки. В первом случае дозировка следующая – на килограмм веса вводится 0,4 мг лекарства. Во втором же на килограмм веса нужно дать раз в день 0,6 мг препарата.
Формы демодекоза у собак
По площади поражения различают 2 формы:
Локализованный – до 4 демодекозных очагов размером до 2,5 см.
Генерализованный – 5 и больше разрозненных поражённых участков или обширное поражение кожи. Эта форма возникает, как продолжение невылеченной очаговой или развивается самостоятельно.
Разделение условное, поскольку учитываются соотношение размеров собаки и поражённых участков. Например, 3 очага диаметром 2 см для чихуахуа – это уже генерализованный демодекоз, а 5 поражённых участков в 3 см для мастифа – локализованная форма болезни.
Отдельно выделяют пододемодекоз и отодемодекоз. В первом случае очаги образуются на лапах, пальцах. Во втором паразит поражает поверхность ушной раковины.
Профилактика
Ветеринары в профилактических целях предлагают обрабатывать щенных сук лекарством ивомек в концентрации 200 мкг/кг. Препарат применяют примерно за неделю до рождения потомства. Кроме этого, рекомендуется применять акарицидные (противоклещевые) ошейники.
Профилактически рекомендуется:
- Осмотреть собаку в ветеринарной клинике. Независимо от состояния животного это нужно делать не реже одного раза в три месяца.
- Тщательно обследовать собак перед вязкой.
- Раз в месяц с применением горячей воды чистить место отдыха собаки.
- Не допускать общение собак с безнадзорными животными.
- Собак, заболевших генерализированной формой демодекоза кастрировать, стерилизовать.

Демодекоз век
Лечение демодекоза век нуждается в комплексом подходе и квалифицированном медицинском вмешательстве. Демодекозный блефарит является хронической болезнью, которая протекает с периодическим обострением и ремиссией. Он отличается следующей клинической картиной:
- Сильная усталость глаз, связанная с необходимостью напрягаться для лучшей фокусировки на предмете или буквах;
- Интенсивный зуд в области ресниц и бровей. Нередко этот симптом усиливается при внешнем воздействии тепла, в вечернее и ночное время суток;
- Ощущение инородного тела, жжение и пощипывание, не устраняющееся после промывания или чесания;
- Вязкие выделения из глаз после пробуждения;
- Накопление пенистого содержимого в глазных уголках;
- Гиперемия, отечность и утолщение век (особенно по краям).
- Хроническая форма демодекозного блефарита может осложниться кератоконъюктивитом, кератитом и синдрома сухого глаза. Поэтому настоятельно рекомендуется проконсультироваться с офтальмологом нашей клиники, который сможет назначить профилактическую и лечебную терапию, направленную на сохранение глазного здоровья.
Лечение
Борьбу с демодекозом начинают с выявления формы заболевания. При очаговой разновидности, более чем в 4/5 случаев наблюдают самоизлечение. Терапия заключается в применении следующих медикаментов:
- Наружные противовоспалительные средства местного действия. Шерсть коротко обстригают, поражённые участки кожи очищают.
- Иммуностимуляторы — иммунофан и пр.
- Если применяют акарицидные средства, для профилактики побочного действия использую гепатопротекторы.
Противоклещевые препараты влияют только на половозрелых особей, не нанося вреда яйцам и промежуточным формам развития демодекса, поэтому курс лечения растягивается до месяца и более.
Генерализованный демодекоз характеризуется высокой степенью поражения кожи. Клещ проникает во внутренние органы. Аллопеции распространяются на всё тело, их более пяти, площадь поражения неуклонно увеличивается. Кожа уплотняется, приобретает серый или красноватый оттенок и неприятный запах. Гибель наступает в результате интоксикации.
Разновидностью генерализованного демодекоза является ювенальный, который передаётся по наследству. В период гормональных всплесков такие собаки страдают от обострений железницы, поэтому их рекомендуют стерилизовать.
Во время выброса гормонов происходит активизация клещей. С больной суки они перемещаются на щенков. Их несформировавшаяся иммунная система, не в состоянии противиться инвазии. Поэтому животных, больных демодекозом, исключают из разведения.

Генерализованная форма демодекоза
Для лечения всех форм железницы используют следующие медикаментозные средства:
- Иммуностимуляторы: фосфпренил, максидин, сальмозан.
- Детоксиканты. Востребован гамавит.
- Акарицидные препараты. Используют в форме:
- Подкожных инъекций. Эффективны дектомакс и ивермектин. Последний препарат следует применять исключительно под контролем ветеринарного специалиста, поскольку он способен уничтожить не только клеща, но и собак некоторых пород.
- Наружных средств. Эффективны препараты на основе амитраза. Мази или растворы втирают в кожу на поражённых участках. Активное вещество накапливается в жировой ткани и оказывает токсическое действие на демодексов.
- Таблеток. Сайфли и Мильбемицин безвредны для собак, однако противоклещевой эффект достигается при многомесячном применении медикаментов.)
- Антибиотики. В большинстве случаев течение заболевания осложняется секундарной, преимущественно, стафилококковой инфекцией. Противомикробное средство пролонгированного действия назначает ветеринарный врач.
- Противомикотические препараты. Грибковые поражения беззащитной после действий демодекса кожи предполагают использование фунгицидов. Терапевтическим эффектом обладают противогрибковые вакцины — Вакдерм, Микродерм, Поливак–ТМ.
- Противоспалительные нестероидные наружные средства.
Во время лечения демодекоза необходима коррекция питания. Наилучшим решением является приобретение корма для больных и ослабленных собак после консультации с ветеринарным специалистом, а не кинологом.
Приглашаем вступить в наш и группу во Вконтакте или Одноклассниках, где публикуются новые статьи для владельцев домашних животных.

































