Как можно заразиться токсоплазмозом и когда это опасно
Конечно, общение с котом, который находится в острой форме заболевания, потенциально несет риски для хозяев. Но при соблюдении основных правил гигиены, вы сможете помочь своему питомцу, не нанеся вреда своему здоровью и здоровью других людей, проживающих в доме.
Факт №1. Ооцисты, выделяемые с кошачьим калом являются неинвазивными первые 5 суток с момента попадания во внешнюю среду. Это значит, что для возникновения реальной опасности необходимо не удирать в лотке минимум несколько дней, либо делать это голыми руками не соблюдая личную гигиену.
Факт №2. Выделение ооцист происходит только первые 14 дней с момента заражения и больше не повторяется, так как в организме здоровой кошки возникает иммунитет, который подавляет активность T. Gondii.
Факт №3. Кот, переболевший токсоплазмозом не несет опасности для окружающий.
Факт №4. Токсоплазмоз не передается от человека к человеку (за исключением пути передачи от матери к плоду во время беременности).
Факт №5. Для большинства здоровых людей факт контакта с токсоплазмой вовсе не означает развития заболевания. Крепкий иммунитет быстро нейтрализует паразита, но серологический тест на протяжении всей жизни будет показывать наличие антител. Серьезные проблемы, как правило, возникают у людей с очень низким иммунитетом (после тяжелых заболеваний) и болеющих СПИДом (не носителей, а именно старадющих этим недугом).
Таким образом, несложно понять, что вероятность заразиться паразитом от плохо прожаренного шашлыка или стейка с кровью у любителей такого типа блюд значительно выше, чем от домашнего кота.

Основная опасность токсоплазмы связана с первичным проникновением паразита в организм женщины в период беременности. Если иммунная система мамы еще не знакома с T. Gondii и не готова дать быстрый ответ, происходит инфицирование плода с такими серьезными последствиями, как:
- внутриутробная гибель плода;
- развитие серьезных дефектов (в том числе нарушения нервной системы);
- появление ребенка на свет с признаками острой фазы заболевания (температура, острое отравление организма, печеночная недостаточность).
Степень поражения плода и прогноз зависит от срока беременности, на котором произошло заражение.
Возможные осложнения
Пройдя курс лечения, необходимо полностью исключить из рациона сырое мясо, желательно избегать контактов с другими животными и не допускать свободного доступа питомца во двор.
При тяжёлой фазе токсоплазмоза у питомца может быть поражена нервная система с возникновением очагов разрушения нервных тканей в головном или спинном мозге. В таком случае возможны судороги и параличи животного, которые превратят его в инвалида.
Токсоплазмоз у беременных кошек приводит к выкидышам или к рождению мёртвых котят из-за трансплацентарного заражения плода. Это происходит, если кошка в первый раз заразилась токсоплазмозом до беременности или во время неё. Далее, при хронической фазе болезни, иммунная система не позволяет произойти такому заражению.

Опасность токсоплазмоза для человека
К сожалению, у людей токсоплазмы особенно склонны поражать нервную систему и мозг. Возникающие в мозге очаги разрушения затем окружаются фиброзной капсулой и кальцинируются. В дальнейшем эти очаги могут стать причиной нарушения нормальной работы центральной нервной системы.
Для беременных женщин заражение токсоплазмозом опасно из-за того, что проникшие через плаценту к плоду токсоплазмы способны вызвать серьезные нарушения в его развитии. Наиболее тяжелые последствия заражения происходят в первый триместр беременности, но чаще всего это заканчивается выкидышем и редко — рождением ребенка со значительными нарушениями в развитии.
Часто беременной женщине врачи предлагают избавиться от кошки, чтобы предотвратить заражение и рождение ребенка с патологиями. Насколько это оправдано? Представления о токсоплазмозе и о роли животных в его передаче часто ошибочны не только у обычных людей, но даже у специалистов — врачей и ветеринаров. Неверная информация об этой инвазии зачастую приводит к «токсоплазмозофобии» — паническому страху перед домашними животными.
Токсоплазмоз у кошек. Токсоплазмозом можно заразиться, убирая кошачий туалет. Для того, чтобы токсоплазмы стали заразными, им необходимо созреть, на это требуется от одного до пяти дней! Поэтому нельзя заразиться токсоплазмозом, удаляя свежие фекалии кошки. Следует ежедневно убирать кошачий туалет, смывать с него следы фекалий, а затем мыть руки.
Сделаем выводы. Заразен ли токсоплазм для человека:
заразна любая заболевшая кошка. После заражения кошки токсоплазмозом выделение цист продолжается до трех недель, потом этот процесс прекращается. Поэтому источником заражения являются фекалии только тех кошек, которые заразились недавно.Кошка является заразной для человека в период подострых или острых проявлений токсоплазмоза.
Например, ухаживая за больным животным, можно вдохнуть токсоплазмы, которые выделились при чихании кошки (на воздухе они погибают в течение нескольких минут). Затем токсоплазмоз у кошки переходит в латентную хроническую стадию и может проявляться лишь в виде временного поноса. В этот период, продолжающийся пожизненно, токсоплазмы у кошки «заблокированы» внутри клеток, и никакие выделения животного их не содержат. Поэтому хронический токсоплазмоз кошки не заразен для хозяев.
- Но надо помнить, что кошка вновь становится на некоторое время заразной при каждом новом заражении(!), которое может произойти, если она получает сырое мясо или охотится на мышей или, гуляя, заражается через цисты других кошек;
страшнее кошки зверя нет. В период развития заболевания могут быть заразны и собаки. Токсоплазмы могут содержаться в их слюне. При облизывании собакой хозяина токсоплазмы через царапины или слизистую оболочку глаза, рта или носа проникают в организм человека. Во время ежедневных прогулок собака может подобрать что-нибудь с земли или, валяясь на земле, набрать цисты токсоплазм на шерсть.Потом эти цисты попадают в дом, а там через пыль или загрязненные поглаживанием собаки руки – в организм хозяина. Таким образом, собаки — более вероятный источник заражения токсоплазмозом для человека, чем кошки;
домашние животные – основная причина токсоплазмоза. Непосредственно от больного животного человек заражается редко. Основные источники заражения людей — загрязненная цистами земля, уличная пыль, а, главное, — мясо, не прошедшее достаточную термическую обработку. В этом отношении плохо прожаренный шашлык опаснее, чем домашняя кошка. Дети могут заразиться, играя в песочнице.
Симптомы
У кошек заболевание может протекать как в роли основного, так и промежуточного хозяина.
В первом случае недуг затрагивает эпителий кишечника. Животное переносит токсоплазмоз в относительно легкой форме с нарушениями стула в виде поноса, или не имеет клинических проявлений.
Болезнь напрямую связана с состоятельностью иммунной системы, поэтому чем более она ослаблена, тем в более острой форме протекает токсоплазмоз.
Основные формы:
- Скрытая – не как не проявляет себя клинически, возможно небольшое увеличение лимфатических узлов.
- Подострая – вызывает незначительное повышение температуры, появление отделяемого из носа, похудение и кратковременный понос. По своим признакам недуг часто похож на легкую простуду.
- Острая – болезнь сопровождается лихорадкой, повышенным слюноотделением и гнойными выделениями из глаз. У кошки появляется одышка и частое покашливание. На ряду с этим происходит отказ от еды и анорексия.
Иногда токсоплазма может затрагивать нервную систему, чаще всего такая тяжелая форма протекает у котят, зараженных внутриутробно. У них на фоне недуга может развиваться энцефалит, детеныши очень вялые и анорексичные. Котята постоянно спят, возможно проявление парезов или дискординации. Часто регистрируют внезапную смерть зараженного потомства.
На вскрытии отмечается поражение печени и легких.
Если токсоплазмоз поражает животного с опасной вирусной инфекцией (вирусный лейкоз кошек, вирус иммунодефицита и прочее) заболевание протекает в крайне тяжелой форме и может приводить к смерти питомца.
Диагностика
Одним из первых методов диагностики является сбор анамнеза и клинические признаки. Токсоплазмоз подозревают у тех животных, у которых повышение температуры сопровождается кашлем, поносом и увеитом.
Характерны изменения в общем анализе крови – увеличение количества нейтрофилов и эозинофилов, анемия и лимфоциты. В биохимии отмечается повышение печеночных ферментов – АЛТ и АСТ, щелочной фосфотазы и биллирубин.
Для подтверждения изменений в легких и увеличения печени используют рентгенографию и ультразвуковую диагностику.
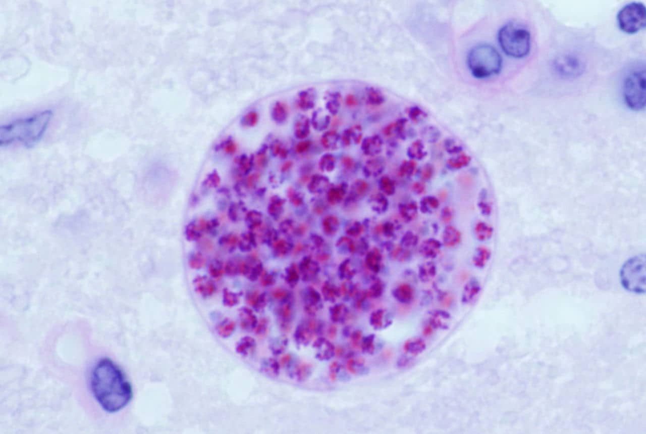
Кошка начинает распространять ооцисты с каловыми массами через 5 дней после инвазирования и выделяют во внешнюю среду в течение 1 или 2 недель. В этот период возможно проведение сбора кала на обнаружения форм паразита. Однако есть малая доля вероятности рассмотреть цисты под микроскопом из-за маленьких размеров (порядка 10* 12 мкм).
Обязательно проводится иммуносерологический анализ крови на обнаружение специфических антител. Для этого применяют специальные экспресс тесты или сравнение титров антител иммуноглобулинов M и G.
Также можно обнаружить паразитов напрямую, собирая на исследование цереброспинальную жидкость, бронхоальвеолярную слизь и ткани лимфатических узлов.
Самый быстрый способ – ПЦР-диагностика, которая позволяет определить наличие паразитов в ликворе, крови и околоплодных водах. Часто используется для профилактических анализов.
Как лечить токсоплазмоз у кошек
Лечение данного заболевания — весьма затратное и длительное мероприятие. Терапия сводится к облегчению симптомов и перевод болезни в хроническую стадию.
Из антибиотиков обычно назначают Далацин или Химкоцид. Часто прописывают еще АСД Ф2. Этот иммуномодулирующий, обеззараживающий и противовоспалительный препарат уже треть столетия активно борется с различными гельминтами.
Люди, обнаружившие у своих питомцев симптомы вышеуказанных болезней обязаны обратиться за квалифицированной медицинской помощью. Это необходимо для успешного лечения животного, а также минимизации риска передачи инфекции домочадцам. Эффективность терапии во многом зависит от иммунитета кошки, её возраста, а также условий содержания.
Своевременное обращение к ветеринару с инфицированием у домашней кошки с крепким иммунитетом почти всегда заканчивается исцелением питомца. Для животных старше 7 лет, страдающих дополнительно иными хроническими болезнями, терапия в большей половине случаев оказывается безрезультатной.
Болеют ли котята и как их лечить
Котята, заразившиеся токсоплазмозом, в отличие от взрослых особей переносят данное заболевание преимущественно в острой форме. Данное состояние будут характеризовать проблемы с координацией движения, желтуха, парезы, судороги, отказ от пищи, повышенная утомляемость.
Заболевшего котенка обследуют. Его лечат теми же лекарствами, что и взрослых котов. Терапия здесь разнится лишь дозировками.
Токсоплазмоз у человека
В мире существует огромное количество всевозможных заболеваний. От самых безобидных до смертельных. Какие-то заболевания врожденные, какие-то приобретенные. Есть болезни, которые мы переносим не по своей вине, есть болезни, в приобретении которых виновны мы сами.
Токсоплазмоз напрямую зависит от иммунитета человека. Человек, с крепкой иммунной системой, переболев коварной болезнью даже не догадывается об этом, приняв все за обыкновенную простуду. В таком случае симптомами бывают слабость, увеличение лимфоузлов, повышение температуры (незначительное).

фото с сайта dolgieleta.com
При сниженной иммунной системе болезнь явно запомнится несчастному. Сильное недомогание, головная боль, высокая температура, а также осложнения на глаза, органы дыхания и сердце.
Как и где человек может заразиться токсоплазмозом
Паразиты, являющиеся причиной этого заболевания имеют свои каналы перемещения. Один человек не может заразить другого, а вот одно животное может запросто заразить другого, а животное, уже в свою очередь способно заразить человека.
Рассмотрим подробнее способы заражения человека.
1) Контакт с больным животным.
Паразиты могут попасть к вам просто при поглаживании домашнего любимца. Или во время уборки кошачьего лотка. При регулярной уборке за котом – заражение не грозит, но если оставить лоток неубранным на сутке – риск значительно увеличивается.
2) Игра в песочнице.
Здесь речь идет скорее о детях. Но ведь часто и родители играют вместе с детьми.
В детстве многие переносят рассматриваемое заболевание, микробы попадают к детям через песок, по которому могли пройтись зараженные животные. Ребенок не может заразиться от ребенка.

фото с сайта netograd.ru
3) Продукты.
К продуктам, через которые паразиты могут попасть в организм человека можно отнести мясо, молоко, яйца. Но это не значит, что стоит навсегда отказываться от употребления в пищу этих продуктов. Просто не забывайте о термической обработке.
4) Растения.
Человек может заразиться токсоплазмозом через овощи и фрукты, которые были выращены на зараженной земле. Тем не менее паразиты не могут проникнуть внутрь растения, они оседают на его поверхности. Поэтому вам не стоит бояться заражения, если перед употреблением вы тщательно моете продукты.
5) Кровь.
Это очень редкий случай, который не встречается на практике. Но вполне имеет место быть. Человек может заразить другого человека, только при переливании зараженной крови, но это исключено, ведь донорская кровь всегда проходит тщательную проверку и обработку.
6) Инфицирование при беременности
Если беременная женщина каким-либо образом заболела, то вероятность заразить плод очень высока. В первом триместре она составляет около 60%, при заражении во втором и третьем триместрах малыш скорее всего родится здоровым. При этом, сохраняется риск передачи через кровь во время родов.

фото с сайта 2poloski.com
Часто больные путают токсоплазмоз с гриппом или ОРВ, ведь симптомы очень схожи. Чтобы определить наличие болезни следует сдать анализ на кровь из вены. Так врачи узнают есть ли и в каком количестве антитела в организме. Все зависит от крепости иммунитета.
Профилактика токсоплазмоза у человека
Соблюдайте меры предосторожности. Всегда мойте руки после общения с животными и уборке их лотков
Всегда мойте руки после общения с животными и уборке их лотков.
Не разрешайте детям контактировать с бродячими животными.
Всегда носите с собой и почаще используйте дезинфицирующий гель.
Тщательно мойте фрукты и овощи под горячей водой, желательно обдавать их кипятком и очищать от кожуры.
Откажитесь от стейков с кровью. Мясо во избежание возможного заражения должно проходить тщательную термическую обработку.
Не забывайте регулярно проходить обследование и при малейшем подозрении – не поленитесь сдать анализ
Ведь сохранение здоровья себя и детей это самое важное, что есть в жизни
Лечение народными средствами
Использование средств народной медицины для лечения токсоплазмоза у кошек является спорным вопросом в отношении безопасности для здоровья. Существует ряд методов, которые подходят людям, однако можно ли давать такие снадобья животным – неизвестно, так как большая часть лекарственных компонентов содержит токсичные вещества.
Для лечения токсоплазмоза применяют копытень, крушину, купену и некоторые другие растения. Сырье необходимо залить кипятком в пропорции: на одну чайную ложку сухой травы (или плодов, корня) берут один стакан кипятка. Смесь ставят на «баню», держат четверть часа, после остывания пропускают через сито. Кошке дают по чайной ложке раствора дважды в день.
Перед тем как применять подобные средства, нужно обязательно проконсультироваться с врачом. Кроме того, чтобы не навредить, следует учитывать не только симптоматику, но и возраст, состояние животного.
Подверженность пород заболеванию
Ни одна порода кошек не застрахована от токсоплазмоза.
Но существуют риски, исключая которые, можно обезопасить своё животное от заболевания. К таким рискам можно отнести:
- сырое мясо в рационе питомца;
- свободный доступ кошек на улицу;
- возраст животных до года;
- ослабленный иммунитет взрослых кошек;
- наличие у животного иных заболеваний, ухудшающих общее состояние здоровья;
- неудовлетворительные санитарные условия проживания питомца, в том числе длительно неочищаемый кошачий туалет;
- грязная обувь людей с остатками земли и другими уличными загрязнениями, находящаяся в доступном для кошки месте.
Жизненный цикл и паразитическая деятельность
Давайте разберемся, что происходит, когда паразит попадает в организм кошки. После инфицирования животного микроскопическим организмом, он начинает активно поражать ткани, после чего разделяется на две группы. В тонком кишечнике находится и активно размножается первая группа паразитов. Поэтому в фекалиях появляются цисты, возникшие именно в тонком кишечнике. Процесс выведения цист с фекалиями животного длится приблизительно 3 недели от начала заражения. По истечению трех недель цисты перестают выделяться и фекалии уже не являются источником инфекции.
Узнайте больше, чем болеют кошки и какие методы лечения при таких заболеваниях как: панлейкопения, кальцивироз, клещ, глисты, лишай, эпифора, мочекаменная болезнь.

Бывает, что симптомы токсоплазмоза не всегда заметны, и тогда хозяин подвергается риску заражения при уборке лотка. Заразиться можно только тогда, когда фекалии пролежали более суток, так как цисты дозревают в течение суток. Вторая группа паразитов разносится по всему организму. При этом паразиты внедряются в различные клетки и ткани, и разрушают их. Такой процесс нарушает нормальное функционирование внутренних органов питомца.
Важно! Очень часто симптомы токсоплазмоза могут принимать за простуду или отравление. Через пару дней симптомы исчезают, и болезнь переходит в скрытую форму, а со временем в хроническую
Между начальным заражением и первым проявлением симптомов болезни проходит несколько недель. В течение этого периода в фекалиях кошки уже можно обнаружить цисты. При нормальном прохождении болезни у вашего питомца будет только легкий насморк, выделение слез из глаз, редкая диарея или рвота. Нетрудно спутать признаки токсоплазмоза у кошек и обычное пищевое отравление животного. Недомогание и плохое самочувствие затихают через несколько дней, после чего болезнь может перерасти в скрытую форму, а за ней и в хроническую.

Если ваш питомец отличается хорошим здоровьем — токсоплазмоз не будет размножаться очень активно. Питомец не будет заразным, а реакция на паразита будет отсутствовать, если, конечно, животное не заразится снова. В острой или подострой форме заболевание проходит у животных, которые не отличаются сильным иммунитетом и здоровьем. Животное-носитель с хронической формой этой болезни может заболеть при понижении уровня иммунитета. Необходимо ограничить общение животного и людей во время усиления болезни, поскольку токсоплазмоз может заразить и человека.
Основные признаки такого заболевания у домашних котов не имеют ярко выраженных особенностей, и похожи на симптомы других болезней:
- возрастание температуры;
- ринит, кашель, чихание;
- понижение активности животного, апатия;
- судороги, подёргивание мышц;
- нарушения работы желудочно-кишечного тракта и плохой аппетит.
Диагностика
О том, как проверить кошку на токсоплазмоз, сможет рассказать ветврач (паразитолог). Для диагностики недуга используется несколько методов:
- биопроба на лабораторных животных (мыши, крысы, морские свинки);
- серологический анализ;
- цитологическое исследование биоматериала;
- морфологический и биохимический анализ крови;
- сонография и рентгенография органов брюшной и грудной полости;
- полимерная цепная реакция.
Выявить наличие цист в фекалиях животного возможно только по прошествии двух-трех недель от момента заражения. При проявлении клиники болезни цисты в фекалиях, как правило, отсутствуют.
Что такое токсоплазмоз
Так называют заражение организма внутриклеточными паразитами, именуемыми Токсоплазмой. По статистике, до 25% мясных изделий на прилавках содержат токсоплазму. Переносчиками могут быть животные, птицы, люди: 50% животных, 30% и более (в зависимости от региона — до 90%) людей являются переносчиками микробов. Но больше всего токсоплазмы любят селиться в кошках, и ниже мы расскажем, почему.
Периоды жизни токсоплазмы
Изначально паразит находится в спящем состоянии в окружающем нас мире: воде, земле, на улице, откуда попадает в наше жилище на обуви. Также кошка может съесть зараженную мышь, кусочек сырого мяса, или слизать микроба со своей шерсти.

Успешно проникнув в кошачий организм, микробы стремятся поскорее добраться до тонкого кишечника кошки. Далее происходит развитие микроба до цисты (так называют промежуточное состояние микроорганизмов) и последующее их размножение внутри клеток животного. Сами клетки в итоге умирают, а цисты выходят наружу вместе с калом кошки, и распространяются дальше, захватывая новые организмы.
Ещё спустя 14-30 дней выделение паразитов наружу прекращается, они перестают покидать организм кошки, концентрируясь на его захвате. Получается, что заразиться токсоплазмозом от кошки можно лишь в определенный промежуток времени: спустя 2-3 недели после ее заражения, и в течение 14-30 дней.
Захват организма кошки происходит по следующему плану: сначала проникновение в селезенку через кишечник, затем красный костный мозг, где размножаются, и через кровь попадают во все органы. Но процесс этот не такой уж гладкий для паразита: на борьбу с ним выходит имунная система. Токсоплазма способна полностью захватить только кошку с ослабленным иммунитетом: старой, больной или совсем юной. В ином случае защитные силы организма прекратят свободное перемещение паразита, заморозят или остановят его размножение. Токсоплазмы будут заключены в клетках как цисты в течение нескольких лет в ожидании своего часа, никак не напоминая о себе.
Токсоплазмоз у кошек
Главная особенность кошачьего токсоплазмоза в том, что кошки — единственная целевая аудитория паразита. В организме представителей усатого семейства микроб себя отлично чувствует и размножается, а попадая в окружающую среду через кал, разносится дальше. Все остальные виды — не более, чем переносчики.
Размножение паразита в организме кошки происходит в тонком отделе кишечника, откуда он легко попадает в кал и распространяется дальше — через почву и воздух, попадает в корма к сельскохозяйственным животным, а через их мясо — к новым кошкам.
Ветеринары однозначно заявляют, что токсоплазмоз у кошек нужно обязательно лечить. Этот процесс занимает от 7 дней до года. Если у вас животное с крепким иммунитетом, то лечение обойдется недорого и не займет много времени, а с кошками, видавшими жизнь, всё может оказаться сложнее.
Влияние токсоплазм на человека
В человеческом организме токсоплазмы оказываются запертыми внутри клеток, никак не влияя на самочувствие или здоровье, если не нарушен иммунитет. Но стоит заметить, что до конца влияние паразита на человека не изучено.
У людей с недостаточным иммунитетом при заражении паразитами могут проявляться те же симптомы, что и при простуде — расширенные лимфоузлы, температура, ослабленное состояние, ломота мышц.
Токсоплазмоз при беременности у женщин
Для организма матери паразит безвреден, но не для эмбриона человека. Врачи сходятся во мнении, что токсоплазма может быть смертельно опасной для плода, спровоцировать выкидыш или вызвать патологии у будущего ребенка.
Нужно ли избавляться от кошки беременной женщине? Зависит от того, были ли микробы ранее в организме матери. Это можно выяснить в поликлинике, сдав анализы.
Если женщина уже переболела токсоплазмозом, то микробы будут находиться в спящем (замороженном) состоянии, токсоплазма не попадет в кровь и не передастся эмбриону, ведь она заперта в цистах, не циркулирует по организму матери. В этом случае бояться нечего
Если токсоплазмоза не было в истории болезни, то будущей матери следует быть особо осторожной во время беременности. Нужно не только убедиться, что кошка здорова, но и хорошо прожаривать мясо, осторожно его разделывать, тщательно мыть овощи и фрукты, с землёй работать только в перчатках.

Подробную консультацию рекомендуем получить у специалиста.
Токсоплазмоз и человек
Недостаток правильной информации о болезни токсоплазмоз иногда приводит к крайностям – люди или не дооценивают опасность ситуации, или, наоборот, приобретают панический страх и «токсоплазмофобию».
- Убирая свежий кал из кошачьего туалета, заразиться нельзя. Цисты, выделяемые с калом, содержат в себе токсоплазм, которые сразу заразить не могут. Для того чтобы произошло заражение, должен пройти ряд циклов развития, для чего требуется от 1 до 5 суток.
- Заразны фекалии не всех больных кошек, а только тех, которые заразились совсем недавно. Выделение ооцист с калом длится первые 10-21 день с момента заражения.
- Кошки с явными клиническими признаками могут выделять возбудителя болезни со всеми биологическими жидкостями, включая слюну и слезы. Но нужно знать, что через неповрежденную кожу человека токсоплазмы не проникают. Заразиться можно только если есть царапины, шелушения или любые другие нарушения целостности кожи.
- Риск заразиться от молодой кошки выше, чем от старой.
- Хронический токсоплазмоз для владельцев кошек неопасен. Дискомфорт болезнь в таком случае приносит только животному. Токсоплазмы «заперты» внутри клеток организма, и ни с какими биологическими жидкостями не выделяются. Но это правило работает только в том случае, если кошка не заразилась повторно новой порцией «свежего» возбудителя.
- Человек редко заражается от больных животных. Гораздо чаще заражение происходит от зараженного мяса, недостаточно обработанного термически, чем от кошки.
- Опасно заражение беременной женщины или в период зачатия ребенка. Не стоит пренебрегать лабораторными анализами на токсоплазмоз в период вынашивания ребенка. Также следует следовать правилам профилактики заражения.
Токсоплазмоз во время беременности
Большинство будущих мам знают, что токсоплазмоз во время беременности представляет опасность для плода, поэтому хотят защитить себя и своего ребёнка. К счастью, не все ситуации заражения токсоплазмозом при беременности представляют опасность для будущего малыша. Но начнём с начала.
Что такое токсоплазмоз и как он передаётся.
Токсоплазмоз — это протозойная, то есть вызванная простейшими, инфекция. Более половины людей заражены токсоплазмой. Заражение токсоплазмой может протекать бессимптомно или как обычная вирусная инфекция (кашель, насморк, субфебрильная температура).
Токсоплазмозом болеют и домашние, и дикие животные, и человек, но только представители семейства кошачьих выделяют в окружающую среду устойчивые к внешним влияниям ооцисты. Они то и являются источником заражения других животных и людей.
Большинство людей заражаются токсоплазмозом в детском возрасте во время игр в песке, земле. Жители сельской местности больше подвержены заражению.
Последствия токсоплазмоза у беременных.
В обычном состоянии токсоплазмоз опасен только для людей с ослабленным иммунитетом, например, после пересадки органов. А вот при беременности совсем другое дело. Токсоплазма может проникать через плаценту и заражать плод. Токсоплазмоз во время беременности может приводить к выкидышу, преждевременным родам, рождению ребёнка с поражением нервной системы, органов зрения.
Чем больше срок беременности, тем выше проницаемость плаценты и больше вероятность заражения ребёнка. Но тяжесть проявления инфекции наоборот понижается со сроком беременности. То есть, если заражение произошло в третьем триместре, то степень поражения плода обычно не выраженная.
Опасной и требующей медицинского вмешательства является только ситуация первичного заражениятоксоплазмозомво времябеременности. Если вы заразились токсоплазмозом до беременности, то в крови есть антитела, которые защищают не только вас, но и будущего малыша.
Всем беременным рекомендуют сдать анализ на антитела к токсоплазмозу. Есть два вида иммуноглобулинов (антител): Ig G и IgM. Ig G – это зрелые антитела и они обнаруживаются в крови через некоторое время после инфицирования. Наличие иммуноглобулинов IgM свидетельствует о том, что заражение произошло недавно.
Варианты результатов анализов на токсоплазмоз.
АнтителIgGнет, аIgMмного. Это самая опасная ситуация во время беременности, которая свидетельствует о первичном заражении токсоплазмозом. В таком случае необходимо лечение. При проведении терапии повышается вероятность рождения ребёнка без инфекции.
В крови присутствуют иIgG,иIgM. В таком случае рекомендуется повторить анализ через некоторое время. Если при повторной сдаче крови количество Ig G р езко выросло, то инфекция ещё активна и может повреждать плод. Принимается решение о проведении лечения.
АнтителIgGмного, аIgMнет. Это идеальная ситуация. Ребёнку ничего не грозит. Мама переболела токсоплазмозом и у неё есть иммунитет.
АнтителIgGнет,IgMнет. Организм никогда не встречался с токсоплазмозом, а значит необходимо во время беременности соблюдать меры профилактики.
Профилактика токсоплазмозаво время беременности :
1. Тщательное мытьё рук, особенно после общения с животными, контакта с песком и землёй.
2. Разделка мяса на отдельной разделочной доске и отдельным ножом, мытье их в горячей воде с мылом. Опять же мытьё рук после этого.
3. Тщательная термическая обработка мясных изделий. Ни в коем случае нельзя есть сырое или полусырое мясо, пробовать на язык фарш.
4. Тщательно мыть фрукты и овощи, так как они могут быть загрязнены землёй, в которой находятся токсоплазмы.
5. Нельзя пить воду из открытых водоёмов.
6. Уборка кошачьего туалета каждый день. Если нет возможности возложить эту обязанность на другого члена семьи, то пользуйтесь резиновыми перчатками и очень тщательно мойте руки после уборки. Хотя не все кошки заражены токсоплазмой, и выделяют они её непродолжительное время после заражения, ооцисты токсоплазмы могут жить долго.
7. Работа в саду в резиновых перчатках.
Главное для будущей мамочки — не паниковать. Вовремя сдать анализы и правильно истолковать их. Запомните: опасно только первичное заражениетоксоплазмозомво время беременности. Если у вас есть иммунитет к этой инфекции, можно успокоиться. Если же нет, то достаточно просто соблюдать несложные меры профилактики. Но даже в случае инфицирования токсоплазмозом во время беременности у вас есть шансы родить здорового ребёнка. Главное, найти хорошего специалиста и вовремя начать лечение.
Лечение
Традиционные противопаразитарные средства на токсоплазмы не действуют, потому что они прячутся внутри клеток. заболевшую кошку изолируют от детей и других животных до прекращения выделения ооцист с фекалиями. Лечение ориентировано на угнетение воспроизводства паразитов и устранение признаков заболевания. Острый процесс переводят в хронический. При правильном лечении заметное улучшение наступает спустя двое суток, однако, терапевтический курс нужно выполнить полностью.
В таком случае паразиты переходят в инактивированное состояние, появляются антитела к ним. В этом положении кошка безопасна для окружающих. При деградации иммунной системы, токсоплазмы способны активироваться, а патологические симптомы возвратиться. Поэтому, переболевших животных нужно ежегодно проверять на концентрацию антител.
Для перевода токсоплазм в неактивное состояние используют следующие медикаменты:
- Клиндоимцин — антибиотик, угнетающий развитие простейших. Выпускают в форме таблеток и раствора iniectio. Используют максимально допустимую дозировку на протяжение четырёх недель, несмотря на улучшение состояния кошки.
- Пириметамин. Антипротозойное средство. При токсоплазмозе используют в сочетании с триметопримом или другим производным сульфоновой кислоты на протяжении четырёх недель. Препарат противопоказан беременным. Способен вызывать анемию, для предотвращения которой животному дают препараты фолиевой кислоты.
- Стоморджил. Сочетание антибиотика и протозойного средства. Курс лечения 10 суток.
- В начале заболевания, когда идёт выделение ооцист, их уничтожают кокцидиостатиками. Наиболее востребован толтразурил. Курс приёма 5…10 суток.

Стоморджил вылечит токсоплазмоз
Когда поражаются глаза, назначают антифлогистические средства — дексаметазон или преднизолон. Если кошка не страдает тяжёлыми хроническими заболеваниями, прогноз благоприятный.

Колокольчик на кошачьем ошейнике
Методы установления заболевания токсоплазм
Токсоплазмоз у кошек устанавливается на основе осмотра, опроса владельца животного, результатов лабораторных анализов, проведения ультразвуковых исследований и рентгенографии органов брюшной полости. Подтверждается диагноз и в том случае, когда после приема лекарственных препаратов у питомцев прослеживается положительная динамика.

Применяется также биопроба, которую устанавливают на восприимчивых животных. Чаще всего суспензию из физраствора и патологического материала вводят подкожно мышам. Если в течение трех недель грызуны погибают, частички их органов изучают под микроскопом и подтверждают диагноз.
При заражении токсоплазмами в организме развивается ответ со стороны иммунной системы. Поэтому циркуляция (размножение, движение и поражение новых клеток) токсоплазм в организме ограничена по времени. При повторном заражении под действием иммунитета токсоплазмы уже не формируют цисты в кишечнике. В результате токсоплазмы поражают клетки внутренних органов и оказываются «заблокированными» в них.
Для выявления болезни необходимо провести лабораторные исследования.
На токсоплазмоз могут указывать наличие гепатита, нервные расстройства, нарушение зрения, болезненность живота, чрезмерная худоба.
В крови выявляется повышенный уровень эозинофилов, снижение количества лейкоцитов, высокий уровень билирубина.
В диагностике токсоплазмоза не используется метод исследования фекалий под микроскопом. Связано это с тем, что с фекалиями ооцисты могут выделять только кошки и непродолжительный период времени (не более 2 недель). К тому же они настолько малы, что их сложно распознать любым микроскопическим методом.

Более точную диагностическую картину показывают серологические методы, основанные на определение антител (иммуноглобулинов) в сыворотке крови. Их вырабатывает организм, когда обнаруживает антигены паразитов. Уже после 7-14 дней после заражения иммуноферментный анализ позволяет обнаружить антитела. Их количество начинает расти с третьей недели заражения, и остается высоким на протяжении нескольких месяцев и лет.
Токсоплазмоз у кошек. Для установления диагноза в ветклиниках применяется метод полимеразной цепной реакции, который основан на обнаружении в биологическом материале фрагментов ДНК паразита. В качестве биологического материала берутся пробы крови, лимфы, бронхиальной слизи, спинномозговой жидкости, мочи.
При патологических родах и самопроизвольных абортах проводятся исследования погибшего плода. Анализируются кусочки внутренних органов, обязательно мозга и околоплодной жидкости.Кроме того обязательным мероприятием является исключение других заболеваний, имеющих схожие признаки с токсоплазмозом. К ним относятся: чума, бруцеллез, боррелиоз (только у птиц), лейшманиоз, энцефалит и др.

























































