Низко злокачественные лимфосаркомы
Лимфомы низкой степени злокачественности клинически протекают с преимущественным поражением кожи – грибовидный микоз и синдром Сезари и поражением селезенки и печени – гепатоспленическая форма.
Грибовидный микоз, несмотря на название, не имеет никакого отношения к истинным микозам являясь лимфосаркомой кожи. Он поражает животных во второй половине жизни, обладает длительным течением и, даже без лечения, может продолжаться до года и более. Клинически проявляется характерными округлыми, воспаленными уплотнениями в толще кожи, которые со временем изъязвляются в центре. Цитологическое исследование пункционного биоптата необходимо для постановки диагноза.
Лечение грибовидного микоза заключается в пожизненном приеме химиотерапевтических препаратов внутрь. Терапия позволяет вызвать ремиссию заболевания – уменьшаются уплотнения и заживают язвы. При наличии поражений значительных объемов крайне не рекомендуется хирургическое лечение этого заболевания, так как очаги поражений бурно рецидивируют.
Синдром Сезари протекает по типу эрозийно – язвенного дерматита, мало чувствительного к терапии антибиотиками и противовоспалительными препаратами. Очень часто подобные животные уже длительно безрезультатно лечатся по поводу аллергии или стафилококка. Диагноз ставится на основании биопсии кожи. Лечение также заключается в длительном приеме пероральных цитостатиков. На фоне терапии симптомы заболевания регрессируют, и во многих случаях удается добиться восстановления шерстного покрова.
Гепатоспленическая форма лимфомы протекает с очаговым или диффузным поражением селезенки и печени. Клинически проявляется крайне неспецифично в виде прогрессирующего в течение нескольких месяцев снижения аппетита, умеренного исхудания, снижения активности. Гематологический и биохимический анализы крови также неспецифичны и могут указывать на гепатопатию. При УЗИ исследовании выявляются характерные поражения селезенки и печени. Диагноз ставится после исследования биоптата печени или селезенки. Лечение – удаление селезенки и последующая длительная пероральная терапия цитостатиками.
Длительность ремиссий, получаемых в результате правильно подобранной терапии лимфом низкой степени злокачественности, обычно составляет более года при значительном улучшении качества жизни.
Злокачественные лимфомы – разнородная группа заболеваний с разным прогнозом, течением и необходимостью различных подходов к лечению.
Лейкоз, острый лейкоз, лимфобластный лейкоз, рак крови, лейкемия, лимфома, лимфосаркома, грибовидный микоз не приговор! Проконсультируйтесь у профессионалов!
Обращайтесь в наши клиники круглосуточно и ежедневно
УЛ. ВЕДЕНЕЕВА Д.12 К.4 тел.: +7 (812) 296-67- 96
УЛ. ЕСЕНИНА Д.30 тел.: +7 (812) 291-44-64
ВЫБОРГСКОЕ ШОССЕ, Д. 17, К.4 тел.: +7 (812) 920-77-97
Прогноз для жизни

На продолжительность жизни домашнего животного влияют своевременность терапии и расположение недуга.
Кошки, у которых лимфома диагностирована на начальных этапах развития, успешно излечиваются и живут в стадии ремиссии 2—3 года, иногда и больше. При отсутствии комплексной терапии или лечении лимфосаркомы одним «Преднизолоном» больная кошка проживет максимум 1,5—2 месяца. Кроме этого, шансы на успешное восстановление зависит от места локализации злокачественной опухоли. Самой неблагоприятной формой считается спинальная лимфома, при которой злокачественными клетками поражается спинной мозг.
Прогнозы
Прогноз для пациентов с лимфомами зависит от стадии процесса, возраста и состояния больного, а также от результатов терапии. При лимфоме Ходжкина пациенты молодого возраста на ранних стадиях,как правило, полностью выздоравливают. У 8 из 10 удается добиться устойчивой ремиссии. Пятилетняя выживаемость при 1-й стадии составляет 95%, при 4-й – 65%.
При НХЛ селезенки, лимфоузлов и слизистых средняя пятилетняя выживаемость – порядка 70%. При НХЛ ЖКТ, слюнных желез, глазных орбит средняя пятилетняя выживаемость – около 60%. Менее благоприятный прогноз у агрессивных НХЛ молочных желез, яичников, ЦНС и костей – пятилетняя выживаемость в среднем меньше 30%.
Стадии лимфомы
Сразу после обнаружения заболевания врачи определяют его стадию – выясняют, как далеко оно успело распространиться и какие ткани повредило. Данная информация крайне важна для специалистов, поскольку она позволяет не только понимать прогнозы пациента, но и подбирать для него самое подходящее лечение.
Стадии лимфомы Ходжкина: I: измененные клетки обнаружены только в одной группе лимфатических узлов или одном лимфоидном органе, таком как миндалины. II: они присутствуют в 2 или более группах лимфоузлов, расположенных по одну сторону от диафрагмыДиафрагма – это мышца, которая отделяет грудную полость от брюшной., либо распространились из одного поврежденного лимфоузла на соседний орган. III: клетки лимфомы есть в лимфоузлах по обе стороны диафрагмы; либо не только в лимфатических узлах над диафрагмой, но и в селезенке. IV: заболевание распространилось по крайней мере в один орган, не входящий в лимфатическую систему, такой как печень, костный мозг или легкие.
Стадии неходжкинских лимфом: I: измененные клетки обнаруживаются только в 1 группе лимфатических узлов или одном лимфоидном органе, например, миндалинах; либо в 1 области одного органа за пределами лимфатической системы. II: они присутствуют в 2 или более группах лимфоузлов по 1 сторону от диафрагмы; либо в лимфатических узлах и 1 области расположенного рядом одного органа, или в еще одной группе лимфоузлов на той же стороне диафрагмы. III: клетки лимфомы есть в лимфоузлах по обе стороны от диафрагмы; либо они присутствуют и в лимфатических узлах над диафрагмой, и в селезенке. IV: заболевание распространилось по крайней мере в один орган, не входящий в лимфатическую систему, такой как печень, костный мозг или легкие.

Лечение лимфомы
Лечение лимфомы – задача непростая. Для ее решения требуется не один доктор, а целая команда профессионалов своего дела – химиотерапевта, радиолога, хирурга, онколога, гематолога и других. В онкологическом центре «Лапино-2» есть все необходимые специалисты – врачи мирового уровня, которые проводят полную диагностику заболевания и любую необходимую терапию. У нас вам не придется пересдавать анализы, переделывать исследования и задаваться вопросом «что делать дальше?». Мы полностью ведем пациента и даем ему четкий план действий, следуя которому он получает лучший результат из возможных.
Для борьбы с данным типом онкологии применяется несколько методов:
Основным из них является химиотерапия – препараты, которые уничтожают измененные клетки. Они принимаются в виде таблеток или вводятся в вену, попадают в кровоток и распространяются по всему телу. Лечение проводится циклами, каждый из которых длится несколько недель, после чего следует период отдыха, за время которого организм восстанавливается.
Трансплантация костного мозга или стволовых клеток, из которых образуются клетки крови. Процедура позволяет назначать более высокие дозы химиотерапии, иногда вместе с лучевой терапией, благодаря чему лимфома уничтожается эффективнее. Пересадка возможна не только донорского, но и своего собственного, собранного за несколько недель до вмешательства материала.
Лучевая терапия – уничтожение измененных клеток с помощью радиации. Данный метод подходит для большинства пациентов, и особенно хорошо работает, если заболевание успело поразить небольшое количество тканей. Его применяют как самостоятельно, так и в сочетании с химиотерапией.
Иммунотерапия – препараты, которые помогают собственной иммунной системе человека лучше распознавать и разрушать неправильные клетки. Существует несколько их типов, применяемых при лимфомах. К ним относят:
- моноклональные антитела – белки, разработанные для атаки определенного вещества на поверхности лимфоцитов;
- ингибиторы иммунных контрольных точек – лекарства, не позволяющие измененным клеткам маскироваться под здоровые;
- Т-клеточная терапия: изъятие из крови пациента и изменение в лаборатории иммунных клеток, их размножение и возвращение в организм, где они отыскивают и уничтожают очаги заболевания.
Хирургия: часто используется для получения образцов подозрительных тканей и определения их типа, но редко – для терапии как таковой. В редких случаях операции назначаются при поражениях селезенки или других органов, которые не входят в лимфатическую систему – например, щитовидная железа или желудок.

Лечение
Современное лечение 4 стадии лимфомы в некоторых случаях оставляет шансы на полное излечение. В связи с этим, с пациентами детородного возраста, как правило, обсуждается вопрос криоконсервации спермы либо яйцеклеток перед началом химиотерапии и лучевой терапии.
Поскольку лимфомы — это группа крайне гетерогенных заболеваний, то тактика их лечения будет определяться гистологической формой новообразования, степенью дифференцировки и другими критериями. Оценка эффективности лечения проводится после нескольких циклов полихимиотерапии, после завершения химиотерапевтического этапа, а также после всей программы лечения.
Лечение лимфомы Ходжкина
В связи с наличием альтернативных терапевтических схем, эффективных при лечении лимфогранулематоза, предпочтение тому или иному протоколу отдается с учетом клинической ситуации.
У пациентов старше 60 лет применяется схема, включающая 6-8 курсов ABVD (доксорубицин, блеомицин, винбластин, дакарбазин). После этого следует лучевая терапия в суммарной очаговой дозе 30-36 Грей на опухолевые очаги, превышающие 2.5 см.
У молодых пациентов при лечении лимфомы Ходжкина 4 стадии предпочтение отдается более интенсивным протоколам — BEACOPP эскалированный или BEACOPP 14 (этопозид, доксорубицин, циклофосфамид, винкристин, блеомицин, прокарбазин, преднизолон, Г-КСФ) с последующим облучением крупных очагов (более 2.5 см) и применением колониестимулирующих факторов. Лимфома Ходжкина у детей лечится по стандартному протоколу Euro-Net-C1 с последующим облучением или без него.

Лечение неходжкинских лимфом
В связи с тем, что данная группа заболеваний включает множество гистологических вариантов, существуют различные протоколы, применяющиеся для лечения 4 стадии лимфом:
- R-CHOP (ритуксимаб, доксорубицин, циклофосфамид, винкристин, преднизолон).
- R-CVP (ритуксимаб, циклофосфамид, винкристин, преднизолон).
- R-FCM (ритуксимаб, флударабин, митоксантрон, циклофосфамид).
- RB (ритуксимаб, бендамустин).
- R-CEPP (ритуксимаб, циклофосфамид, этопозид, прокарбазин, преднизолон).
- R-CEOP (ритуксимаб, циклофосфамид, этопозид, винкристин, преднизолон).
- R-CNOP (ритуксимаб, циклофосфамид, митоксантрон, винкристин, преднизолон).
Подобных протоколов для лечения лимфом на 4 стадии существует гораздо больше. Предпочтение в пользу той или иной схемы отдается врачом с учетом клинических особенностей и гистологического варианта опухоли.
Возможно также применение лучевой терапии в суммарной очаговой дозе до 40 Гр в зависимости от состояния пациента. Хирургическое лечение чаще носит паллиативный характер и выполняется по жизненным показаниям.
При наступлении ремиссии, контрольные осмотры пациенты проходят каждые 3 месяца в течение первых 2 лет, далее каждые полгода в течение последующих 3 лет и затем 1 раз в год.
Причины
Одним из видов злокачественных новообразований, является лимфосаркома, также называемая лимфомой. Лимфома у кошек патологическое изменение лимфоидных тканевых структур пролиферативного типа, чаще обнаруживаемое у домашних питомцев, находящихся в молодом возрасте или же уже у пожилых. Связано это, прежде всего, с несовершенством иммунной системы у молодых и недостаточностью работы организма у старых кошек.
Базовые части защитной лимфатической системы – лимфоциты или белые кровяные тельца, проявляют активность по отношению к патогенным бактериальным микроорганизмам, вирусам и другим вредоносным агентам, проникающим в организм животного. Именно работа лимфоцитов обеспечивает достойную защиту организма.
Наиболее распространенная у кошек желудочно-кишечная неоплазия – алиментарная лимфома. Именуется патология также абдоминальной лимфосаркомой, так как характеризуется поражением всех слоев желудка и кишечника, а также рядом расположенных лимфатических узлов.
Мелкоклеточная лимфома характеризуется длительным течением и медленным развитием, в отличие от крупноклеточной, агрессивной опухоли, сопровождающееся резким снижением веса, повышенной утомляемостью и увеличением лимфатических узлов.
Причины развития злокачественной патологии у кошек различны, но ветеринарные специалисты сходятся во мнении, что основным провоцирующим фактором являются:
- Вирус кошачьего лейкоза – онковирус обладающий иммунносупресивными свойствами (подавляет иммунный ответ). ДНК-содержащий вирус, проникая в организм восприимчивого животного провоцирует нарушения в работе ДНК организма, провоцируя развитие лимфосаркомы.
- Вирус иммунодефицита – еще один вид вирусов лимфотропного типа. Играет особую роль в процессе формирования злокачественных клеток, провоцируя проблемы в активизации иммунной системы в ответ на патоген.
По месту расположения лимфомы бывают:
- Абдоминальная или алиментарная – для нее характерно поражение неопластического типа, которое может быть разлитым или же локализованным. Алиментарная лимфома характеризуется поражением не только стенок кишечника и желудка, но и лимфатических узлов.
- Медиастинальная неоплазия лимфоцитов – локализуется в области тимуса, поражая параллельно средостенные лимфатические узлы. Характерным для этого вида патологии является мультифокальное очаговое поражение плевральной оболочки. Диагностируется в подавляющем большинстве у кошек молодого возраста и ассоциирована с инфицированием вирусом лейкемии.
- Мультицентрическая неоплазия – вид злокачественного новообразования, локализующийся в области лимфатических узлов, расположенных на поверхности. При этом виде лимфомы в процесс патологического характера вовлекаются печеночные структуры и селезенка. Реже при мультицентрической неоплазии эти органы остаются нетронутыми.
- Экстронодулярная лимфома – характеризуется отсутствием определенного места расположения. При этом поражаются различные внутренние органы – ренальная система, респираторный тракт, центральная нервная система, кожные покровы. По типу расположения экстронодулярной неоплазии белых клеток крови, она будет иметь свое название – ренальная, назальная, глазная, кожная.
Уход за больной кошкой
К сожалению, от этой болезни нет лекарства. В некоторых случаях единственное решение — обеспечить дополнительный уход для улучшения качества жизни пораженных животных.
Важно внимательно следить за потреблением корма и воды вашей кошкой, пока она находится в фазе выздоровления. Прогноз этого заболевания сильно варьируется и зависит от первоначального ответа на лечение, анатомического типа опухоли, статуса FeLV и опухолевой нагрузки
Прогноз этого заболевания сильно варьируется и зависит от первоначального ответа на лечение, анатомического типа опухоли, статуса FeLV и опухолевой нагрузки.
Если начата химиотерапия, вам может потребоваться регулярно обследовать кошку. Во время каждого визита ваш ветеринар будет проводить анализ крови, чтобы определить реакцию на лечение, а также проверить статус любых осложнений, возникающих из-за проводимого лечения, чтобы можно было внести необходимые корректировки.
Если химиотерапевтические препараты были прописаны в рамках домашнего лечения, обязательно внимательно следуйте инструкциям, так как химиотерапевтические препараты очень токсичны для здоровья человека
Основные меры предосторожности включают использование латексных перчаток перед приемом лекарства
Если обезболивающие для кошекбыли прописаны, используйте их с осторожностью и внимательно следуйте всем инструкциям, убедившись, что все члены семьи знакомы с графиком приема лекарств; одна из самых предотвратимых катастроф с домашними животными — передозировка лекарств. Время выживания сильно различается: от нескольких месяцев до менее двух лет
Время выживания сильно различается: от нескольких месяцев до менее двух лет.
Стадии лимфом
В зависимости от распространенности опухоли определяют стадию патологического процесса. В соответствии с международной классификацией Ann Arbor выделяют 4 стадии заболевания:
- На 1-й стадии в лимфомный процесс может быть вовлечена одна группа лимфатических узлов.
- На 2-й допускается вовлечение двух и более групп по одну сторону от диафрагмы.
- На 3-й стадии опускается поражение лимфатических узлов по обе стороны диафрагмы.
- На 4-й стадии в процесс вовлекаются внутренние органы – мозг, сердце, печень, селезенка, желудок, кишечник.
Каждую стадию дополнительно маркируют титрами А и Б. Титр А указывает на отсутствие ключевых симптомов – лихорадки, сильной ночной потливости и резкого снижения веса. Титр Б указывает, что такие проявления есть.
Симптомы и признаки лимфомы
Как правило, на ранних этапах данный тип онкологии никак себя не проявляет, а ее обладатель хорошо себя чувствует и не подозревает о болезни – почти все ее симптомы появляются позже, на запущенных стадиях.
Один из наиболее частых признаков – появление припухлости на шее, в подмышках, паху или над ключицей, которая представляет из себя увеличенный лимфатический узел. Обычно такое новообразование не болит, но со временем нередко увеличивается, а рядом с ним или в других областях тела появляются новые шишки.
Лимфомы, которые начинают развиваться или разрастаются в брюшной полости, способны вызвать отек или боль в животе, тошноту и рвоту. Такие ощущения возникают из-за укрупнения лимфоузлов или внутренних органов, таких как селезенка или печень, либо скопления большого количества жидкости.
Изменившаяся в размерах селезенка может давить на желудок, вызывая потерю аппетита и чувство сытости после небольшого количества пищи.
Увеличившиеся тимусТимус, или вилочковая железа – небольшой орган, расположенный за верхней частью грудины перед сердцем. В нем происходит созревание и развитие некоторых лимфоцитов. или лимфоузлы грудной клетки могут оказывать давление на трахею, по которой воздух проходит в легкие. Это приводит к появлению кашля, затруднению дыхания, болевым ощущениям или тяжести в груди.
Поражения головного мозга способны вызывать головную боль, слабость, изменение личности, проблемы с мышлением и судороги.
Другие типы заболевания могут распространяться на окружающие головной и спинной мозг ткани, из-за чего у пациента двоится в глазах, немеет лицо и ухудшается речь.
Лимфомы кожи часто проявляются в виде зудящих красных бугорков или шишек.
Кроме того, симптомами могут быть:
- потеря веса;
- озноб;
- ночная потливость;
- повышенная температура;
- сильная усталость;
- вздутие живота;
- частые или тяжело протекающие инфекции;
- легко появляющиеся синяки или кровотечения.

Классификация лимфоидных неоплазий
I.В-клеточные опухоли
- Из предшественников В-клеток: В-лимфобластная лимфома /лейкоз из клеток-предшественников (В-клеточный острый лимфобластный лейкоз из клеток-предшественников).
- Из периферических (зрелых) клеток В-клеточный хронический лимфоцитарный лейкоз / лимфома из малых лимфоцитов. В-клеточный пролимфоцитарный лейкоз. Лимфоплазмоцитарная лимфома. Плазмоклеточная миелома/плазмоцитома. Волосатоклеточный лейкоз.
- В-клеточные лимфомы маргинальной зоныМукозо-ассоциированная В-клеточная лимфома маргинальной зоны – MALToma. Нодальная В-клеточная лимфома маргинальной зоны (+/- моноцитоидные В-клетки). Селезеночная В-клеточная лимфома маргинальной зоны.
Фолликулярная лимфомаСтепень 1Степень 2Степень 3
Лимфома из клеток мантийной зоны. Диффузная В-крупноклеточная лимфомаМедиастинальная В-крупноклеточная лимфома.Лимфома с первичным поражением серозных оболочек (primary effusion lymphoma).
Лимфома Беркитта/Лейкемия из клеток Беркитта
II. Т- и НК-клеточные опухоли
- Из предшественников Т-клеток Т-лимфобластная лимфома/лейкоз из клеток-предшественников (острый лимфобластный лейкоз из Т-клеток предшественников)
- Т-клеточные лимфомы из периферических (зрелых) клеток Т-клеточный пролимфоцитарный лейкоз. Т-клеточный лейкоз из лимфоцитов с гранулами. Агрессивный НК-клеточный лейкоз. Т-клеточная лимфома/лейкоз взрослых (HTLV1+). Экстранодальная НК/Т-клеточная лимфома, назальный тип. Т-клеточная лимфома с энтеропатией. Гамма-дельта Т-клеточная лимфома с поражением печени и селезёнки. Т-клеточная панникулитоподобная лимфома подкожной клетчатки. Грибовидный микоз / синдром Сезари. Анапластическая крупноклеточная лимфома, Т/ноль -клеточная, с первичным поражением кожи. Периферическая Т-клеточная лимфома без дополнительных характеристик (not otherwise charact). Ангиоиммунобластная Т-клеточная лимфома. Анапластическая крупноклеточная лимфома, Т/ноль-клеточная, первично-генерализованный тип.
- Лимфома Ходжкина/болезнь Ходжкина
- Классические варианты болезни Ходжкина Нодулярный склероз (типы 1 и 2). Классическая болезнь Ходжкина, богатый лимфоцитами. Смешанноклеточный вариант. Лимфоидное истощение.
Диагностика
При первичном обследовании, установленный диагноз лимфопролиферативного заболевания должен содержать следующую информацию:
- Диагноз опухоли, сформулированный согласно с действующей классификацией Всемирной организации здравоохранения.
- Стадия заболевания (распространенность опухолевого процесса).
- Общее состояние пациента.
Согласно современному алгоритму диагностики, для постановки диагноза лимфома, пациенту должно быть проведено:
- Полноценное клиническое обследование: КТ (шеи, грудной клетки, брюшной полости, органов малого таза), УЗИ (периферических лимфоузлов, органов малого таза и брюшной полости, забрюшинного пространства). Как правило, данные методы используются вместе, однако предпочтение чаще отдается компьютерной томографии. Кроме того, зачастую для постановки диагноза выполняется ПЭТ-КТ с фтордезоксиглюкозой и МРТ.
- Общий анализ крови с подсчетом лейкоцитарной формулы и проведением иммунофенотипирования методом проточной цитометрии.
- Морфологическое заключение. Является ключевым методом, позволяющим доказать наличие злокачественного новообразования и установить его морфологическую принадлежность. При определении типа лимфомы, недостаточно сделать стандартную гистологию. Важнейшее значение имеет иммуногистохимическое исследование, а также в некоторых случаях молекулярно-генетическое тестирование.

Определение размеров лимфоузлов является ключевым фактором, определяющим их поражение. Считается, что размеры шейных лимфоузлов не должны превышать 30 мм, средостения — 25 мм, подключичных — 6 мм, а паховые — не более 40 мм. Кроме того, пораженные лимфоузлы, как правило, имеют круглую форму.
Для оценки распространенности процесса и исключения лейкемизации (поражения костного мозга), которая отмечается на 4 стадии лимфомы, проводится гистологическое исследование трепанобиоптата костного мозга.
Диагностика
Биопсия крайне важна при постановке диагноза. В некоторых случаях приходится брать пробы сразу из нескольких лимфатических узлов. Простота, с которой может быть поставлен диагноз, зависит от месторасположения опухоли.

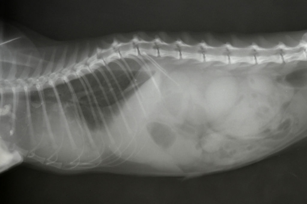
А потому ветеринары всегда берут анализы крови и мочи, при необходимости проводят рентгенологическое и ультразвуковое исследование. Ультразвук брюшной полости (сонограмма) позволит оценить состояние печени, селезенки, внутренних лимфатических узлов и кишечника.
Рентген грудной клетки позволит выяснить, не вовлечены ли в процесс легочные лимфатические узлы. Аспират костного мозга очень важен: он дает возможность выявить опухолевые клетки, а также оценить способность органа к воспроизводству нормальных составляющих крови. Когда ветеринар получит результаты всех исследований, он сможет назначить наиболее подходящее лечение лимфосаркомы у кошек.
Лимфома у кошек – злокачественное онкологическое заболевание лимфатической системы. У здорового животного лимфатическая система играет важную роль в иммунной защите против инфекционных агентов, таких как вирусы и бактерии. Лимфоциты (белые клетки крови) при данной проблеме изменяются, начинают самопроизвольно делиться, в результате чего в организме появляются опухоли.
Лимфома кошек является одной из самых распространенных раковых патологий (до 90%) у кошек. Чаще всего лимфосаркому обнаруживают в возрасте до 3 лет и от 7 до 15 лет. Данное заболевание относится к незаразным для человека и других животных.
Прогноз жизни
Использование современных препаратов с уменьшенным токсичным воздействием на организм и высокая чувствительность разных видов лимфом к химиотерапии позволяют достигать продолжительной стойкой ремиссии в течении этого онкологического заболевания. Прогноз продолжительности жизни кота с лимфомой зависит в большей мере от локализации новообразования и от своевременности терапии.
Важно! При полном отсутствии лечения или использовании только преднизолона продолжительность жизни животного после постановки диагноза «лимфосаркома» составляет 1-2 месяца. Кроме этого следует учитывать наличие вируса лейкемии и иммунодефицита. Средняя статистика продолжительности жизни с лимфомой по окончании курса химиотерапии и при условии своевременного обнаружения выглядит следующим образом:
Средняя статистика продолжительности жизни с лимфомой по окончании курса химиотерапии и при условии своевременного обнаружения выглядит следующим образом:
Кроме этого следует учитывать наличие вируса лейкемии и иммунодефицита. Средняя статистика продолжительности жизни с лимфомой по окончании курса химиотерапии и при условии своевременного обнаружения выглядит следующим образом:
- 65% – 12 месяцев;
- 30% – 24 месяца;
- 15% — от 36 месяцев и более.
Даже достижение стойкой ремиссии не означает полное выздоровление питомца. Ему потребуется регулярное наблюдение ветеринара, как минимум 1 раз в 3 месяца, и соблюдение назначенного рациона питания.
Лечение
Прежде всего, необходимо знать, что лимфосаркома является системным заболеванием, которое не возможно вылечить полностью. С момента диагностирования и до летального исхода может пройти совсем мало времени, так как зависит все от внутренних сил организма и других сопутствующих факторов. На ранних стадиях лимфомы кишечника, хорошие результаты дает применение химиотерапевтических методик.
Основная задача специалиста – подбор комплекса мероприятий, направленных на повышение качества и продолжительность жизни животного.
Химиотерапия – основа лечения лимфосаркомы кишечника. Дозировка лекарственного токсического средства определяется индивидуально ветеринарным врачом-онкологом с учетом особенностей пациента. Необходимо учитывать массу тела, возраст и общее состояние животного.
Существует большое количество специфических медикаментов, способных уничтожать мутировавшие клетки лимфатической системы. Широко применяются такие препараты как:
- Доксорубин;
- Циклофосфан;
- Винкристин.
В зависимости от размеров лимфомы, применяется монохимиотерапия, комбинированная химиотерапия или же оперативное вмешательство. Монохимиотерапия применяется достаточно редко, только в тех случаях, когда животному не возможно вводить другие препараты. Особенно если у кошки выраженные побочные эффекты при использовании комбинированного лечения химиопрепаратами.
Химиотерапия комбинированного типа подразумевает использование нескольких препаратов и различных схем введения. Используются такие схемы химиотерапии как СОР (Cyclophosphanum, Vincristine,Prednisolonum) и АСОР (Anthracycline, Cyclophosphanum, Vincristine,Prednisolonum).
Циклофосфан является алкилирующим и цитостатическим препаратом, Винкристин – алкалоид растительного происхождения обладающий антинеопластическим действием, Преднизолон – глюкокортикостероид, подавляющий функции лейкоцитов и тканевых макрофагов, ограничивающий миграцию лейкоцитов в место поражения, Антрациклин – препарат противомикробного и цитостатического действия. Наиболее часто применяют схему СОР, в связи с экономической выгодой и низкой частотой возникновения побочных эффектов.
Хирургическое лечение лимфомы кишечника у кошки применяется реже, нежели химиотерапия. Прибегают к оперативному вмешательству при непроходимости кишечника или при огромных размерах злокачественного новообразования, провоцирующего кровотечения. Это не основное лечение, симптоматическое.
Хирургическое иссечение пораженного участка кишечника опухолью, проводиться также при невозможности проведения химиотерапии.
Лечение
Задача врачевания состоит в уничтожении опухолевой ткани и перерождённых клеток, иначе говоря — химиотерапии. Главными медикаментами являются следующие:
- Хлорамбуцил.
- Доксорубицин.
- Винкристин.
- Циклофосфамид.
- L-Аспарагиназа. Предпочтительно применение препарата для кошки, страдавшей Лейкозом прежде, чем у неё сформировалась Лимфосаркома.
- Преднизолон.
- Радиотерапия. Используют, преимущественно, при назальной разновидности Лимфомы.
Все средства небезвредны для организма кошки, если возникают осложнения, ветеринарный врач заменяет препарат на более щадящий, хотя и менее эффективный. Во всех вариантах лечебные сеансы продолжаются несколько недель или более. Некоторые врачевательные схемы предусматривают перерыв между сеансами химиотерапии. Нужно понимать, что препараты, истребляющие опухолевые клетки, неблагоприятно влияют на воспроизводительные органы, паренхиму почек, печени, костного мозга.
После курса лечения врач назначает дни, в которые необходимо наблюдаться в клинике. Феллинологу следует быть готовым к пожизненному приёму питомцем общеукрепляющих препаратов.
Если у кошки диагностирован Лейкоз и развилась Лимфома, для её спасения необходимо провести жёсткую химиотерапию, а также пересадку костного мозга.

Каков прогноз выживания для этого кота?
Что такое лимфома кишечника, по какой причине она возникает у котов?
Лимфома у кошек относится к онкологическим заболеваниям и поражает лимфоидные ткани животного. Эффективных способов излечения от подобной формы рака не разработано. Принимаемые врачами меры позволяют лишь продлить жизнь кошке. Точных причин образования опухоли ветеринары определить не могут, но озвучивают провоцирующие факторы:
- плохая экология в месте проживания животного;
- наследственная предрасположенность (если родители животного страдали от лимфомы, высока вероятность, что и у потомства может проявиться такое новообразование в кишечнике);
- продолжительное воздействие на организм животного ионизирующего излучения и поступление тяжелых металлов;
- заражение крови вирусом лейкоза (разносчиками вируса являются бездомные животные).
Любой из этих факторов может привести к негативным изменениям в геноме лимфоцитов. Происходит сбой в процессе деления клеток, в результате которого они начинают стремительно размножаться. Неконтролируемое их увеличение приводит к формированию злокачественного образования (лимфомы). Рост опухоли выражается в проникновении метастазов в лимфоидные ткани, работа пищеварительной системы нарушается, состояние животного резко ухудшается.
Диагностика воспаления кишечника у кошек
Для постановки правильного диагноза ветеринарный врач должен будет подробно изучить историю болезни кошки, задать вам вопросы, касающиеся продолжительности и частоты симптомов.
У некоторых животных при физикальном осмотре можно пальпировать утолщенный кишечник.
Результат анализов (анализ мочи и клинический, биохимический анализ крови), часто бывает нормальным. У некоторых кошек может присутствовать анемия и высокое количество белых кровяных клеток – лейкоцитов (как при инфекциях). Также могут быть найдены повышение белка и уровня ферментов печени, т.к. при сильном воспалении кишечника может быть также затронуты печень и поджелудочная железа. Возможно и увеличение числа эозонофилов в крови.
Рентген и УЗИ: не имеется последовательных радиологических находок у кошки с ВЗК. В кишечнике могут появиться утолщения и там может быть больше газа, чем в нормальном кишечнике, но эти признаки могут возникать и при других болезнях.
Единственным надежным способом диагностики заболевания кишечника является выполнение биопсии, но даже тогда может быть трудно отличить от некоторых видов рака. Биопсия покажет увеличение числа воспалительных клеток в стенке кишечника. По типам клеток можно определить, какой тип заболевания кишечника присутствует. Биопсия может быть получена путем использования эндоскопа или при диагностичаской лапаратомии (хирургическом вмешательстве). Невооруженному глазу кишечник может казаться нормальным, но под микроскопом можно увидеть изменения. В других случаях поражения ЖКТ являются довольно очевидными.
Другие причины диареи или клеточных инфильтратов должна быть исключены (анализ фекалий на простейших, культуральное исследование для исключения, например, сальмонелл, анализы крови для исключения сопутствующих заболеваний: гипертиреоз, болезнь печени или инфицирование кошек вирусом лейкемии (FeLV).
Группа риска и причины развития лимфомы у кошек
У лимфомы есть второе название – лимфосаркома. Это онкологическое заболевание, затрагивающее лимфоузлы кота, селезенку и другие внутренние органы питомца.
Существует несколько причин и факторов развития лимфомы:
- Вирусный лейкоз и иммунодефицит повышают риск лимфомы в 62 и 6 раз соответственно.
- Постоянный контакт питомца с сигаретным дымом.
- Породная предрасположенность – чаще лимфомой страдают сиамские и бирманские породы.
- Наличие хронических воспалений и заболеваний и, как следствие, значительное снижение иммунитета.
Лимфома может развиться как у молодых, так и у пожилых кошек.
Лимфома почек и средостения у кота, подтверждена цитологически после эвтаназии и вскрытия




































